• 文献检索
  • 文档翻译
  • 深度研究
  • 学术资讯
  • Suppr Zotero 插件Zotero 插件
  • 邀请有礼
  • 套餐&价格
  • 历史记录
应用&插件
Suppr Zotero 插件Zotero 插件浏览器插件Mac 客户端Windows 客户端微信小程序
定价
高级版会员购买积分包购买API积分包
服务
文献检索文档翻译深度研究API 文档MCP 服务
关于我们
关于 Suppr公司介绍联系我们用户协议隐私条款
关注我们

Suppr 超能文献

核心技术专利:CN118964589B侵权必究
粤ICP备2023148730 号-1Suppr @ 2026

文献检索

告别复杂PubMed语法,用中文像聊天一样搜索,搜遍4000万医学文献。AI智能推荐,让科研检索更轻松。

立即免费搜索

文件翻译

保留排版,准确专业,支持PDF/Word/PPT等文件格式,支持 12+语言互译。

免费翻译文档

深度研究

AI帮你快速写综述,25分钟生成高质量综述,智能提取关键信息,辅助科研写作。

立即免费体验

以巨大胆汁瘤为首发表现的胆囊穿孔:1例病例报告及文献复习

Large biloma as the initial presentation of gallbladder perforation: a case report and literature review.

作者信息

Limani Nimetula, Misimi Shqipe, Nikolovski Andrej

机构信息

Department of Visceral Surgery, University Surgery Hospital "St. Naum Ohridski", Bul. 11 Oktomvri 53, 1000 Skopje, North Macedonia.

Medical Faculty, Ss. Cyril and Methodius University in Skopje, Ul. 50 divizja, 6. 1000 Skopje, North Macedonia.

出版信息

J Surg Case Rep. 2023 Dec 16;2023(12):rjad669. doi: 10.1093/jscr/rjad669. eCollection 2023 Dec.

DOI:10.1093/jscr/rjad669
PMID:38111498
原文链接:https://pmc.ncbi.nlm.nih.gov/articles/PMC10725823/
Abstract

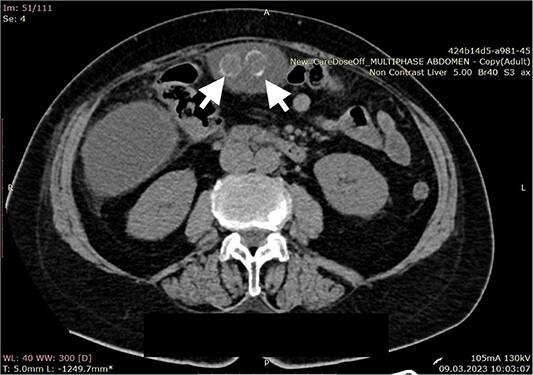
Biloma is an encapsulated intra or extra-hepatic collection of bile after biliary tree trauma. Post-procedural and traumatic biliary damage are the most common etiologic causes. Gallbladder perforation due to acute cholecystitis rarely presents with biloma occurrence. We present a case of large extrahepatic biloma formation as a consequence of a perforated gallbladder.

摘要

胆汁瘤是胆道树创伤后肝内或肝外包裹性胆汁积聚。术后及创伤性胆道损伤是最常见的病因。急性胆囊炎所致胆囊穿孔很少导致胆汁瘤形成。我们报告一例因胆囊穿孔导致肝外巨大胆汁瘤形成的病例。

https://cdn.ncbi.nlm.nih.gov/pmc/blobs/521e/10725823/aaaca2c984c8/rjad669f4.jpg
https://cdn.ncbi.nlm.nih.gov/pmc/blobs/521e/10725823/5c0de2d807a0/rjad669f1.jpg
https://cdn.ncbi.nlm.nih.gov/pmc/blobs/521e/10725823/66dfe9d2b417/rjad669f2.jpg
https://cdn.ncbi.nlm.nih.gov/pmc/blobs/521e/10725823/9f32ec53b67a/rjad669f3.jpg
https://cdn.ncbi.nlm.nih.gov/pmc/blobs/521e/10725823/aaaca2c984c8/rjad669f4.jpg
https://cdn.ncbi.nlm.nih.gov/pmc/blobs/521e/10725823/5c0de2d807a0/rjad669f1.jpg
https://cdn.ncbi.nlm.nih.gov/pmc/blobs/521e/10725823/66dfe9d2b417/rjad669f2.jpg
https://cdn.ncbi.nlm.nih.gov/pmc/blobs/521e/10725823/9f32ec53b67a/rjad669f3.jpg
https://cdn.ncbi.nlm.nih.gov/pmc/blobs/521e/10725823/aaaca2c984c8/rjad669f4.jpg

相似文献

1
Large biloma as the initial presentation of gallbladder perforation: a case report and literature review.以巨大胆汁瘤为首发表现的胆囊穿孔:1例病例报告及文献复习
J Surg Case Rep. 2023 Dec 16;2023(12):rjad669. doi: 10.1093/jscr/rjad669. eCollection 2023 Dec.
2
A giant and insidious subphrenic biloma formation due to gallbladder perforation mimicking biliary cystic tumor: A case report.胆囊穿孔导致巨大隐匿性膈下胆汁瘤形成,酷似胆囊囊性肿瘤:一例报告
Mol Clin Oncol. 2017 Jan;6(1):71-74. doi: 10.3892/mco.2016.1075. Epub 2016 Nov 8.
3
Hepatic Biloma肝胆汁瘤
4
Cholecystitis with abdominal wall biloma after percutaneous transhepatic gallbladder aspiration: A case report.经皮经肝胆囊穿刺抽吸术后胆囊炎合并腹壁胆汁瘤:一例报告
Int J Surg Case Rep. 2020;75:276-278. doi: 10.1016/j.ijscr.2020.09.108. Epub 2020 Sep 18.
5
Biloma: A Rare Manifestation of Spontaneous Bile Leak.胆汁瘤:自发性胆汁漏的一种罕见表现。
Cureus. 2020 May 14;12(5):e8116. doi: 10.7759/cureus.8116.
6
[A case of spontaneous biloma complicated with choledocholithiasis and chronic cholecystitis].[一例自发性胆汁瘤合并胆总管结石及慢性胆囊炎]
Korean J Gastroenterol. 2005 Aug;46(2):133-6.
7
Subcapsular Biloma following Endoscopic Retrograde Cholangiopancreatography and Endoscopic Biliary Sphincterotomy: A Case Report with a Mini Review of Literature.内镜逆行胰胆管造影术和内镜下胆管括约肌切开术后的包膜下胆汁瘤:一例病例报告及文献综述
Diagnostics (Basel). 2023 Feb 22;13(5):831. doi: 10.3390/diagnostics13050831.
8
Spontaneous retroperitoneal biloma in a patient with choledocholithiasis: Presentation of case.胆总管结石患者自发性腹膜后胆汁瘤:病例报告
Int J Surg Case Rep. 2023 May;106:108170. doi: 10.1016/j.ijscr.2023.108170. Epub 2023 Apr 11.
9
A Rare Case of Extended Retroperitoneal Biloma Due to Spontaneous Perforation of Common Bile Duct, Mimicking a Strangulated Right Inguinal Hernia: A Case Report and Literature Review.罕见病例报告:因胆总管自发性穿孔导致的延伸性腹膜后胆汁瘤,酷似绞窄性右侧腹股沟疝:病例报告及文献复习。
Am J Case Rep. 2022 Jun 27;23:e936255. doi: 10.12659/AJCR.936255.
10
Giant biloma as a result of a blunt abdominal trauma: A case report.钝性腹部创伤导致的巨大胆汁瘤:一例报告。
Rev Esp Enferm Dig. 2015 Dec;107(12):768-9. doi: 10.17235/reed.2015.3886/2015.

本文引用的文献

1
A Case of Candidal Infection of Large Biloma After CT-Guided Liver Biopsy Confirming Autoimmune Hepatitis.1例CT引导下肝穿刺活检确诊自身免疫性肝炎后发生巨大胆汁瘤念珠菌感染的病例。
Cureus. 2020 Oct 20;12(10):e11059. doi: 10.7759/cureus.11059.
2
A Rare Case Report of Biloma After Cholecystectomy.胆囊切除术后胆汁瘤一例罕见病例报告
Cureus. 2019 Aug 22;11(8):e5459. doi: 10.7759/cureus.5459.
3
Non postoperative biloma in Mauritania: case report and literature review.毛里塔尼亚非术后胆汁瘤:病例报告及文献综述
Pan Afr Med J. 2018 Dec 20;31:237. doi: 10.11604/pamj.2018.31.237.17607. eCollection 2018.
4
Incidence and management of postoperative bile leaks: A prospective cohort analysis of 467 liver resections.术后胆漏的发生率及处理:467例肝切除术的前瞻性队列分析
S Afr J Surg. 2016 Sep;54(3):18-22.
5
A giant and insidious subphrenic biloma formation due to gallbladder perforation mimicking biliary cystic tumor: A case report.胆囊穿孔导致巨大隐匿性膈下胆汁瘤形成,酷似胆囊囊性肿瘤:一例报告
Mol Clin Oncol. 2017 Jan;6(1):71-74. doi: 10.3892/mco.2016.1075. Epub 2016 Nov 8.
6
Posttraumatic Intrahepatic Bilioma.创伤后肝内胆汁瘤
Indian J Surg. 2015 Dec;77(Suppl 3):1399-400. doi: 10.1007/s12262-014-1071-0. Epub 2014 Apr 20.
7
Spontaneous biloma: a case report.自发性胆汁瘤:一例报告
J Ultrasound. 2013 Nov 12;18(3):293-6. doi: 10.1007/s40477-013-0053-6. eCollection 2015 Sep.
8
Subcapsular liver biloma due to gallbladder perforation after acute cholecystitis.急性胆囊炎后胆囊穿孔导致的肝包膜下胆汁瘤
J Dig Dis. 2011 Oct;12(5):412-4. doi: 10.1111/j.1751-2980.2011.00523.x.
9
Gallbladder perforation with formation of hepatic subcapsular biloma, treated with endoscopic nasobiliary drainage.胆囊穿孔并形成肝包膜下胆汁瘤,采用内镜鼻胆管引流术治疗。
Endoscopy. 2010;42 Suppl 2:E206-7. doi: 10.1055/s-0030-1255709. Epub 2010 Sep 15.
10
An unusual presentation of biloma five years following cholecystectomy: a case report.胆囊切除术后五年胆汁瘤的罕见表现:一例病例报告
Cases J. 2009 Sep 10;2:8048. doi: 10.1186/1757-1626-0002-0000008048.