• 文献检索
  • 文档翻译
  • 深度研究
  • 学术资讯
  • Suppr Zotero 插件Zotero 插件
  • 邀请有礼
  • 套餐&价格
  • 历史记录
应用&插件
Suppr Zotero 插件Zotero 插件浏览器插件Mac 客户端Windows 客户端微信小程序
定价
高级版会员购买积分包购买API积分包
服务
文献检索文档翻译深度研究API 文档MCP 服务
关于我们
关于 Suppr公司介绍联系我们用户协议隐私条款
关注我们

Suppr 超能文献

核心技术专利:CN118964589B侵权必究
粤ICP备2023148730 号-1Suppr @ 2026

文献检索

告别复杂PubMed语法,用中文像聊天一样搜索,搜遍4000万医学文献。AI智能推荐,让科研检索更轻松。

立即免费搜索

文件翻译

保留排版,准确专业,支持PDF/Word/PPT等文件格式,支持 12+语言互译。

免费翻译文档

深度研究

AI帮你快速写综述,25分钟生成高质量综述,智能提取关键信息,辅助科研写作。

立即免费体验

非典型拉斯穆森脑炎

Atypical Rasmussen's Encephalitis.

作者信息

Alfonso Maria A, Piñeros-Fernández Martha C, Jaimes Luisa F, Ramos Nicolas I

机构信息

Pediatrics, Los Cobos Medical Center, Bogotá, COL.

Pediatric Neurology, Los Cobos Medical Center, Bogotá, COL.

出版信息

Cureus. 2023 Oct 7;15(10):e46647. doi: 10.7759/cureus.46647. eCollection 2023 Oct.

DOI:10.7759/cureus.46647
PMID:37808599
原文链接:https://pmc.ncbi.nlm.nih.gov/articles/PMC10560088/
Abstract

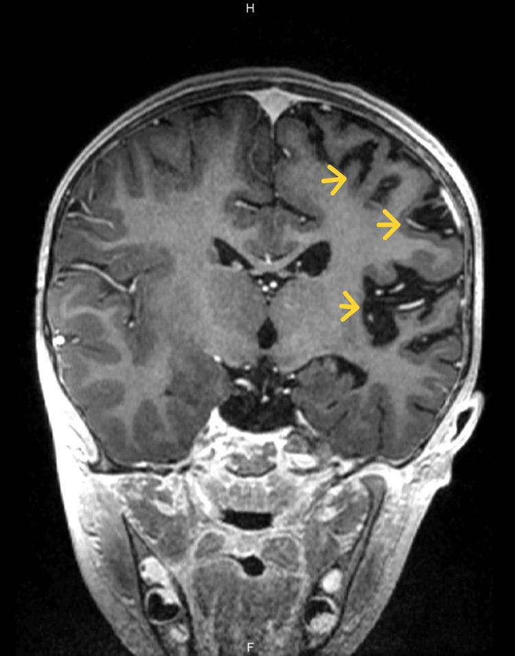
A three-year-old female patient was admitted to our institution due to subacute fever, intermittent vomiting, persistent bilateral mydriasis after cycloplegia, right central facial palsy, and mild right hemiparesis with hyperreflexia. Brain MRI shows encephalitis in frontal, parietal, insular, and left putamen course and loss of cortical volume and white matter of the entire left hemisphere which are features described in Rasmussen's encephalitis (RE). Therapy with intravenous methylprednisolone bolus was initiated, with adequate clinical response. We consider in this case the diagnosis of atypical RE by imaging criteria in the subacute stage. There are few reports of atypical RE without epilepsy or continuous partial epilepsy. Our purpose is to present a case of a patient with RE images without epilepsy seizures and review the diagnostic and therapeutic approach of RE.

摘要

一名三岁女性患者因亚急性发热、间歇性呕吐、睫状肌麻痹后持续性双侧瞳孔散大、右侧中枢性面瘫以及伴有反射亢进的轻度右侧偏瘫入住我院。脑部磁共振成像显示额叶、顶叶、岛叶及左侧壳核部位存在脑炎,且整个左半球皮质体积和白质减少,这些都是拉斯穆森脑炎(RE)所描述的特征。开始采用静脉注射甲泼尼龙冲击治疗,临床反应良好。我们根据亚急性期的影像学标准考虑该病例为非典型RE。关于无癫痫或持续性部分性癫痫的非典型RE报道较少。我们的目的是呈现一例无癫痫发作的RE影像患者病例,并回顾RE的诊断和治疗方法。

https://cdn.ncbi.nlm.nih.gov/pmc/blobs/f18b/10560088/36571aab0608/cureus-0015-00000046647-i11.jpg
https://cdn.ncbi.nlm.nih.gov/pmc/blobs/f18b/10560088/6d964950e8b7/cureus-0015-00000046647-i01.jpg
https://cdn.ncbi.nlm.nih.gov/pmc/blobs/f18b/10560088/8cd82404858a/cureus-0015-00000046647-i02.jpg
https://cdn.ncbi.nlm.nih.gov/pmc/blobs/f18b/10560088/8004bb383cdb/cureus-0015-00000046647-i03.jpg
https://cdn.ncbi.nlm.nih.gov/pmc/blobs/f18b/10560088/ed910d2910bf/cureus-0015-00000046647-i04.jpg
https://cdn.ncbi.nlm.nih.gov/pmc/blobs/f18b/10560088/c816bbd6cc70/cureus-0015-00000046647-i05.jpg
https://cdn.ncbi.nlm.nih.gov/pmc/blobs/f18b/10560088/fc1196489eba/cureus-0015-00000046647-i06.jpg
https://cdn.ncbi.nlm.nih.gov/pmc/blobs/f18b/10560088/1bdac1157e72/cureus-0015-00000046647-i07.jpg
https://cdn.ncbi.nlm.nih.gov/pmc/blobs/f18b/10560088/52c45720011c/cureus-0015-00000046647-i08.jpg
https://cdn.ncbi.nlm.nih.gov/pmc/blobs/f18b/10560088/38aed2119c46/cureus-0015-00000046647-i09.jpg
https://cdn.ncbi.nlm.nih.gov/pmc/blobs/f18b/10560088/9b00431fb0ee/cureus-0015-00000046647-i10.jpg
https://cdn.ncbi.nlm.nih.gov/pmc/blobs/f18b/10560088/36571aab0608/cureus-0015-00000046647-i11.jpg
https://cdn.ncbi.nlm.nih.gov/pmc/blobs/f18b/10560088/6d964950e8b7/cureus-0015-00000046647-i01.jpg
https://cdn.ncbi.nlm.nih.gov/pmc/blobs/f18b/10560088/8cd82404858a/cureus-0015-00000046647-i02.jpg
https://cdn.ncbi.nlm.nih.gov/pmc/blobs/f18b/10560088/8004bb383cdb/cureus-0015-00000046647-i03.jpg
https://cdn.ncbi.nlm.nih.gov/pmc/blobs/f18b/10560088/ed910d2910bf/cureus-0015-00000046647-i04.jpg
https://cdn.ncbi.nlm.nih.gov/pmc/blobs/f18b/10560088/c816bbd6cc70/cureus-0015-00000046647-i05.jpg
https://cdn.ncbi.nlm.nih.gov/pmc/blobs/f18b/10560088/fc1196489eba/cureus-0015-00000046647-i06.jpg
https://cdn.ncbi.nlm.nih.gov/pmc/blobs/f18b/10560088/1bdac1157e72/cureus-0015-00000046647-i07.jpg
https://cdn.ncbi.nlm.nih.gov/pmc/blobs/f18b/10560088/52c45720011c/cureus-0015-00000046647-i08.jpg
https://cdn.ncbi.nlm.nih.gov/pmc/blobs/f18b/10560088/38aed2119c46/cureus-0015-00000046647-i09.jpg
https://cdn.ncbi.nlm.nih.gov/pmc/blobs/f18b/10560088/9b00431fb0ee/cureus-0015-00000046647-i10.jpg
https://cdn.ncbi.nlm.nih.gov/pmc/blobs/f18b/10560088/36571aab0608/cureus-0015-00000046647-i11.jpg

相似文献

1
Atypical Rasmussen's Encephalitis.非典型拉斯穆森脑炎
Cureus. 2023 Oct 7;15(10):e46647. doi: 10.7759/cureus.46647. eCollection 2023 Oct.
2
Presentation, diagnosis and treatment of bilateral Rasmussen's encephalitis in a 12-year-old female.一位 12 岁女性双侧拉斯穆森脑炎的表现、诊断和治疗。
Epileptic Disord. 2013 Sep;15(3):324-32. doi: 10.1684/epd.2013.0594.
3
Unilateral holohemispheric central nervous system lesions associated with medically refractory epilepsy in the pediatric population: a retrospective series of hemimegalencephaly and Rasmussen's encephalitis.儿科人群中与药物难治性癫痫相关的单侧全脑中枢神经系统病变:半侧巨脑回和拉斯穆森脑炎的回顾性系列研究
J Neurosurg Pediatr. 2014 Dec;14(6):573-84. doi: 10.3171/2014.8.PEDS13613. Epub 2014 Oct 10.
4
Rasmussen's Epileptogenic Encephalitis in a Tropical Country.
J Pediatr Neurosci. 2018 Oct-Dec;13(4):490-495. doi: 10.4103/JPN.JPN_51_18.
5
Role of diagnostic imaging in Rasmussen's encephalitis - A case report from .诊断成像在拉斯穆森脑炎中的作用——来自……的病例报告
Radiol Case Rep. 2022 Jul 29;17(10):3587-3590. doi: 10.1016/j.radcr.2022.06.097. eCollection 2022 Oct.
6
Atypical Presentation of Cerebral Palsy and Seizures: A Case Report on Rasmussen's Encephalitis in an Adolescent.脑瘫与癫痫的非典型表现:一名青少年患拉斯穆森脑炎的病例报告
Cureus. 2021 Mar 4;13(3):e13705. doi: 10.7759/cureus.13705.
7
Rasmussen's encephalitis in a pediatric patient with subtle early MRI changes: A case report.一名早期MRI表现轻微的儿科患者的拉斯穆森脑炎:病例报告
Radiol Case Rep. 2024 Sep 4;19(11):5496-5500. doi: 10.1016/j.radcr.2024.08.065. eCollection 2024 Nov.
8
[Recent advances in pathogenic concepts and therapeutic strategies in Rasmussen's encephalitis].[拉斯姆森脑炎的致病概念与治疗策略的最新进展]
Rev Neurol (Paris). 2005 Apr;161(4):395-405. doi: 10.1016/s0035-3787(05)85069-6.
9
Chronic T Cell Encephalitis Responsive to Immunotherapy.对免疫疗法有反应的慢性T细胞性脑炎
Ann Indian Acad Neurol. 2022 May-Jun;25(3):495-498. doi: 10.4103/aian.aian_982_21. Epub 2022 Mar 21.
10
Motor cortex relocation after complete anatomical hemispherectomy for intractable epilepsy secondary to Rasmussen's encephalitis.完全解剖性大脑半球切除术后运动皮层重新定位治疗拉斯姆森脑炎继发的难治性癫痫
Br J Neurosurg. 2019 Apr;33(2):234-236. doi: 10.1080/02688697.2018.1549316. Epub 2019 Jan 17.

本文引用的文献

1
A Special Case of Relapsing-Remitting Bilateral Encephalitis: Without Epilepsy, but Responding to Rituximab and with a Brain Biopsy Coinciding with Rasmussen Encephalitis.复发性双侧脑炎的一个特殊病例:无癫痫发作,但对利妥昔单抗有反应且脑活检结果与拉斯穆森脑炎相符
Brain Sci. 2022 Dec 22;13(1):17. doi: 10.3390/brainsci13010017.
2
Seizure Outcomes and Reoperation in Surgical Rasmussen Encephalitis Patients.手术性拉森姆脑炎患者的癫痫发作结局和再次手术。
Neurosurgery. 2022 Jul 1;91(1):93-102. doi: 10.1227/neu.0000000000001958. Epub 2022 May 13.
3
Rituximab in Rasmussen's encephalitis: A single center experience and review of the literature.
利妥昔单抗治疗拉斯穆森脑炎:单中心经验及文献综述
Epilepsy Behav Rep. 2022 Apr 9;19:100540. doi: 10.1016/j.ebr.2022.100540. eCollection 2022.
4
Rasmussen encephalitis: Predisposing factors and their potential role in unilaterality.拉斯穆森脑炎:诱发因素及其在单侧性中的潜在作用。
Epilepsia. 2022 Jan;63(1):108-119. doi: 10.1111/epi.17131. Epub 2021 Nov 24.
5
Atypical Presentation of Cerebral Palsy and Seizures: A Case Report on Rasmussen's Encephalitis in an Adolescent.脑瘫与癫痫的非典型表现:一名青少年患拉斯穆森脑炎的病例报告
Cureus. 2021 Mar 4;13(3):e13705. doi: 10.7759/cureus.13705.
6
Rasmussen's encephalitis: From immune pathogenesis towards targeted-therapy.拉森氏脑炎:从免疫发病机制到靶向治疗。
Seizure. 2020 Oct;81:76-83. doi: 10.1016/j.seizure.2020.07.023. Epub 2020 Jul 25.
7
Rasmussen syndrome: an atypical presentation in ten patients.拉斯姆森综合征:10例患者的非典型表现。
Epileptic Disord. 2018 Dec 1;20(6):468-478. doi: 10.1684/epd.2018.1007.
8
Phenotypic and functional complexity of brain-infiltrating T cells in Rasmussen encephalitis.拉斯姆森脑炎中脑浸润性T细胞的表型和功能复杂性
Neurol Neuroimmunol Neuroinflamm. 2017 Dec 8;5(1):e419. doi: 10.1212/NXI.0000000000000419. eCollection 2018 Jan.
9
Epilepsia partialis continua: A review.持续性部分性癫痫:综述
Seizure. 2017 Jan;44:74-80. doi: 10.1016/j.seizure.2016.10.010. Epub 2016 Oct 18.
10
Rasmussen encephalitis with dual pathology in a patient without seizures: case report and literature review.一名无癫痫发作患者的伴双重病理改变的拉斯穆森脑炎:病例报告及文献综述
Childs Nerv Syst. 2015 Nov;31(11):2165-71. doi: 10.1007/s00381-015-2757-8. Epub 2015 Jun 2.