Cazacu Irina M, Singh Ben S, Martin-Paulpeter Rachael M, Beddar Sam, Chun Stephen, Holliday Emma B, Koong Albert C, Das Prajnan, Koay Eugene J, Taniguchi Cullen, Herman Joseph M, Bhutani Manoop S
Department of Oncology, Fundeni Clinical Institute, 022328 Bucharest, Romania.
Faculty of Medicine, Carol Davila University of Medicine and Pharmacy, 050474 Bucharest, Romania.
Cancers (Basel). 2023 Nov 10;15(22):5355. doi: 10.3390/cancers15225355.
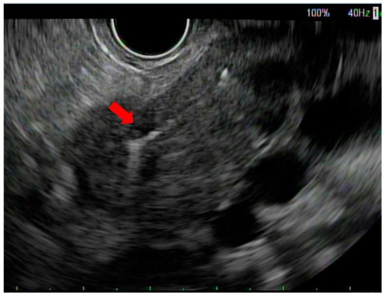
Accurate delivery of stereotactic body radiotherapy (SBRT) to pancreatic tumors relies on successful EUS-guided placement of fiducial markers. The aim of this study is to report the technical feasibility and safety of EUS-guided fiducial placement and to evaluate the characteristics and technical benefit of SBRT in a cohort of patients with pancreatic cancer (PC). A retrospective chart review was performed for all ( = 82) PC patients referred for EUS-guided fiducial placement by a single endosonographer at a tertiary cancer center. Data regarding EUS-related technical details, SBRT characteristics, adverse events, and continuous visibility of fiducials were recorded and analyzed. Most patients included in the study had either locally advanced disease (32 patients, 39%) or borderline resectable disease (29 patients, 35%). Eighty-two PC patients underwent the placement of 230 fiducial markers under EUS guidance. The technical success rate of the fiducial placement was 98%. No immediate EUS-related adverse events were reported. The average time to the simulation CT after fiducial placement was 3.1 days. Of the 216 fiducial markers used for the SBRT delivery, 202 fiducial markers were visible on both the simulation CT and the cone beam CT scan. A median dose of 40cGY was given to all the patients in five fractions. Of these, 41% of the patients reported no SBRT-related toxicities during the follow-up. Fatigue and nausea were the most reported SBRT-related toxicities, which were seen in 35% of the patients post-SBRT. Our results demonstrate that EUS-guided fiducial placement is safe and effective in target volume delineation, facilitating SBRT delivery in PC patients. Further clinical trials are needed to determine the SBRT-related survival benefits in patients with pancreatic cancer.
立体定向体部放疗(SBRT)精确投照至胰腺肿瘤依赖于在超声内镜(EUS)引导下成功放置基准标记物。本研究的目的是报告EUS引导下放置基准标记物的技术可行性和安全性,并评估SBRT在一组胰腺癌(PC)患者中的特征和技术优势。对一家三级癌症中心由一名超声内镜医师转诊进行EUS引导下放置基准标记物的所有(n = 82)PC患者进行了回顾性病历审查。记录并分析了与EUS相关的技术细节、SBRT特征、不良事件以及基准标记物的持续可视性数据。纳入研究的大多数患者患有局部晚期疾病(32例患者,39%)或临界可切除疾病(29例患者,35%)。82例PC患者在EUS引导下放置了230个基准标记物。基准标记物放置的技术成功率为98%。未报告与EUS相关的即刻不良事件。放置基准标记物后至模拟CT的平均时间为3.1天。用于SBRT投照的216个基准标记物中,202个在模拟CT和锥形束CT扫描上均可见。所有患者分五次给予中位剂量40cGY。其中,41%的患者在随访期间未报告与SBRT相关的毒性反应。疲劳和恶心是报告最多的与SBRT相关的毒性反应,在SBRT后35%的患者中出现。我们的结果表明,EUS引导下放置基准标记物在靶区勾画中安全有效,有助于PC患者接受SBRT治疗。需要进一步的临床试验来确定SBRT对胰腺癌患者的生存获益。