Suppr超能文献

顺铂化疗后尿路上皮癌自发性主动脉血栓的管理:一例报告

Management of Spontaneous Aortic Thrombus Following Cisplatin-Based Chemotherapy in Urothelial Cancer: A Case Report.

作者信息

Zheng Victoria Meijia, Linn Yun Le, Ch'ng Jack Kian, Chng Siew Ping

机构信息

Yong Loo Lin School of Medicine, National University of Singapore, Singapore.

Department of Vascular Surgery, Singapore General Hospital, Singapore.

出版信息

Vasc Specialist Int. 2023 Dec 18;39:40. doi: 10.5758/vsi.230091.

Abstract

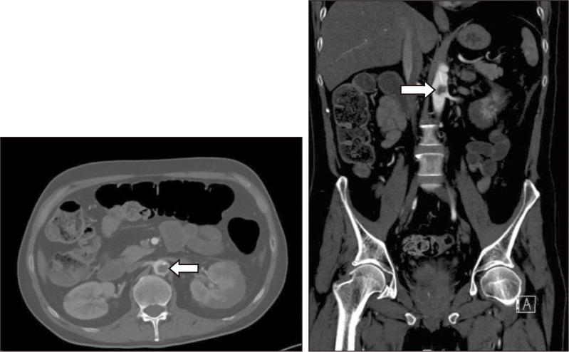
Spontaneous aortic thrombosis is exceedingly rare, and optimal treatment remains uncertain. We present an unusual case of a spontaneous aortic thrombus at the renal artery level in a patient undergoing active cisplatin treatment for urothelial carcinoma. Management included catheter-directed thrombolysis followed by thrombectomy. An open cutdown was performed on the left common femoral artery (CFA), with right groin access via a 6-Fr sheath. Clamping of the left superficial and deep femoral arteries, along with balloon occlusion of the right common iliac artery, prevented distal embolization. A Coda balloon introduced via direct left CFA puncture with a 20-Fr sheath was positioned above the aortic thrombus. After inflation, clots were trawled to the sheath, "sandwiching" the clots before removal of the balloon and sheath via the left groin. Post-operatively, the patient recovered well and received continued therapeutic anticoagulation.

摘要

自发性主动脉血栓形成极为罕见,最佳治疗方法仍不明确。我们报告了一例不寻常的病例,一名正在接受顺铂治疗尿路上皮癌的患者在肾动脉水平出现自发性主动脉血栓。治疗措施包括导管定向溶栓,随后进行血栓切除术。在左股总动脉(CFA)进行开放切开,通过一个6F鞘管进入右腹股沟。夹闭左股浅动脉和股深动脉,同时球囊封堵右髂总动脉,防止远端栓塞。通过直接经20F鞘管穿刺左CFA引入的Coda球囊置于主动脉血栓上方。球囊充气后,将血栓拖至鞘管,在通过左腹股沟移除球囊和鞘管之前对血栓进行“夹取”。术后,患者恢复良好,并继续接受抗凝治疗。

https://cdn.ncbi.nlm.nih.gov/pmc/blobs/fdb8/10727851/0e1e0f824460/vsi-39-40-f1.jpg

文献AI研究员

20分钟写一篇综述,助力文献阅读效率提升50倍。

立即体验

用中文搜PubMed

大模型驱动的PubMed中文搜索引擎

马上搜索

文档翻译

学术文献翻译模型,支持多种主流文档格式。

立即体验