Suppr超能文献

小分子 HR488B 通过靶向 E2F1/Rb/HDAC1 轴有效抑制结直肠癌生长。

Targeting the E2F1/Rb/HDAC1 axis with the small molecule HR488B effectively inhibits colorectal cancer growth.

机构信息

Department of Chemistry, College of Food Science and Technology, Shanghai Ocean University, Shanghai, China.

School of Biological Science and Technology, University of Jinan, Jinan, P.R. China.

出版信息

Cell Death Dis. 2023 Dec 7;14(12):801. doi: 10.1038/s41419-023-06205-0.

Abstract

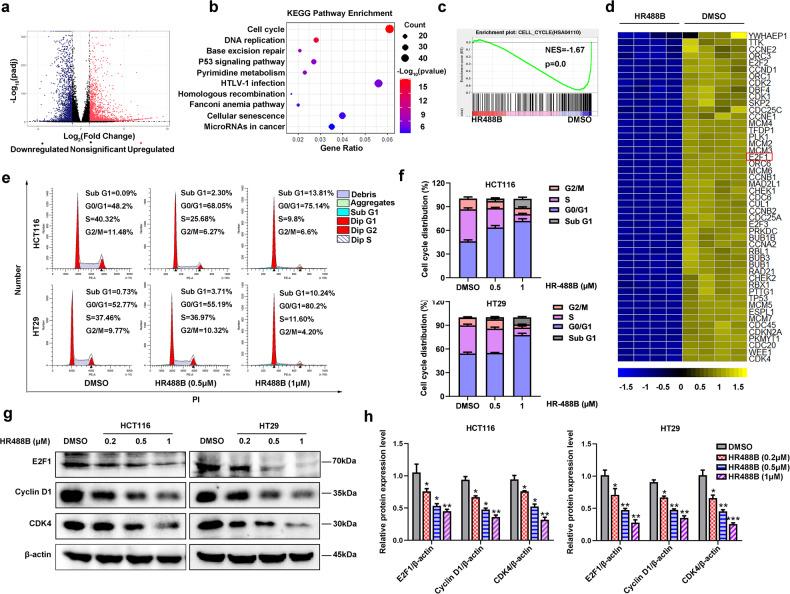
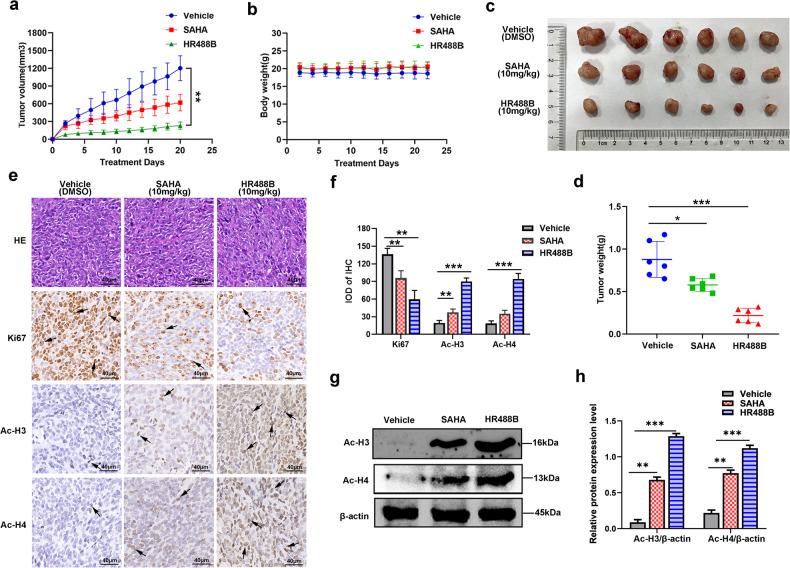
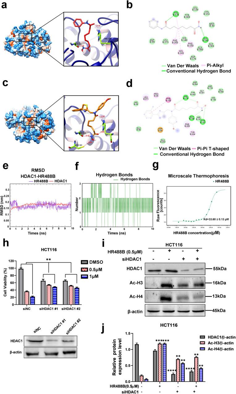
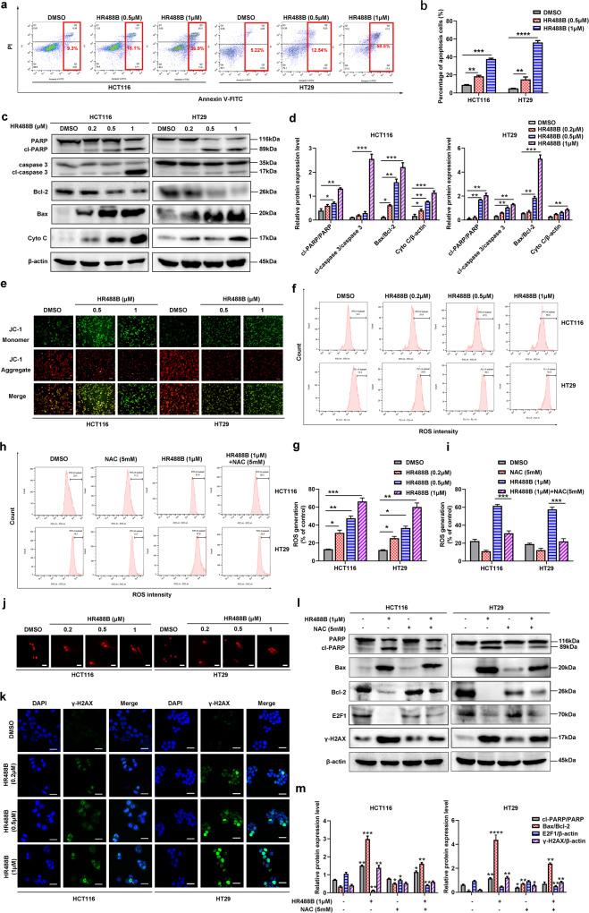
Colorectal cancer (CRC), the third most common cancer worldwide, remains highly lethal as the disease only becomes symptomatic at an advanced stage. Growing evidence suggests that histone deacetylases (HDACs), a group of epigenetic enzymes overexpressed in precancerous lesions of CRC, may represent promising molecular targets for CRC treatment. Histone deacetylase inhibitors (HDACis) have gradually become powerful anti-cancer agents targeting epigenetic modulation and have been widely used in the clinical treatment of hematologic malignancies, while only few studies on the benefit of HDACis in the treatment of CRC. In the present study, we designed a series of small-molecule Thiazole-based HDACis, among which HR488B bound to HDAC1 with a high affinity and exerted effective anti-CRC activity both in vitro and in vivo. Moreover, we revealed that HR488B specifically suppressed the growth of CRC cells by inducing cell cycle G0/G1 arrest and apoptosis via causing mitochondrial dysfunction, reactive oxygen species (ROS) generation, and DNA damage accumulation. Importantly, we noticed that HR488B significantly decreased the expression of the E2F transcription factor 1 (E2F1), which was crucial for the inhibitory effect of HR488B on CRC. Mechanistically, HR488B obviously decreased the phosphorylation level of the retinoblastoma protein (Rb), and subsequently prevented the release of E2F1 from the E2F1/Rb/HDAC1 complex, which ultimately suppressed the growth of CRC cells. Overall, our study suggests that HR488B, a novel and efficient HDAC1 inhibitor, may be a potential candidate for CRC therapy in the future. Furthermore, targeting the E2F1/Rb/HDAC1 axis with HR488B provides a promising therapeutic avenue for CRC.

摘要

结直肠癌(CRC)是全球第三大常见癌症,但由于该疾病在晚期才出现症状,因此仍然具有高度致命性。越来越多的证据表明,组蛋白去乙酰化酶(HDACs)是 CRC 癌前病变中过度表达的一组表观遗传酶,可能代表 CRC 治疗的有前途的分子靶标。组蛋白去乙酰化酶抑制剂(HDACi)已逐渐成为针对表观遗传调节的强大抗癌药物,并已广泛用于血液恶性肿瘤的临床治疗,而关于 HDACi 在 CRC 治疗中的益处的研究甚少。在本研究中,我们设计了一系列基于噻唑的小分子 HDACi,其中 HR488B 与 HDAC1 具有高亲和力,并在体外和体内均表现出有效的抗 CRC 活性。此外,我们揭示了 HR488B 通过引起线粒体功能障碍、活性氧(ROS)生成和 DNA 损伤积累,特异性抑制 CRC 细胞的生长,导致细胞周期 G0/G1 停滞和细胞凋亡。重要的是,我们注意到 HR488B 显著降低了 E2F 转录因子 1(E2F1)的表达,这对于 HR488B 对 CRC 的抑制作用至关重要。从机制上讲,HR488B 明显降低了视网膜母细胞瘤蛋白(Rb)的磷酸化水平,随后阻止 E2F1 从 E2F1/Rb/HDAC1 复合物中释放,最终抑制了 CRC 细胞的生长。总的来说,我们的研究表明,新型有效的 HDAC1 抑制剂 HR488B 可能成为未来 CRC 治疗的潜在候选药物。此外,用 HR488B 靶向 E2F1/Rb/HDAC1 轴为 CRC 提供了一种有前途的治疗途径。

https://cdn.ncbi.nlm.nih.gov/pmc/blobs/5b2a/10703885/b72f114d50bf/41419_2023_6205_Fig1_HTML.jpg

文献AI研究员

20分钟写一篇综述,助力文献阅读效率提升50倍。

立即体验

用中文搜PubMed

大模型驱动的PubMed中文搜索引擎

马上搜索

文档翻译

学术文献翻译模型,支持多种主流文档格式。

立即体验