Suppr超能文献

从成纤维细胞活化蛋白角度看肿瘤进展:结直肠癌的新型诊断与治疗方案

Tumor Progression from a Fibroblast Activation Protein Perspective: Novel Diagnostic and Therapeutic Scenarios for Colorectal Cancer.

作者信息

Rossetti Martina, Stanca Stefano, Del Frate Rossella, Bartoli Francesco, Marciano Andrea, Esposito Enrica, Fantoni Alessandra, Erba Anna Paola, Lippolis Piero Vincenzo, Faviana Pinuccia

机构信息

Department of Surgical, Medical, Molecular Pathology and Critical Area, University of Pisa, 56126 Pisa, Italy.

Department of Translational Research and New Technologies in Medicine and Surgery, University of Pisa, 56126 Pisa, Italy.

出版信息

Diagnostics (Basel). 2023 Oct 13;13(20):3199. doi: 10.3390/diagnostics13203199.

Abstract

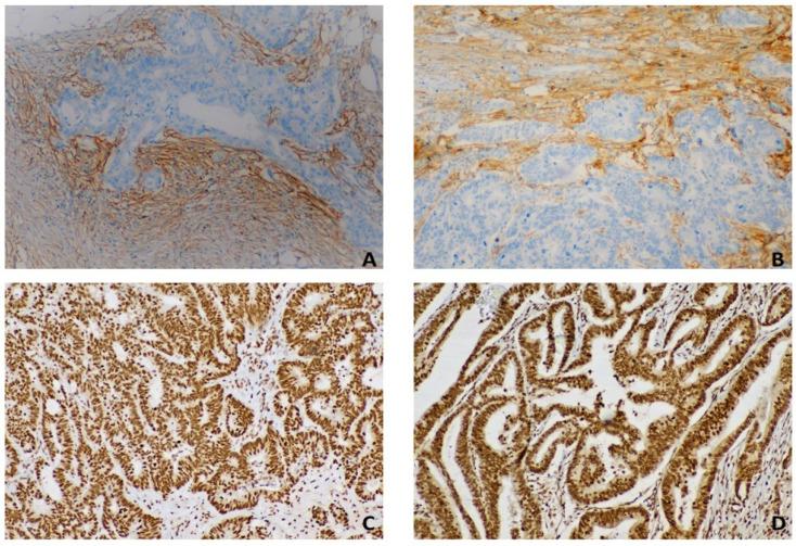
In 2020, the Global Cancer Observatory estimated the incidence of colorectal cancer (CRC) at around 10.7% coupled with a mortality rate of 9.5%. The explanation for these values lies in the tumor microenvironment consisting of the extracellular matrix and cancer-associated fibroblasts (CAFs). Fibroblast activation protein (FAP) offers a promising target for cancer therapy since its functions contribute to tumor progression. Immunohistochemistry examination of FAP, fibronectin ED-B, and CXCR4 in primary tumors and their respective synchronous and/or metachronous metastases along with semiquantitative analysis have been carried out on histological samples of 50 patients diagnosed with metastatic CRC. The intensity of FAP, articulated by both "Intensity %" and "Intensity score", is lower in the first metastasis compared to the primary tumor with a statistically significant correlation. No significant correlations have been observed regarding fibronectin ED-B and CXCR4. Tumors that produce FAP have an ambivalent relationship with this protein. At first, they exploit FAP, but later they reduce its expressiveness. Although our study has not directly included FAP-Inhibitor (FAPI) PET/CT, the considerable expression of FAP reveals its potential as a diagnostic and therapeutic tool worthy of further investigation. This dynamic relationship between cancer and FAP has substantial diagnostic and therapeutic implications.

摘要

2020年,全球癌症观测站估计结直肠癌(CRC)的发病率约为10.7%,死亡率为9.5%。这些数据的原因在于由细胞外基质和癌症相关成纤维细胞(CAF)组成的肿瘤微环境。成纤维细胞活化蛋白(FAP)为癌症治疗提供了一个有前景的靶点,因为其功能有助于肿瘤进展。对50例诊断为转移性结直肠癌的患者的组织学样本进行了原发性肿瘤及其各自的同步和/或异时转移灶中FAP、纤连蛋白ED-B和CXCR4的免疫组织化学检查以及半定量分析。通过“强度百分比”和“强度评分”表示的FAP强度,在首次转移灶中低于原发性肿瘤,具有统计学意义的相关性。未观察到纤连蛋白ED-B和CXCR4有显著相关性。产生FAP的肿瘤与这种蛋白存在矛盾的关系。起初,它们利用FAP,但后来它们降低了FAP的表达。虽然我们的研究没有直接纳入FAP抑制剂(FAPI)PET/CT,但FAP的大量表达揭示了其作为一种值得进一步研究的诊断和治疗工具的潜力。癌症与FAP之间的这种动态关系具有重要的诊断和治疗意义。

https://cdn.ncbi.nlm.nih.gov/pmc/blobs/7ed9/10606275/cb0b4500a9a5/diagnostics-13-03199-g001.jpg

文献检索

告别复杂PubMed语法,用中文像聊天一样搜索,搜遍4000万医学文献。AI智能推荐,让科研检索更轻松。

立即免费搜索

文件翻译

保留排版,准确专业,支持PDF/Word/PPT等文件格式,支持 12+语言互译。

免费翻译文档

深度研究

AI帮你快速写综述,25分钟生成高质量综述,智能提取关键信息,辅助科研写作。

立即免费体验