Suppr超能文献

双子宫解剖结构中绒毛膜癌导致的子宫穿孔:一次难以捉摸的遭遇。

Choriocarcinoma-Driven Uterine Perforation in a Bicornuate Anatomy: An Elusive Encounter.

作者信息

Modi Maoulik Kumar P, Jasani Garima A, Raithatha Nitin S, Suthar Pokhraj P

机构信息

Radiology, Parul Institute of Medical Sciences and Research, Vadodara, IND.

Radiology, Citi Neuro Centre, Hyderabad, IND.

出版信息

Cureus. 2023 Nov 15;15(11):e48841. doi: 10.7759/cureus.48841. eCollection 2023 Nov.

Abstract

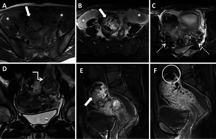
Choriocarcinoma, an aggressive gestational trophoblastic disease, infrequently manifests with spontaneous uterine perforation. We report the case of a 22-year-old female with five months of amenorrhea presenting with acute abdominal pain. Ultrasound and MRI assessment highlighted a uterine perforation with choriocarcinoma. Subsequent total abdominal hysterectomy revealed choriocarcinoma in the bicornuate uterus with uterine perforation. Histopathological analysis confirmed the diagnosis of choriocarcinoma in the cornu of the uterus. Timely diagnosis is vital to reduce mortality. Notably, choriocarcinoma in a bicornuate uterus is exceptionally rare. Radiological evaluations are critical for diagnosis, staging, and follow-up.

摘要

绒毛膜癌是一种侵袭性妊娠滋养细胞疾病,很少表现为自发性子宫穿孔。我们报告一例22岁女性,停经5个月,出现急性腹痛。超声和磁共振成像评估显示子宫穿孔合并绒毛膜癌。随后的全腹子宫切除术显示双角子宫绒毛膜癌伴子宫穿孔。组织病理学分析证实子宫角部为绒毛膜癌。及时诊断对于降低死亡率至关重要。值得注意的是,双角子宫绒毛膜癌极为罕见。影像学评估对诊断、分期及随访至关重要。

https://cdn.ncbi.nlm.nih.gov/pmc/blobs/091f/10723019/d0a77cc76742/cureus-0015-00000048841-i01.jpg

相似文献

1
Choriocarcinoma-Driven Uterine Perforation in a Bicornuate Anatomy: An Elusive Encounter.
Cureus. 2023 Nov 15;15(11):e48841. doi: 10.7759/cureus.48841. eCollection 2023 Nov.
2
Case Report: Spontaneous perforation of a bicornuate uterus with concomitant sarcoma.
F1000Res. 2020 Sep 16;9:1143. doi: 10.12688/f1000research.25961.2. eCollection 2020.
3
Acute abdomen as initial presentation of gestational choriocarcinoma.
Arch Gynecol Obstet. 2009 Nov;280(5):859-62. doi: 10.1007/s00404-009-0968-5. Epub 2009 Mar 15.
6
Successful pregnancy after localized resection of perforated uterus in choriocarcinoma and a literature review.
Int J Gynecol Cancer. 2006 Jan-Feb;16 Suppl 1:445-8. doi: 10.1111/j.1525-1438.2006.00367.x.
7
Choriocarcinoma following term pregnancy--a case report.
Ann Acad Med Singap. 1989 Nov;18(6):724-6.
10
A Rare Case of Gestational Choriocarcinoma Presenting as Cornual Ectopic Pregnancy.
J Obstet Gynaecol Can. 2018 Mar;40(3):351-353. doi: 10.1016/j.jogc.2017.08.009. Epub 2017 Oct 12.

引用本文的文献

1
Spontaneous Rupture of a Non-scarring Gravid Uterus: A Late and Haphazard Diagnosis in the Postpartum Period.
Cureus. 2024 Aug 7;16(8):e66368. doi: 10.7759/cureus.66368. eCollection 2024 Aug.

本文引用的文献

1
Case Report: Spontaneous perforation of a bicornuate uterus with concomitant sarcoma.
F1000Res. 2020 Sep 16;9:1143. doi: 10.12688/f1000research.25961.2. eCollection 2020.
2
A Pictorial Ultrasound Essay of Gestational Trophoblastic Disease.
J Ultrasound Med. 2020 Mar;39(3):597-613. doi: 10.1002/jum.15119. Epub 2019 Aug 29.
3
Update on the diagnosis and management of gestational trophoblastic disease.
Int J Gynaecol Obstet. 2018 Oct;143 Suppl 2:79-85. doi: 10.1002/ijgo.12615.
4
Invasive molar pregnancy in rudimentary uterine horn.
J Exp Ther Oncol. 2018 May;12(3):207-210.
5
Endometrial carcinoma in a single horn of a bicornuate uterus: A case report.
J Egypt Natl Canc Inst. 2018 Jun;30(2):81-83. doi: 10.1016/j.jnci.2018.04.003. Epub 2018 May 17.
6
[Uterine Rupture at 18 Weeks of Pregnancy in the Context of Malformed Uterus].
Acta Med Port. 2016 Oct;29(10):667-670. doi: 10.20344/amp.7150. Epub 2016 Oct 31.
7
Gestational Trophoblastic Disease and Choriocarcinoma.
Ultrasound Q. 2015 Sep;31(3):221-3. doi: 10.1097/RUQ.0000000000000155.
8
Gestational choriocarcinoma with uterine serosal metastasis mimicking ruptured ectopic pregnancy: A case report.
Oncol Lett. 2015 May;9(5):2185-2188. doi: 10.3892/ol.2015.2999. Epub 2015 Mar 2.
10
Radiology of gestational trophoblastic neoplasia.
Clin Radiol. 2006 Apr;61(4):301-13. doi: 10.1016/j.crad.2005.12.003.

文献AI研究员

20分钟写一篇综述,助力文献阅读效率提升50倍。

立即体验

用中文搜PubMed

大模型驱动的PubMed中文搜索引擎

马上搜索

文档翻译

学术文献翻译模型,支持多种主流文档格式。

立即体验