• 文献检索
  • 文档翻译
  • 深度研究
  • 学术资讯
  • Suppr Zotero 插件Zotero 插件
  • 邀请有礼
  • 套餐&价格
  • 历史记录
应用&插件
Suppr Zotero 插件Zotero 插件浏览器插件Mac 客户端Windows 客户端微信小程序
定价
高级版会员购买积分包购买API积分包
服务
文献检索文档翻译深度研究API 文档MCP 服务
关于我们
关于 Suppr公司介绍联系我们用户协议隐私条款
关注我们

Suppr 超能文献

核心技术专利:CN118964589B侵权必究
粤ICP备2023148730 号-1Suppr @ 2026

文献检索

告别复杂PubMed语法,用中文像聊天一样搜索,搜遍4000万医学文献。AI智能推荐,让科研检索更轻松。

立即免费搜索

文件翻译

保留排版,准确专业,支持PDF/Word/PPT等文件格式,支持 12+语言互译。

免费翻译文档

深度研究

AI帮你快速写综述,25分钟生成高质量综述,智能提取关键信息,辅助科研写作。

立即免费体验

阿尔茨海默病及相关痴呆症的死后大脑成像:南德克萨斯州阿尔茨海默病研究中心数据库。

Postmortem Brain Imaging in Alzheimer's Disease and Related Dementias: The South Texas Alzheimer's Disease Research Center Repository.

机构信息

Glenn Biggs Institute for Neurodegenerative Disorders, University of Texas Health Science Center at San Antonio, San Antonio, TX, USA.

Research Imaging Institute, University of Texas Health Science Center at San Antonio, San Antonio, TX, USA.

出版信息

J Alzheimers Dis. 2023;96(3):1267-1283. doi: 10.3233/JAD-230389.

DOI:10.3233/JAD-230389
PMID:37955086
原文链接:https://pmc.ncbi.nlm.nih.gov/articles/PMC10693476/
Abstract

BACKGROUND

Neuroimaging bears the promise of providing new biomarkers that could refine the diagnosis of dementia. Still, obtaining the pathology data required to validate the relationship between neuroimaging markers and neurological changes is challenging. Existing data repositories are focused on a single pathology, are too small, or do not precisely match neuroimaging and pathology findings.

OBJECTIVE

The new data repository introduced in this work, the South Texas Alzheimer's Disease research center repository, was designed to address these limitations. Our repository covers a broad diversity of dementias, spans a wide age range, and was specifically designed to draw exact correspondences between neuroimaging and pathology data.

METHODS

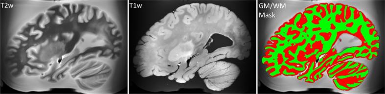
Using four different MRI sequences, we are reaching a sample size that allows for validating multimodal neuroimaging biomarkers and studying comorbid conditions. Our imaging protocol was designed to capture markers of cerebrovascular disease and related lesions. Quantification of these lesions is currently underway with MRI-guided histopathological examination.

RESULTS

A total of 139 postmortem brains (70 females) with mean age of 77.9 years were collected, with 71 brains fully analyzed. Of these, only 3% showed evidence of AD-only pathology and 76% had high prevalence of multiple pathologies contributing to clinical diagnosis.

CONCLUSION

This repository has a significant (and increasing) sample size consisting of a wide range of neurodegenerative disorders and employs advanced imaging protocols and MRI-guided histopathological analysis to help disentangle the effects of comorbid disorders to refine diagnosis, prognosis and better understand neurodegenerative disorders.

摘要

背景

神经影像学有望提供新的生物标志物,从而改善痴呆症的诊断。然而,获得验证神经影像学标志物与神经变化之间关系所需的病理学数据具有挑战性。现有的数据库专注于单一病理学,规模太小,或者与神经影像学和病理学发现不精确匹配。

目的

本研究引入的新数据库——南德克萨斯州阿尔茨海默病研究中心数据库,旨在解决这些限制。我们的数据库涵盖了广泛的痴呆症,涵盖了广泛的年龄范围,并且专门设计用于在神经影像学和病理学数据之间建立精确对应关系。

方法

我们使用四种不同的 MRI 序列,样本量达到了验证多模态神经影像学生物标志物和研究合并症的要求。我们的成像方案旨在捕获脑血管疾病和相关病变的标志物。目前正在通过 MRI 引导的组织病理学检查对这些病变进行定量分析。

结果

共收集了 139 例尸检脑(70 名女性),平均年龄为 77.9 岁,其中 71 例脑得到了全面分析。其中,只有 3%的病例表现出 AD 型病理学证据,76%的病例存在多种导致临床诊断的病理学。

结论

该数据库具有较大(且不断增加)的样本量,包含广泛的神经退行性疾病,并采用先进的成像方案和 MRI 引导的组织病理学分析,以帮助理清合并症的影响,从而改善诊断、预后,并更好地理解神经退行性疾病。

https://cdn.ncbi.nlm.nih.gov/pmc/blobs/0fd4/10741332/911a03b5859f/jad-96-jad230389-g010.jpg
https://cdn.ncbi.nlm.nih.gov/pmc/blobs/0fd4/10741332/139a53d28311/jad-96-jad230389-g001.jpg
https://cdn.ncbi.nlm.nih.gov/pmc/blobs/0fd4/10741332/f3d63e8f1fbc/jad-96-jad230389-g002.jpg
https://cdn.ncbi.nlm.nih.gov/pmc/blobs/0fd4/10741332/6a948f13dc5d/jad-96-jad230389-g003.jpg
https://cdn.ncbi.nlm.nih.gov/pmc/blobs/0fd4/10741332/e2c957530f31/jad-96-jad230389-g004.jpg
https://cdn.ncbi.nlm.nih.gov/pmc/blobs/0fd4/10741332/9a1aca6d179d/jad-96-jad230389-g005.jpg
https://cdn.ncbi.nlm.nih.gov/pmc/blobs/0fd4/10741332/0be095e6edc3/jad-96-jad230389-g006.jpg
https://cdn.ncbi.nlm.nih.gov/pmc/blobs/0fd4/10741332/b1d7f5c2248f/jad-96-jad230389-g007.jpg
https://cdn.ncbi.nlm.nih.gov/pmc/blobs/0fd4/10741332/12d4350ff7fb/jad-96-jad230389-g008.jpg
https://cdn.ncbi.nlm.nih.gov/pmc/blobs/0fd4/10741332/fdb90304a5c9/jad-96-jad230389-g009.jpg
https://cdn.ncbi.nlm.nih.gov/pmc/blobs/0fd4/10741332/911a03b5859f/jad-96-jad230389-g010.jpg
https://cdn.ncbi.nlm.nih.gov/pmc/blobs/0fd4/10741332/139a53d28311/jad-96-jad230389-g001.jpg
https://cdn.ncbi.nlm.nih.gov/pmc/blobs/0fd4/10741332/f3d63e8f1fbc/jad-96-jad230389-g002.jpg
https://cdn.ncbi.nlm.nih.gov/pmc/blobs/0fd4/10741332/6a948f13dc5d/jad-96-jad230389-g003.jpg
https://cdn.ncbi.nlm.nih.gov/pmc/blobs/0fd4/10741332/e2c957530f31/jad-96-jad230389-g004.jpg
https://cdn.ncbi.nlm.nih.gov/pmc/blobs/0fd4/10741332/9a1aca6d179d/jad-96-jad230389-g005.jpg
https://cdn.ncbi.nlm.nih.gov/pmc/blobs/0fd4/10741332/0be095e6edc3/jad-96-jad230389-g006.jpg
https://cdn.ncbi.nlm.nih.gov/pmc/blobs/0fd4/10741332/b1d7f5c2248f/jad-96-jad230389-g007.jpg
https://cdn.ncbi.nlm.nih.gov/pmc/blobs/0fd4/10741332/12d4350ff7fb/jad-96-jad230389-g008.jpg
https://cdn.ncbi.nlm.nih.gov/pmc/blobs/0fd4/10741332/fdb90304a5c9/jad-96-jad230389-g009.jpg
https://cdn.ncbi.nlm.nih.gov/pmc/blobs/0fd4/10741332/911a03b5859f/jad-96-jad230389-g010.jpg

相似文献

1
Postmortem Brain Imaging in Alzheimer's Disease and Related Dementias: The South Texas Alzheimer's Disease Research Center Repository.阿尔茨海默病及相关痴呆症的死后大脑成像:南德克萨斯州阿尔茨海默病研究中心数据库。
J Alzheimers Dis. 2023;96(3):1267-1283. doi: 10.3233/JAD-230389.
2
Structural magnetic resonance imaging for the early diagnosis of dementia due to Alzheimer's disease in people with mild cognitive impairment.用于轻度认知障碍患者阿尔茨海默病所致痴呆早期诊断的结构磁共振成像
Cochrane Database Syst Rev. 2020 Mar 2;3(3):CD009628. doi: 10.1002/14651858.CD009628.pub2.
3
Structural Brain Magnetic Resonance Imaging to Rule Out Comorbid Pathology in the Assessment of Alzheimer's Disease Dementia: Findings from the Ontario Neurodegenerative Disease Research Initiative (ONDRI) Study and Clinical Trials Over the Past 10 Years.结构脑磁共振成像排除阿尔茨海默病痴呆评估中的共病病理学:来自安大略神经退行性疾病研究倡议(ONDRI)研究和过去 10 年临床试验的结果。
J Alzheimers Dis. 2020;74(3):747-757. doi: 10.3233/JAD-191097.
4
Secondary prevention of Alzheimer's dementia: neuroimaging contributions.阿尔茨海默病的二级预防:神经影像学的贡献。
Alzheimers Res Ther. 2018 Oct 30;10(1):112. doi: 10.1186/s13195-018-0438-z.
5
Understanding disease progression and improving Alzheimer's disease clinical trials: Recent highlights from the Alzheimer's Disease Neuroimaging Initiative.了解疾病进展和改善阿尔茨海默病临床试验:阿尔茨海默病神经影像学倡议的最新重点。
Alzheimers Dement. 2019 Jan;15(1):106-152. doi: 10.1016/j.jalz.2018.08.005. Epub 2018 Oct 13.
6
MRI and Clinical Biomarkers Overlap between Glaucoma and Alzheimer's Disease.MRI 和临床生物标志物在青光眼和阿尔茨海默病之间存在重叠。
Int J Mol Sci. 2023 Oct 5;24(19):14932. doi: 10.3390/ijms241914932.
7
Neuroimaging correlates with neuropathologic schemes in neurodegenerative disease.神经影像学与神经退行性疾病的神经病理模式相关。
Alzheimers Dement. 2019 Jul;15(7):927-939. doi: 10.1016/j.jalz.2019.03.016. Epub 2019 Jun 4.
8
Potential Role of Neuroimaging Markers for Early Diagnosis of Dementia in Primary Care.神经影像学标志物在基层医疗中对痴呆症早期诊断的潜在作用
Curr Alzheimer Res. 2018;15(1):18-27. doi: 10.2174/1567205014666170908093846.
9
Cognitive and Brain Profiles Associated with Current Neuroimaging Biomarkers of Preclinical Alzheimer's Disease.与临床前阿尔茨海默病当前神经影像学生物标志物相关的认知和脑图谱
J Neurosci. 2015 Jul 22;35(29):10402-11. doi: 10.1523/JNEUROSCI.0150-15.2015.
10
Alzheimer's disease diagnosis framework from incomplete multimodal data using convolutional neural networks.基于卷积神经网络的不完全多模态数据阿尔茨海默病诊断框架。
J Biomed Inform. 2021 Sep;121:103863. doi: 10.1016/j.jbi.2021.103863. Epub 2021 Jul 3.

引用本文的文献

1
Biologics as Therapeutical Agents Under Perspective Clinical Studies for Alzheimer's Disease.生物制剂作为阿尔茨海默病临床研究中的治疗药物。
Molecules. 2025 Aug 24;30(17):3479. doi: 10.3390/molecules30173479.
2
Convolutional Neural Networks for the segmentation of hippocampal structures in postmortem MRI scans.用于死后MRI扫描中海马结构分割的卷积神经网络
J Neurosci Methods. 2025 Mar;415:110359. doi: 10.1016/j.jneumeth.2024.110359. Epub 2025 Jan 2.
3
Deep learning reveals pathology-confirmed neuroimaging signatures in Alzheimer's, vascular and Lewy body dementias.

本文引用的文献

1
Deep Learning Based Detection of Enlarged Perivascular Spaces on Brain MRI.基于深度学习的脑磁共振成像上血管周围间隙增宽的检测
Neuroimage Rep. 2023 Mar;3(1). doi: 10.1016/j.ynirp.2023.100162. Epub 2023 Mar 7.
2
Inhomogeneous Magnetization Transfer (ihMT) imaging in the acute cuprizone mouse model of demyelination/remyelination.脱髓鞘/再髓鞘化急性铜螯合剂小鼠模型中的非均匀磁化传递(ihMT)成像。
Neuroimage. 2023 Jan;265:119785. doi: 10.1016/j.neuroimage.2022.119785. Epub 2022 Dec 1.
3
Perivascular Spaces, Glymphatic System and MR.血管周围间隙、类淋巴系统与磁共振成像
深度学习揭示了经病理学证实的阿尔茨海默病、血管性痴呆和路易体痴呆的神经影像特征。
Brain. 2025 Jun 3;148(6):1963-1977. doi: 10.1093/brain/awae388.
4
Microstructural Changes in the Corpus Callosum in Neurodegenerative Diseases.神经退行性疾病中胼胝体的微观结构变化
Cureus. 2024 Aug 21;16(8):e67378. doi: 10.7759/cureus.67378. eCollection 2024 Aug.
5
Bridging the gap: Multi-omics profiling of brain tissue in Alzheimer's disease and older controls in multi-ethnic populations.弥合差距:多民族人群中阿尔茨海默病患者和老年对照者脑组织的多组学分析。
Alzheimers Dement. 2024 Oct;20(10):7174-7192. doi: 10.1002/alz.14208. Epub 2024 Aug 30.
6
Bridging the Gap: Multi-Omics Profiling of Brain Tissue in Alzheimer's Disease and Older Controls in Multi-Ethnic Populations.弥合差距:多民族人群中阿尔茨海默病与老年对照者脑组织的多组学分析
bioRxiv. 2024 Apr 20:2024.04.16.589592. doi: 10.1101/2024.04.16.589592.
Front Neurol. 2022 May 3;13:844938. doi: 10.3389/fneur.2022.844938. eCollection 2022.
4
Trajectories of Cognitive Decline in Brain Donors With Autopsy-Confirmed Alzheimer Disease and Cerebrovascular Disease.阿尔茨海默病和脑血管病尸检确诊的脑捐赠者认知能力下降轨迹。
Neurology. 2022 Jun 14;98(24):e2454-e2464. doi: 10.1212/WNL.0000000000200304. Epub 2022 Apr 20.
5
Hippocampal-subfield microstructures and their relation to plasma biomarkers in Alzheimer's disease.阿尔茨海默病中海马亚区微结构及其与血浆生物标志物的关系。
Brain. 2022 Jun 30;145(6):2149-2160. doi: 10.1093/brain/awac138.
6
The Digital Brain Bank, an open access platform for post-mortem imaging datasets.数字脑库,一个死后成像数据集的开放获取平台。
Elife. 2022 Mar 17;11:e73153. doi: 10.7554/eLife.73153.
7
Ethical Considerations in Dementia Diagnosis and Care: AAN Position Statement.痴呆症诊断和护理中的伦理问题:美国神经病学学会立场声明。
Neurology. 2021 Jul 13;97(2):80-89. doi: 10.1212/WNL.0000000000012079.
8
Volume of White Matter Hyperintensities, and Cerebral Micro-Bleeds.脑白质高信号体积和脑微出血。
J Stroke Cerebrovasc Dis. 2021 Aug;30(8):105905. doi: 10.1016/j.jstrokecerebrovasdis.2021.105905. Epub 2021 Jun 6.
9
MRI quantitative susceptibility mapping of the substantia nigra as an early biomarker for Lewy body disease.MRI 定量磁化率映射在黑质中的应用作为路易体病的早期生物标志物。
J Neuroimaging. 2021 Sep;31(5):1020-1027. doi: 10.1111/jon.12878. Epub 2021 May 25.
10
Concomitant neurodegenerative pathologies contribute to the transition from mild cognitive impairment to dementia.同时存在的神经退行性病理改变导致轻度认知障碍向痴呆的转变。
Alzheimers Dement. 2021 Jul;17(7):1121-1133. doi: 10.1002/alz.12291. Epub 2021 Mar 4.