Department of Metabolic Control and Aging, Human Aging Research Institute and School of Life Science, Nanchang University and Jiangxi Key Laboratory of Human Aging, Nanchang, China.
Department of Aging and Vascular Diseases, Human Aging Research Institute and School of Life Science, Nanchang University and Jiangxi Key Laboratory of Human Aging, Nanchang, China.
J Cachexia Sarcopenia Muscle. 2024 Feb;15(1):173-188. doi: 10.1002/jcsm.13381. Epub 2023 Nov 27.
Handelin is a bioactive compound from Chrysanthemum indicum L. that improves motor function and muscle integrity during aging in Caenorhabditis elegans. This study aimed to further evaluate the protective effects and molecular mechanisms of handelin in a mouse muscle atrophy model induced by cachexia and aging.
A tumour necrosis factor (TNF)-α-induced atrophy model was used to examine handelin activity in cultured C2C12 myotubes in vitro. Lipopolysaccharide (LPS)-treated 8-week-old model mice and 23-month-old (aged) mice were used to examine the therapeutic effects of handelin on cachexia- and aging-induced muscle atrophy, respectively, in vivo. Protein and mRNA expressions were analysed by Western blotting, ELISA and quantitative PCR, respectively. Skeletal muscle mass was measured by histological analysis.
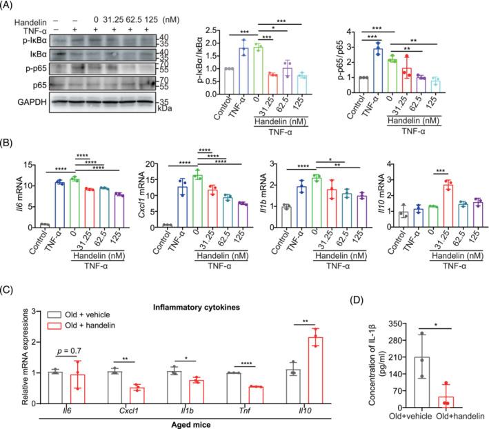
Handelin treatment resulted in an upregulation of protein levels of early (MyoD and myogenin) and late (myosin heavy chain, MyHC) differentiation markers in C2C12 myotubes (P < 0.05), and enhanced mitochondrial respiratory (P < 0.05). In TNF-α-induced myotube atrophy model, handelin maintained MyHC protein levels, increased insulin-like growth factor (Igf1) mRNA expression and phosphorylated protein kinase B protein levels (P < 0.05). Handelin also reduced atrogin-1 expression, inhibited nuclear factor-κB activation and reduced mRNA levels of interleukin (Il)6, Il1b and chemokine ligand 1 (Cxcl1) (P < 0.05). In LPS-treated mice, handelin increased body weight (P < 0.05), the weight (P < 0.01) and cross-sectional area (CSA) of the soleus muscle (P < 0.0001) and improved motor function (P < 0.05). In aged mice, handelin slightly increased the weight of the tibialis anterior muscle (P = 0.06) and CSA of the tibialis anterior and gastrocnemius muscles (P < 0.0001). In the tibialis anterior muscle of aged mice, handelin upregulated mRNA levels of Igf1 (P < 0.01), anti-inflammatory cytokine Il10 (P < 0.01), mitochondrial biogenesis genes (P < 0.05) and antioxidant-related enzymes (P < 0.05) and strengthened Sod and Cat enzyme activity (P < 0.05). Handelin also reduced lipid peroxidation and protein carbonylation, downregulated mRNA levels of Fbxo32, Mstn, Cxcl1, Il1b and Tnf (P < 0.05), and decreased IL-1β levels in serum (P < 0.05). Knockdown of Hsp70 or using an Hsp70 inhibitor abolished the ameliorating effects of handelin on myotube atrophy.
Handelin ameliorated cachexia- and aging-induced skeletal muscle atrophy in vitro and in vivo, by maintaining homeostasis of protein synthesis and degradation, possibly by inhibiting inflammation. Handelin is a potentially promising drug candidate for the treatment of muscle wasting.
菊花中的生物活性化合物 Handelin 可改善秀丽隐杆线虫衰老过程中的运动功能和肌肉完整性。本研究旨在进一步评估 Handelin 在由恶病质和衰老引起的小鼠肌肉萎缩模型中的保护作用和分子机制。
采用肿瘤坏死因子(TNF)-α诱导的萎缩模型,检测 Handelin 在体外培养的 C2C12 肌管中的活性。采用脂多糖(LPS)处理 8 周龄模型小鼠和 23 月龄(衰老)小鼠,分别在体内研究 Handelin 对恶病质和衰老引起的肌肉萎缩的治疗作用。通过 Western blot、ELISA 和定量 PCR 分别分析蛋白质和 mRNA 表达。通过组织学分析测量骨骼肌质量。
Handelin 处理可上调 C2C12 肌管中早期(MyoD 和 myogenin)和晚期(肌球蛋白重链,MyHC)分化标志物的蛋白水平(P<0.05),并增强线粒体呼吸(P<0.05)。在 TNF-α诱导的肌管萎缩模型中,Handelin 维持 MyHC 蛋白水平,增加胰岛素样生长因子(Igf1)mRNA 表达和磷酸化蛋白激酶 B 蛋白水平(P<0.05)。Handelin 还降低了 atrogin-1 的表达,抑制了核因子-κB 的激活,并降低了白细胞介素(Il)6、Il1b 和趋化因子配体 1(Cxcl1)的 mRNA 水平(P<0.05)。在 LPS 处理的小鼠中,Handelin 增加了体重(P<0.05),比目鱼肌的重量(P<0.01)和横截面积(CSA)(P<0.0001),并改善了运动功能(P<0.05)。在衰老小鼠中,Handelin 略微增加了前胫骨肌的重量(P=0.06)和前胫骨和比目鱼肌的 CSA(P<0.0001)。在前胫骨肌中,Handelin 上调了 Igf1(P<0.01)、抗炎细胞因子 Il10(P<0.01)、线粒体生物发生基因(P<0.05)和抗氧化相关酶(P<0.05)的 mRNA 水平,并增强了 Sod 和 Cat 酶活性(P<0.05)。Handelin 还降低了脂质过氧化和蛋白质羰基化,降低了 Fbxo32、Mstn、Cxcl1、Il1b 和 Tnf 的 mRNA 水平(P<0.05),并降低了血清中的 IL-1β 水平(P<0.05)。Hsp70 的敲低或使用 Hsp70 抑制剂消除了 Handelin 对肌管萎缩的改善作用。
Handelin 通过维持蛋白质合成和降解的体内平衡,在体外和体内改善了恶病质和衰老引起的骨骼肌萎缩,可能通过抑制炎症。Handelin 是一种有潜力的肌肉消耗治疗药物候选物。