Suppr超能文献

经鼻内镜蝶窦真菌球切除术

Endoscopic endonasal resection of a sphenoid fungal ball.

作者信息

Lara-Olivas Jorge Armando, Sangrador-Deitos Marcos V, Marian-Magaña Ricardo, Padilla-Leal Karen Elizabeth, Soto-Hernández José L, Gomez-Amador Juan L

机构信息

Department of Neurosurgery, National Institute of Neurology and Neurosurgery, Mexico City, Mexico.

Department of Neuroinfectology, National Institute of Neurology and Neurosurgery, Mexico City, Mexico.

出版信息

Surg Neurol Int. 2023 Sep 8;14:321. doi: 10.25259/SNI_469_2023. eCollection 2023.

Abstract

BACKGROUND

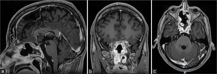
Fungal infections should always be considered in difficult-to-treat paranasal sinus conditions. Sphenoid fungal balls are characterized by the presence of dense fungal masses in the sinus cavity without invasion of surrounding tissues. This case emphasizes the importance of accurate terminology and management and also highlights the involvement of rare pathogens such as . Diagnosis is typically based on imaging studies and intraoperative findings. Accurate identification of the pathogen is crucial. Fungal infections of the paranasal sinuses, including fungus balls, can present challenges in diagnosis and treatment. , although infrequent, can cause potential life-threatening infections.

CASE DESCRIPTION

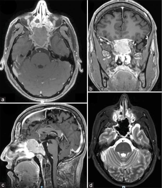
We present a 26-year-old non-HIV male patient who presented with nasal symptoms and mild headaches. The patient underwent an endoscopic exploration that revealed a soft, grayish lesion with a buttery consistency. Gross total resection was achieved and the lesion was identified as being caused by ; thus, intravenous antifungal treatment was given.

CONCLUSION

Endoscopic surgery remains the preferred approach for disease control. Considering alternative treatments and exploring novel approaches are essential in managing complex pathologies in neurosurgical practice.

摘要

背景

在难以治疗的鼻窦疾病中应始终考虑真菌感染。蝶窦真菌球的特征是鼻窦腔内存在致密的真菌团块,而不侵犯周围组织。本病例强调了准确的术语和管理的重要性,也突出了罕见病原体如……的参与。诊断通常基于影像学研究和术中发现。准确识别病原体至关重要。鼻窦真菌感染,包括真菌球,在诊断和治疗方面可能会带来挑战。……虽然不常见,但可导致潜在的危及生命的感染。

病例描述

我们报告一名26岁非HIV男性患者,出现鼻部症状和轻度头痛。患者接受了内镜探查,发现一个质地柔软、呈灰色、具有黄油样质地的病变。实现了全切除,病变被确定为由……引起;因此,给予了静脉抗真菌治疗。

结论

内镜手术仍然是控制疾病的首选方法。在神经外科实践中,考虑替代治疗方法并探索新方法对于处理复杂病变至关重要。

https://cdn.ncbi.nlm.nih.gov/pmc/blobs/28e4/10559376/48ae283d51da/SNI-14-321-g001.jpg

文献AI研究员

20分钟写一篇综述,助力文献阅读效率提升50倍。

立即体验

用中文搜PubMed

大模型驱动的PubMed中文搜索引擎

马上搜索

文档翻译

学术文献翻译模型,支持多种主流文档格式。

立即体验