Suppr超能文献

妊娠期上皮样肝血管平滑肌脂肪瘤:一例报告

Epithelioid hepatic angiomyolipoma in pregnancy: A case report.

作者信息

Khalid Abdullah, Khan Bilal Ahmed, Saeed Zubair, Atique Usman, Khan Muhammad Yasir, -Ul-Haq Ihsan

机构信息

Hepatopancreatic Biliary Surgery and Liver Transplant Unit, Pakistan Kidney & Liver Institute & Research Center (PKLI&RC), Pakistan.

Hepatopancreatic Biliary Surgery and Liver Transplant Unit, Pakistan Kidney & Liver Institute & Research Center (PKLI&RC), Pakistan.

出版信息

Int J Surg Case Rep. 2023 Oct;111:108902. doi: 10.1016/j.ijscr.2023.108902. Epub 2023 Oct 6.

Abstract

INTRODUCTION AND IMPORTANCE

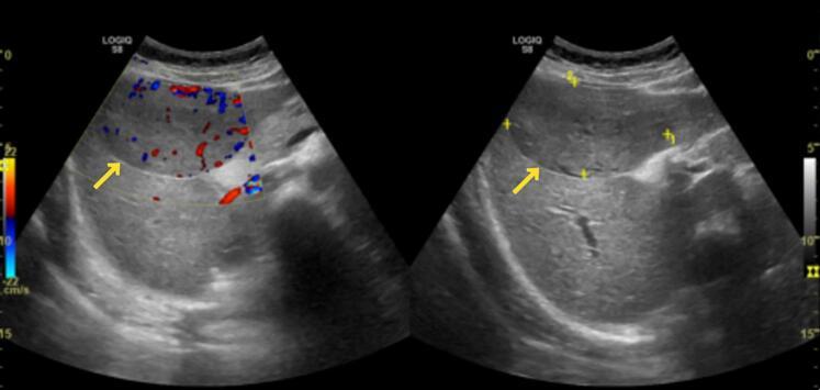
Epithelioid hepatic angiomyolipoma (HAML) is a rare benign tumor predominantly found in women. Its occurrence during pregnancy is extremely rare. Accurate diagnosis of HAML is challenging due to its radiological resemblance to other hepatic neoplasms. We present a case of epithelioid HAML in a pregnant patient, highlighting the diagnostic and management challenges encountered.

CASE PRESENTATION

A 24-year-old pregnant female, in her fifth month of pregnancy, presented with right hypochondrium pain and nausea. Radiological imaging suggested the possibility of a hepatic adenoma. The patient opted to continue the pregnancy with regular monitoring of the mass as well as fetal health. After delivering a healthy baby, the patient underwent successful mass excision and cholecystectomy. Histopathology of the liver mass confirmed the diagnosis of epithelioid HAML.

CLINICAL DISCUSSION

Epithelioid HAML is a rare tumor often misdiagnosed. It is more aggressive and frequently associated with tuberous sclerosis complex (TSC) compared to other subtypes. The diagnosis of HAML can be challenging due to its resemblance to Hepatocellular Carcinoma and other hepatic neoplasms on radiological imaging. Immunohistochemistry plays a crucial role in confirming the diagnosis. Surgical excision is the recommended treatment, with complete removal to minimize the risk of recurrence.

CONCLUSION

This case report highlights the rarity of epithelioid HAML during pregnancy and emphasizes the importance of a multidisciplinary approach in managing hepatic neoplasms. Close monitoring is crucial, considering the potential risks to the mother and fetus. Accurate diagnosis through histopathological evaluation, immunohistochemistry and a multidisciplinary approach are essential for appropriate management.

摘要

引言与重要性

上皮样肝血管平滑肌脂肪瘤(HAML)是一种罕见的良性肿瘤,主要见于女性。其在孕期发生极为罕见。由于HAML在影像学上与其他肝脏肿瘤相似,准确诊断具有挑战性。我们报告一例妊娠患者的上皮样HAML病例,突出所遇到的诊断和管理挑战。

病例介绍

一名24岁的妊娠女性,孕5个月,出现右季肋部疼痛和恶心。影像学检查提示肝腺瘤的可能性。患者选择继续妊娠,同时定期监测肿块及胎儿健康状况。在分娩出一名健康婴儿后,患者成功接受了肿块切除和胆囊切除术。肝脏肿块的组织病理学检查确诊为上皮样HAML。

临床讨论

上皮样HAML是一种罕见肿瘤,常被误诊。与其他亚型相比,它更具侵袭性,且常与结节性硬化症(TSC)相关。由于HAML在影像学上与肝细胞癌和其他肝脏肿瘤相似,其诊断具有挑战性。免疫组织化学在确诊中起关键作用。推荐的治疗方法是手术切除,完整切除以降低复发风险。

结论

本病例报告突出了孕期上皮样HAML的罕见性,并强调了多学科方法在管理肝脏肿瘤中的重要性。考虑到对母亲和胎儿的潜在风险,密切监测至关重要。通过组织病理学评估、免疫组织化学和多学科方法进行准确诊断对于恰当管理至关重要。

https://cdn.ncbi.nlm.nih.gov/pmc/blobs/2e09/10565768/7af55f4a57d9/gr1.jpg

文献AI研究员

20分钟写一篇综述,助力文献阅读效率提升50倍。

立即体验

用中文搜PubMed

大模型驱动的PubMed中文搜索引擎

马上搜索

文档翻译

学术文献翻译模型,支持多种主流文档格式。

立即体验