Suppr超能文献

双出口左心室:病例系列及文献系统综述

Double-Outlet Left Ventricle: Case Series and Systematic Review of the Literature.

作者信息

Lioncino Michele, Calcagni Giulio, Badolato Fausto, Antonelli Giovanni, Leonardi Benedetta, de Zorzi Andrea, Secinaro Aurelio, Brancaccio Gianluca, Albanese Sonia, Carotti Adriano, Drago Fabrizio, Rinelli Gabriele

机构信息

Pediatric Cardiology and Cardiac Arrhythmias and Syncope Unit, Bambino Gesù Children's Hospital, IRCSS, 00146 Rome, Italy.

Advanced Cardiothoracic Imaging Unit, Bambino Gesù Children's Hospital, IRCSS, 00165 Rome, Italy.

出版信息

Diagnostics (Basel). 2023 Oct 11;13(20):3175. doi: 10.3390/diagnostics13203175.

Abstract

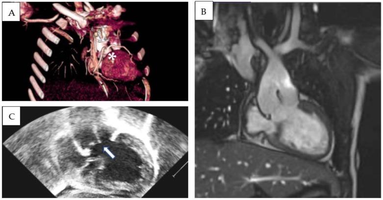
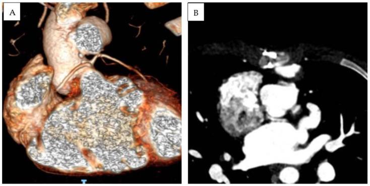
Double-outlet left ventricle (DOLV) is an abnormal ventriculo-arterial connection characterized by the origin of both great arteries from the morphological left ventricle. The aim of our paper is to describe the morphological and imaging features of DOLV and to assess the prevalence of the associated malformations and their surgical outcomes. METHODS From 2011 to 2022, we retrospectively reviewed the electronic case records of patients diagnosed with DOLV at the Bambino Gesu Children's Hospital. A systematic search was developed in MEDLINE, Web of Science, and EMBASE databases to identify reports assessing the morphology and outcomes of DOLV between 1975 and 2023. RESULTS: Over a median follow-up of 9.9 years (IQR 7.8-11.7 y), four cases of DOLV were identified at our institution. Two patients were diagnosed with (S,D,D) DOLV subaortic VSD and pulmonary stenosis (PS): one patient had (S,D,D) DOLV with doubly committed VSD and hypoplastic right ventricle, and another patient had (S,D,L) DOLV with subaortic VSD and PS (malposition type). Pulmonary stenosis was the most commonly associated lesion (75%). LITERATURE REVIEW: After systematic evaluation, a total of 12 reports fulfilled the eligibility criteria and were included in our analysis. PS or right ventricular outflow tract obstruction was the most commonly associated lesion (69%, 95% CI 62-76%). The most common locations of VSD were subaortic (pooled prevalence: 75%, 95% CI 68-81), subpulmonary (15%, 95% CI 10-21), and doubly committed (7%, 95% CI 4-12). The position of the great arteries showed that d-transposition of the aorta was present in 128 cases (59% 95% CI 42-74), and l-transposition was present in 77 cases (35%, 95% CI 29-43).

摘要

双出口左心室(DOLV)是一种异常的心室-动脉连接,其特征为两大动脉均起源于形态学上的左心室。本文的目的是描述双出口左心室的形态学和影像学特征,并评估相关畸形的患病率及其手术结果。方法:2011年至2022年,我们回顾性分析了在 Bambino Gesu儿童医院诊断为双出口左心室的患者的电子病历。在 MEDLINE、科学网和 EMBASE数据库中进行了系统检索,以识别 1975年至 2023年期间评估双出口左心室形态学和结果的报告。结果:在中位随访 9.9年(四分位间距 7.8 - 11.7年)期间,我们机构共识别出 4例双出口左心室患者。2例患者被诊断为(S,D,D)型双出口左心室合并主动脉下室间隔缺损和肺动脉狭窄(PS):1例患者为(S,D,D)型双出口左心室合并双室连接室间隔缺损和右心室发育不良,另 1例患者为(S,D,L)型双出口左心室合并主动脉下室间隔缺损和 PS(位置异常型)。肺动脉狭窄是最常见的相关病变(75%)。文献综述:经过系统评估,共有 12篇报告符合纳入标准并纳入我们的分析。肺动脉狭窄或右心室流出道梗阻是最常见的相关病变(69%,95%CI 62 - 76%)。室间隔缺损最常见的位置是主动脉下(合并患病率:75%,95%CI 68 - 81)、肺动脉下(15%,95%CI 10 - 21)和双室连接(7%,95%CI 4 - 12)。大动脉的位置显示,128例(59%,95%CI 42 - 74)存在主动脉 d-转位,77例(35%,95%CI 29 - 43)存在 l-转位。

https://cdn.ncbi.nlm.nih.gov/pmc/blobs/afaf/10605834/5d6271a898da/diagnostics-13-03175-g001.jpg

文献检索

告别复杂PubMed语法,用中文像聊天一样搜索,搜遍4000万医学文献。AI智能推荐,让科研检索更轻松。

立即免费搜索

文件翻译

保留排版,准确专业,支持PDF/Word/PPT等文件格式,支持 12+语言互译。

免费翻译文档

深度研究

AI帮你快速写综述,25分钟生成高质量综述,智能提取关键信息,辅助科研写作。

立即免费体验