Suppr超能文献

一名年轻运动员椎弓根应力性骨折的微创治疗:病例报告

Minimally invasive treatment of pedicle stress fracture in a young athlete: A case report.

作者信息

Ghermandi Riccardo, Falzetti Luigi, Haddad Dario, Pipola Valerio, Gasbarrini Alessandro

机构信息

IRCCS Istituto Ortopedico Rizzoli, Spine Surgery Department, Bologna, Italy.

IRCCS Istituto Ortopedico Rizzoli, Spine Surgery Department, Bologna, Italy.

出版信息

Int J Surg Case Rep. 2023 Dec;113:109038. doi: 10.1016/j.ijscr.2023.109038. Epub 2023 Nov 14.

Abstract

INTRODUCTION

Pedicle stress fractures are an uncommon type of non-union often associated with contralateral neural arch interruption in young, active patients. Patients present with long-lasting low back pain, and the diagnosis is usually delayed. Treatment is generally conservative. Few cases treated surgically are described in the literature, with a high degree of treatment heterogeneity and no consensus on optimal treatment.

PRESENTATION OF CASE

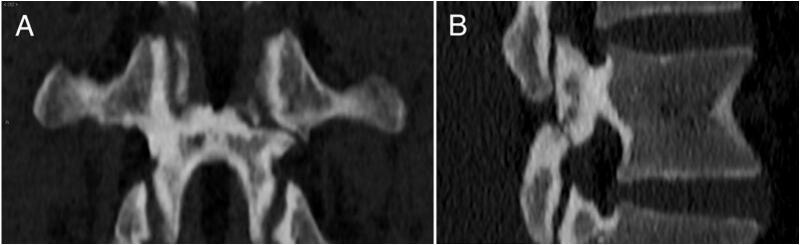
A 24-year-old male, following a sports-related trauma, developed persistent lower back pain. Imaging revealed a right L3 pedicle stress fracture with left lamina and pars interarticularis interruption. A minimally invasive percutaneous approach targeting the pedicle fracture was chosen. The procedure aimed to alleviate pain and promote non-union healing, without addressing the contralateral defect. The patient quickly recovered, achieving significant pain relief, and starting a tailored physical therapy program. At the 4-month follow-up, the pedicle fracture healed with callus formation. The patient returned to sports practice.

DISCUSSION

Pedicle stress fractures may result from biomechanical force redistribution. Diagnosis is challenging, necessitating advanced imaging, including bone scintigraphy, MRI, and CT scans. Conservative management with rest, restriction with a brace, and focused rehabilitation usually achieves good results. When conservative management fails, surgery should be considered. Surgical options include direct repair, bone grafting, and screw fixation of the pedicle and contralateral pars defect.

CONCLUSION

Minimally invasive surgery can achieve good clinical and functional results while avoiding blood loss and soft tissue trauma. Treating only the stress fracture is sufficient to promote bone healing, in contrast to more complex procedures.

摘要

引言

椎弓根应力性骨折是一种罕见的骨不连类型,常与年轻活跃患者的对侧神经弓中断有关。患者表现为长期的下腰痛,诊断通常会延迟。治疗一般采用保守治疗。文献中描述的手术治疗病例很少,治疗方法高度异质性,对于最佳治疗方案尚无共识。

病例介绍

一名24岁男性,在一次与运动相关的创伤后,出现了持续性下腰痛。影像学检查显示右侧L3椎弓根应力性骨折,伴有左侧椎板和关节突峡部中断。选择了针对椎弓根骨折的微创经皮入路。该手术旨在缓解疼痛并促进骨不连愈合,而不处理对侧缺损。患者恢复迅速,疼痛明显缓解,并开始了量身定制的物理治疗计划。在4个月的随访中,椎弓根骨折愈合,有骨痂形成。患者恢复了体育活动。

讨论

椎弓根应力性骨折可能由生物力学力重新分布引起。诊断具有挑战性,需要先进的影像学检查,包括骨闪烁显像、MRI和CT扫描。通过休息、使用支具限制活动和针对性康复进行保守治疗通常能取得良好效果。当保守治疗失败时,应考虑手术治疗。手术选择包括直接修复、植骨以及椎弓根和对侧关节突缺损的螺钉固定。

结论

微创手术可以在避免失血和软组织创伤的同时取得良好的临床和功能效果。与更复杂的手术不同,仅治疗应力性骨折就足以促进骨愈合。

https://cdn.ncbi.nlm.nih.gov/pmc/blobs/4e55/10709498/efc8673a7475/gr1.jpg

文献AI研究员

20分钟写一篇综述,助力文献阅读效率提升50倍。

立即体验

用中文搜PubMed

大模型驱动的PubMed中文搜索引擎

马上搜索

文档翻译

学术文献翻译模型,支持多种主流文档格式。

立即体验