• 文献检索
  • 文档翻译
  • 深度研究
  • 学术资讯
  • Suppr Zotero 插件Zotero 插件
  • 邀请有礼
  • 套餐&价格
  • 历史记录
应用&插件
Suppr Zotero 插件Zotero 插件浏览器插件Mac 客户端Windows 客户端微信小程序
定价
高级版会员购买积分包购买API积分包
服务
文献检索文档翻译深度研究API 文档MCP 服务
关于我们
关于 Suppr公司介绍联系我们用户协议隐私条款
关注我们

Suppr 超能文献

核心技术专利:CN118964589B侵权必究
粤ICP备2023148730 号-1Suppr @ 2026

文献检索

告别复杂PubMed语法,用中文像聊天一样搜索,搜遍4000万医学文献。AI智能推荐,让科研检索更轻松。

立即免费搜索

文件翻译

保留排版,准确专业,支持PDF/Word/PPT等文件格式,支持 12+语言互译。

免费翻译文档

深度研究

AI帮你快速写综述,25分钟生成高质量综述,智能提取关键信息,辅助科研写作。

立即免费体验

上颌骨肺泡型横纹肌肉瘤——病例报告

Alveolar type of rhabdomyosarcoma of maxilla-A case report.

作者信息

Dinakar J, Gowri S, Ann Tryphena E T

机构信息

Department of Oral Pathology, Rajas Dental College and Hospital, Kavalkinaru, Tirunelveli, Tamil Nadu, India.

Department of Oral Pathology and Microbiology, Sri Ramakrishna Dental College and Hospital, Coimbatore, Tamil Nadu, India.

出版信息

J Oral Maxillofac Pathol. 2023 Apr-Jun;27(2):406-410. doi: 10.4103/jomfp.jomfp_534_22. Epub 2023 Jul 13.

DOI:10.4103/jomfp.jomfp_534_22
PMID:37854913
原文链接:https://pmc.ncbi.nlm.nih.gov/articles/PMC10581309/
Abstract

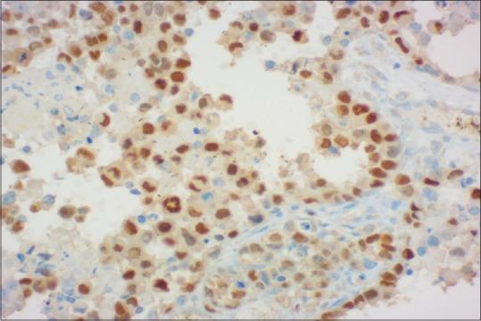
Rhabdomyosarcoma (RMS) is the most common sarcoma among children and accounts for 20% of soft tissue sarcomas. In children, close to 50% of rhabdomyosarcomas arise in the head and neck. RMS of the oral cavity is rare and is seen in only 10-12% of all head and neck lesions and the involvement of the jaws is extremely rare. Histopathologically, the various types are pleomorphic type, botryoid type, spindle cell type, embryonal, and alveolar type of RMS. The alveolar variant accounts for almost 30% of all rhabdomyosarcomas and tends to arise in patients of the age group 10-25 years. We present a case of orofacial RMS in a young adult who was referred to our Institution for the management of an odontogenic lesion of the maxilla. The clinicopathological aspects and poor survival rate as a consequence of delayed diagnosis are discussed. We dentists may misdiagnose it as an odontogenic tumour due to its location in the oral and maxillofacial region. Careful clinical history and examination and investigations may help to narrow down the diagnosis. Expert opinion and referrals to oral pathologists and oncologists are essential to arrive at early diagnosis and to initiate the treatment.

摘要

横纹肌肉瘤(RMS)是儿童中最常见的肉瘤,占软组织肉瘤的20%。在儿童中,近50%的横纹肌肉瘤发生于头颈部。口腔横纹肌肉瘤很罕见,仅占所有头颈部病变的10 - 12%,累及颌骨的情况极为罕见。组织病理学上,横纹肌肉瘤的各种类型包括多形性型、葡萄状型、梭形细胞型、胚胎型和肺泡型。肺泡型变体占所有横纹肌肉瘤的近30%,倾向于发生在10 - 25岁年龄组的患者中。我们报告一例年轻成人的口面部横纹肌肉瘤病例,该患者因上颌骨牙源性病变被转诊至我院。本文讨论了该病例的临床病理特征以及因诊断延迟导致的低生存率。由于其位于口腔颌面部区域,我们牙医可能会将其误诊为牙源性肿瘤。仔细的临床病史、检查和调查有助于缩小诊断范围。专家意见以及转诊至口腔病理学家和肿瘤学家对于早期诊断和启动治疗至关重要。

https://cdn.ncbi.nlm.nih.gov/pmc/blobs/db6d/10581309/7532fce78a70/JOMFP-27-406-g003.jpg
https://cdn.ncbi.nlm.nih.gov/pmc/blobs/db6d/10581309/e883cc7fcb9d/JOMFP-27-406-g001.jpg
https://cdn.ncbi.nlm.nih.gov/pmc/blobs/db6d/10581309/ddb5934c786f/JOMFP-27-406-g002.jpg
https://cdn.ncbi.nlm.nih.gov/pmc/blobs/db6d/10581309/7532fce78a70/JOMFP-27-406-g003.jpg
https://cdn.ncbi.nlm.nih.gov/pmc/blobs/db6d/10581309/e883cc7fcb9d/JOMFP-27-406-g001.jpg
https://cdn.ncbi.nlm.nih.gov/pmc/blobs/db6d/10581309/ddb5934c786f/JOMFP-27-406-g002.jpg
https://cdn.ncbi.nlm.nih.gov/pmc/blobs/db6d/10581309/7532fce78a70/JOMFP-27-406-g003.jpg

相似文献

1
Alveolar type of rhabdomyosarcoma of maxilla-A case report.上颌骨肺泡型横纹肌肉瘤——病例报告
J Oral Maxillofac Pathol. 2023 Apr-Jun;27(2):406-410. doi: 10.4103/jomfp.jomfp_534_22. Epub 2023 Jul 13.
2
Spindle cell rhabdomyosarcoma in adults: clinicopathological and immunohistochemical analysis of seven new cases.成人梭形细胞横纹肌肉瘤:7例新病例的临床病理及免疫组化分析
Virchows Arch. 2006 Nov;449(5):554-60. doi: 10.1007/s00428-006-0284-4. Epub 2006 Sep 30.
3
[Spindle cell rhabdomyosarcoma in adults: a new entity in the spectrum of malignant mesenchymal tumors of soft tissues].[成人梭形细胞横纹肌肉瘤:软组织恶性间叶肿瘤谱系中的一个新实体]
Pathologe. 2010 Mar;31(2):91-6. doi: 10.1007/s00292-009-1249-6.
4
Histopathological, immunohistochemical and molecular cytogenetic analysis of 21 spindle cell/sclerosing rhabdomyosarcomas.21例梭形细胞/硬化性横纹肌肉瘤的组织病理学、免疫组织化学及分子细胞遗传学分析
APMIS. 2014 Nov;122(11):1144-52. doi: 10.1111/apm.12272. Epub 2014 Apr 14.
5
Orofacial rhabdomyosarcoma in neonates and young children: a review of literature and management of four cases.新生儿和幼儿口腔面部横纹肌肉瘤:文献综述及4例病例管理
Oral Oncol. 2002 Jul;38(5):508-15. doi: 10.1016/s1368-8375(01)00087-2.
6
Childhood rhabdomyosarcoma with anaplastic (pleomorphic) features. A report of the Intergroup Rhabdomyosarcoma Study.具有间变性(多形性)特征的儿童横纹肌肉瘤。横纹肌肉瘤国际协作组研究报告。
Am J Surg Pathol. 1993 May;17(5):443-53. doi: 10.1097/00000478-199305000-00002.
7
Alveolar rhabdomyosarcoma of maxilla.上颌骨肺泡状横纹肌肉瘤
J Oral Maxillofac Pathol. 2016 Jan-Apr;20(1):164. doi: 10.4103/0973-029X.180987.
8
Sclerosing rhabdomyosarcoma in adults: report of four cases of a hyalinizing, matrix-rich variant of rhabdomyosarcoma that may be confused with osteosarcoma, chondrosarcoma, or angiosarcoma.成人硬化性横纹肌肉瘤:4例报告,该横纹肌肉瘤为一种富含基质的透明变性变异型,可能会与骨肉瘤、软骨肉瘤或血管肉瘤相混淆。
Am J Surg Pathol. 2002 Sep;26(9):1175-83. doi: 10.1097/00000478-200209000-00008.
9
Oral rhabdomyosarcoma: A review.口腔横纹肌肉瘤:综述
J Clin Exp Dent. 2012 Dec 1;4(5):e302-8. doi: 10.4317/jced.50926.
10
Primary gallbladder sarcoma: a clinicopathologic study of 15 cases, heterogeneous sarcomas with poor outcome, except pediatric botryoid rhabdomyosarcoma.原发性胆囊肉瘤:15例临床病理研究,除儿童葡萄状横纹肌肉瘤外,均为异质性肉瘤,预后不良。
Am J Surg Pathol. 2009 Jun;33(6):826-34. doi: 10.1097/PAS.0b013e3181937bb3.

本文引用的文献

1
Non-parameningeal head and neck rhabdomyosarcoma in children, adolescents, and young adults: Experience of the European paediatric Soft tissue sarcoma Study Group (EpSSG) - RMS2005 study.儿童、青少年和青年非生殖细胞性头颈部横纹肌肉瘤:欧洲儿科软组织肉瘤研究组(EpSSG)- RMS2005 研究的经验。
Eur J Cancer. 2021 Jul;151:84-93. doi: 10.1016/j.ejca.2021.04.007. Epub 2021 May 7.
2
Embryonal Rhabdomyosarcoma - A Mimicker of Squamosal Otitis Media.胚胎性横纹肌肉瘤——中耳鳞状细胞炎的模仿者。
Iran J Otorhinolaryngol. 2020 Jan;32(108):57-61. doi: 10.22038/ijorl.2019.38807.2280.
3
Rabdomyosarcoma of the Mandible: An Uncommon Clinical Presentation.
下颌骨横纹肌肉瘤:一种罕见的临床表现。
J Craniofac Surg. 2018 May;29(3):e221-e224. doi: 10.1097/SCS.0000000000004154.
4
Rhabdomyosarcoma of the head and neck in children.儿童头颈部横纹肌肉瘤
Contemp Oncol (Pozn). 2015;19(2):98-107. doi: 10.5114/wo.2015.49158. Epub 2015 Feb 13.
5
The World Health Organization Classification of Skeletal Muscle Tumors in Pediatric Rhabdomyosarcoma: A Report From the Children's Oncology Group.世界卫生组织儿童横纹肌肉瘤骨骼肌肿瘤分类:来自儿童肿瘤学组的报告。
Arch Pathol Lab Med. 2015 Oct;139(10):1281-7. doi: 10.5858/arpa.2014-0475-OA. Epub 2015 May 19.
6
A rare case of congenital rhabdomyosarcoma with review of the literature.先天性横纹肌肉瘤1例罕见病例并文献复习
Case Rep Otolaryngol. 2013;2013:518952. doi: 10.1155/2013/518952. Epub 2013 Nov 20.
7
Rhabdomyosarcoma of mandible: A diagnostic predicament.下颌骨横纹肌肉瘤:一种诊断困境。
J Oral Maxillofac Pathol. 2011 Sep;15(3):320-5. doi: 10.4103/0973-029X.86707.
8
Rhabdomyosarcoma of the oral cavity: a case report.口腔横纹肌肉瘤:一例报告
Eur J Dent. 2011 Jul;5(3):340-3.
9
Rhabdomyosarcoma of the head and neck: 24 cases and literature review.头颈部横纹肌肉瘤:24 例病例报告及文献复习。
Braz J Otorhinolaryngol. 2010 Jul-Aug;76(4):533-7. doi: 10.1590/S1808-86942010000400020.
10
Trends in childhood rhabdomyosarcoma incidence and survival in the United States, 1975-2005.1975 - 2005年美国儿童横纹肌肉瘤的发病率及生存率趋势
Cancer. 2009 Sep 15;115(18):4218-26. doi: 10.1002/cncr.24465.