• 文献检索
  • 文档翻译
  • 深度研究
  • 学术资讯
  • Suppr Zotero 插件Zotero 插件
  • 邀请有礼
  • 套餐&价格
  • 历史记录
应用&插件
Suppr Zotero 插件Zotero 插件浏览器插件Mac 客户端Windows 客户端微信小程序
定价
高级版会员购买积分包购买API积分包
服务
文献检索文档翻译深度研究API 文档MCP 服务
关于我们
关于 Suppr公司介绍联系我们用户协议隐私条款
关注我们

Suppr 超能文献

核心技术专利:CN118964589B侵权必究
粤ICP备2023148730 号-1Suppr @ 2026

文献检索

告别复杂PubMed语法,用中文像聊天一样搜索,搜遍4000万医学文献。AI智能推荐,让科研检索更轻松。

立即免费搜索

文件翻译

保留排版,准确专业,支持PDF/Word/PPT等文件格式,支持 12+语言互译。

免费翻译文档

深度研究

AI帮你快速写综述,25分钟生成高质量综述,智能提取关键信息,辅助科研写作。

立即免费体验

使用Geristore和去上皮化牙龈移植物对先前失败的牙根穿孔修复的管理:一份5年随访病例报告。

Management of a Previously Failed Root Perforation Repair with Geristore and Deepithelialized Gingival Graft: A 5-Year Follow-Up Case Report.

作者信息

Zahid Talal M

机构信息

Department of Periodontology, King Abdulaziz University, Jeddah, Saudi Arabia.

出版信息

Case Rep Dent. 2023 Sep 27;2023:7335196. doi: 10.1155/2023/7335196. eCollection 2023.

DOI:10.1155/2023/7335196
PMID:37799172
原文链接:https://pmc.ncbi.nlm.nih.gov/articles/PMC10550458/
Abstract

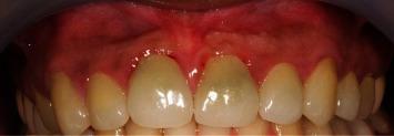
Iatrogenic root perforation presents a significant management challenge for clinicians as it may seriously harm the periodontium. More specifically, perforations occurring relative to the crestal bone have a poor prognosis even after repair due to their proximity to the gingival tissues. The current literature reports the use of various materials for root perforation repair including calcium hydroxide, glass ionomer cement, amalgam, and mineral trioxide aggregate (MTA), to name a few. This case report describes the clinical management of a cervical perforation that occurred on the maxillary central incisor. The perforated area was initially repaired with MTA but failed after one year, which resulted in an active lesion at the midlabial aspect of the tooth. The case was subsequently treated using a resin-modified glass ionomer cement (Geristore®) and deepithelialized free gingival graft (DGG). There were favorable clinical and radiographic outcomes at 1-, 3-, and 5-year follow-up. The use of DGG, however, led to some late complications such as gingival cul-de-sac and color discrepancy, which were later resolved with gingivoplasty and frenectomy. We thus conclude that Geristore® has the potential to be a better repair material than the existing ones for crestal and subcrestal root perforations.

摘要

医源性牙根穿孔给临床医生带来了重大的治疗挑战,因为它可能会严重损害牙周组织。更具体地说,相对于牙槽嵴顶骨发生的穿孔,即使在修复后预后也很差,因为它们靠近牙龈组织。目前的文献报道了使用多种材料进行牙根穿孔修复,包括氢氧化钙、玻璃离子水门汀、汞合金和三氧化矿物凝聚体(MTA)等等。本病例报告描述了上颌中切牙发生的颈部穿孔的临床治疗情况。穿孔区域最初用MTA修复,但一年后失败,导致牙齿唇面中部出现活动性病变。该病例随后使用树脂改性玻璃离子水门汀(Geristore®)和去上皮游离龈瓣(DGG)进行治疗。在1年、3年和5年的随访中,临床和影像学结果良好。然而,DGG的使用导致了一些晚期并发症,如牙龈盲袋和颜色差异,后来通过牙龈成形术和系带切除术得到了解决。因此,我们得出结论,对于牙槽嵴顶和牙槽嵴下牙根穿孔,Geristore®有可能成为比现有材料更好的修复材料。

https://cdn.ncbi.nlm.nih.gov/pmc/blobs/50dc/10550458/c4f16fcb8bb5/CRID2023-7335196.006.jpg
https://cdn.ncbi.nlm.nih.gov/pmc/blobs/50dc/10550458/a14cfbcb2f06/CRID2023-7335196.001.jpg
https://cdn.ncbi.nlm.nih.gov/pmc/blobs/50dc/10550458/e51e6cd9793b/CRID2023-7335196.002.jpg
https://cdn.ncbi.nlm.nih.gov/pmc/blobs/50dc/10550458/010b04a06cd0/CRID2023-7335196.003.jpg
https://cdn.ncbi.nlm.nih.gov/pmc/blobs/50dc/10550458/b8e0ba351753/CRID2023-7335196.004.jpg
https://cdn.ncbi.nlm.nih.gov/pmc/blobs/50dc/10550458/d962fb16d889/CRID2023-7335196.005.jpg
https://cdn.ncbi.nlm.nih.gov/pmc/blobs/50dc/10550458/c4f16fcb8bb5/CRID2023-7335196.006.jpg
https://cdn.ncbi.nlm.nih.gov/pmc/blobs/50dc/10550458/a14cfbcb2f06/CRID2023-7335196.001.jpg
https://cdn.ncbi.nlm.nih.gov/pmc/blobs/50dc/10550458/e51e6cd9793b/CRID2023-7335196.002.jpg
https://cdn.ncbi.nlm.nih.gov/pmc/blobs/50dc/10550458/010b04a06cd0/CRID2023-7335196.003.jpg
https://cdn.ncbi.nlm.nih.gov/pmc/blobs/50dc/10550458/b8e0ba351753/CRID2023-7335196.004.jpg
https://cdn.ncbi.nlm.nih.gov/pmc/blobs/50dc/10550458/d962fb16d889/CRID2023-7335196.005.jpg
https://cdn.ncbi.nlm.nih.gov/pmc/blobs/50dc/10550458/c4f16fcb8bb5/CRID2023-7335196.006.jpg

相似文献

1
Management of a Previously Failed Root Perforation Repair with Geristore and Deepithelialized Gingival Graft: A 5-Year Follow-Up Case Report.使用Geristore和去上皮化牙龈移植物对先前失败的牙根穿孔修复的管理:一份5年随访病例报告。
Case Rep Dent. 2023 Sep 27;2023:7335196. doi: 10.1155/2023/7335196. eCollection 2023.
2
Evaluation of Sealing Potential of Different Repair Materials in Furcation Perforations Using Dye Penetration: An Study.不同修复材料在牙本质裂渗漏中的密封性能评估:一项研究。
J Contemp Dent Pract. 2021 Jan 1;22(1):80-83.
3
Surgical management of a failed internal root resorption treatment: a histological and clinical report.内吸收治疗失败后的外科处理:一份组织学与临床报告。
Restor Dent Endod. 2014 May;39(2):137-42. doi: 10.5395/rde.2014.39.2.137. Epub 2014 Mar 21.
4
The comparison of MTA, Geristore® and Amalgam with or without Bioglass as a matrix in sealing the furcal perforations (in vitro study).MTA、Geristore® 以及含或不含生物玻璃作为基质的银汞合金在封闭根分叉穿孔方面的比较(体外研究)
Saudi Dent J. 2010 Jul;22(3):119-24. doi: 10.1016/j.sdentj.2010.04.004. Epub 2010 Apr 18.
5
Surgical management of iatrogenic perforation in maxillary central incisor using mineral trioxide aggregate.使用三氧化矿物凝聚体对上颌中切牙医源性穿孔进行手术治疗
BMJ Case Rep. 2013 Jul 10;2013:bcr2013200124. doi: 10.1136/bcr-2013-200124.
6
Surgical resolution of an aggressive iatrogenic root perforation in a maxillary central incisor: a case report with a 4-year follow-up.上颌中切牙侵袭性医源性牙根穿孔的手术治疗:一例随访4年的病例报告
Gen Dent. 2017 Jan-Feb;65(1):e1-e4.
7
Adhesion and biologic behavior of human periodontal fibroblast cells to resin ionomer Geristore: a comparative analysis.人牙周成纤维细胞与树脂离子水门汀Geristore的黏附及生物学行为:一项对比分析
Dent Traumatol. 2013 Oct;29(5):389-93. doi: 10.1111/edt.12016. Epub 2012 Nov 6.
8
Materials for retrograde filling in root canal therapy.根管治疗中逆行充填的材料。
Cochrane Database Syst Rev. 2016 Dec 17;12(12):CD005517. doi: 10.1002/14651858.CD005517.pub2.
9
Repair of Iatrogenic Furcal Perforation with Mineral Trioxide Aggregate: A Seven-Year Follow-up.使用三氧化矿物凝聚体修复医源性根分叉穿孔:七年随访
Iran Endod J. 2017 Fall;12(4):516-520. doi: 10.22037/iej.v12i4.16888.
10
Immediate and mediate furcal perforation treatment in primary molars: 24-month follow-up.乳磨牙即刻与间接性髓室底穿孔治疗:24个月随访
Eur Arch Paediatr Dent. 2016 Dec;17(6):489-494. doi: 10.1007/s40368-016-0249-5. Epub 2016 Sep 26.

引用本文的文献

1
Influence of irrigants on "bond strength" of "Bio-C Repair and TheraCal LC" in "perforation repair:" An study.冲洗剂对“Bio-C修复材料和TheraCal LC”在“穿孔修复”中“粘结强度”的影响:一项研究。
J Conserv Dent Endod. 2025 Aug;28(8):752-757. doi: 10.4103/JCDE.JCDE_300_25. Epub 2025 Aug 1.
2
A Critical Review of the Role of Geristore® in Contemporary Endodontics.对Geristore®在当代牙髓病学中作用的批判性综述。
Iran Endod J. 2025;20(1):e28. doi: 10.22037/iej.v20i1.48268. Epub 2025 Jul 19.
3
The Management of Root Perforation: A Review of the Literature.

本文引用的文献

1
Bioceramics in Endodontics: Updates and Future Perspectives.牙髓病学中的生物陶瓷:最新进展与未来展望
Bioengineering (Basel). 2023 Mar 13;10(3):354. doi: 10.3390/bioengineering10030354.
2
Evaluation of esthetic outcome of delayed implants with de-epithelialized free gingival graft in thin gingival phenotype with or without immediate temporization: a randomized clinical trial.评价去上皮游离龈瓣移植术同期或延期即刻修复在薄龈型患者中对种植体美学效果的影响:一项随机临床试验。
Int J Implant Dent. 2023 Feb 13;9(1):5. doi: 10.1186/s40729-023-00468-0.
3
Modified Mineral Trioxide Aggregate-A Versatile Dental Material: An Insight on Applications and Newer Advancements.
根管侧穿的处理:文献综述
Cureus. 2024 Oct 24;16(10):e72296. doi: 10.7759/cureus.72296. eCollection 2024 Oct.
改性三氧化矿物凝聚体——一种多功能牙科材料:应用与最新进展洞察
Front Bioeng Biotechnol. 2022 Aug 9;10:941826. doi: 10.3389/fbioe.2022.941826. eCollection 2022.
4
Biological and chemical properties of five mineral oxides and of mineral trioxide aggregate repair high plasticity: an in vitro study.五种矿物氧化物和矿化三氧化物聚合体的生物和化学特性修复高可塑性:一项体外研究。
Sci Rep. 2022 Aug 19;12(1):14123. doi: 10.1038/s41598-022-17854-0.
5
Prognostic Factors and Primary Healing on Root Perforation Repaired with MTA: A 14-year Longitudinal Study.使用MTA修复牙根穿孔的预后因素及一期愈合:一项14年的纵向研究。
J Endod. 2022 Sep;48(9):1092-1099. doi: 10.1016/j.joen.2022.06.005. Epub 2022 Jun 14.
6
The effects of root canal perforation repair materials on the bond strength of fiber posts.根管穿孔修复材料对纤维桩粘结强度的影响。
J Appl Biomater Funct Mater. 2021 Jan-Dec;19:22808000211027050. doi: 10.1177/22808000211027050.
7
New Bioactive Calcium Silicate Cement Mineral Trioxide Aggregate Repair High Plasticity (MTA HP)-A Systematic Review.新型生物活性硅酸钙水泥三氧化物矿物聚合体修复高可塑性材料(MTA HP)——系统评价
Materials (Basel). 2021 Aug 14;14(16):4573. doi: 10.3390/ma14164573.
8
Complications in the Use of Deepithelialized Free Gingival Graft vs. Connective Tissue Graft: A One-Year Randomized Clinical Trial.去上皮化游离龈瓣移植与结缔组织移植在使用中并发症的比较:一项为期一年的随机临床试验。
Int J Environ Res Public Health. 2021 Apr 23;18(9):4504. doi: 10.3390/ijerph18094504.
9
Occurrence and risk factors of dental root perforations: a systematic review.牙根穿孔的发生率及危险因素:一项系统评价
Int Dent J. 2020 Aug 20;71(2):96-105. doi: 10.1111/idj.12602.
10
Root perforations: a review of diagnosis, prognosis and materials.根管侧穿:诊断、预后及材料综述
Braz Oral Res. 2018 Oct 18;32(suppl 1):e73. doi: 10.1590/1807-3107bor-2018.vol32.0073.