Suppr超能文献

免疫功能正常的老年患者由[具体病因未给出]引起的头癣:一例病例报告及文献复习

Tinea capitis caused by in an immunocompetent elderly patient: A case report and review of literature.

作者信息

Gheisari Mehdi, Zahedi Khatere, Al-Zubaidi Nabaa

机构信息

Skin Research Center Shahid Beheshti University of Medical Sciences Tehran Iran.

Department of Dermatology, Loghman Hakim Hopsital Shahid Beheshti University of Medical Sciences Tehran Iran.

出版信息

Clin Case Rep. 2023 Nov 20;11(11):e8205. doi: 10.1002/ccr3.8205. eCollection 2023 Nov.

Abstract

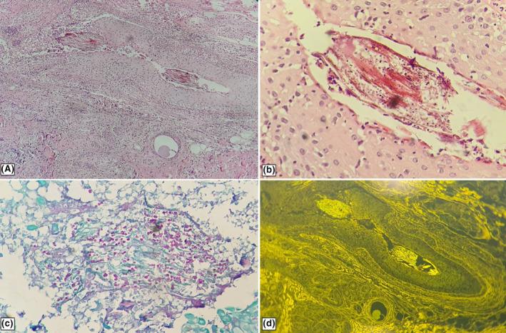
Tinea capitis is a common dermatophyte infection of the scalp in children. It is an uncommon infection in adults and usually affects postmenopausal women and immunocompromised patients. We report an immunocompetent elderly female with inflammatory tinea capitis caused by and review the literature for the past 5 years to describe the disease, its epidemiologic characteristics, dermatophyte species involved and treatment options used. The total number of cases was 11, including 8 women and 3 men, with an average age of 48.36. The most commonly isolated dermatophyte was , and most cases were treated successfully with oral terbinafine with no side effects. In our case, the diagnosis was established by direct examination, culture and histological examination. Remedy with itraconazole and prednisolone was very successful. Early diagnosis of tinea capitis in adults is necessary to provide early treatment and minimize sequelae of the disease.

摘要

头癣是儿童常见的头皮皮肤癣菌感染。在成人中它是一种不常见的感染,通常影响绝经后女性和免疫功能低下的患者。我们报告一例免疫功能正常的老年女性患炎性头癣的病例,并回顾过去5年的文献以描述该疾病、其流行病学特征、所涉及的皮肤癣菌种类及使用的治疗方案。病例总数为11例,包括8名女性和3名男性,平均年龄为48.36岁。最常分离出的皮肤癣菌是……,大多数病例口服特比萘芬治疗成功且无副作用。在我们的病例中,通过直接检查、培养和组织学检查确诊。伊曲康唑和泼尼松龙治疗非常成功。成人头癣的早期诊断对于提供早期治疗和使疾病后遗症最小化很有必要。

https://cdn.ncbi.nlm.nih.gov/pmc/blobs/7dd3/10661301/5f8d21d3ca67/CCR3-11-e8205-g002.jpg

文献AI研究员

20分钟写一篇综述,助力文献阅读效率提升50倍。

立即体验

用中文搜PubMed

大模型驱动的PubMed中文搜索引擎

马上搜索

文档翻译

学术文献翻译模型,支持多种主流文档格式。

立即体验