Suppr超能文献

1例潜伏性肿瘤患者接种新冠病毒疫苗后的罕见不良反应:病例报告及文献综述

A rare adverse effects of COVID-19 vaccine in a patient with a latent tumor: A case report and literature review.

作者信息

Xu Wenjing, Nian Weiqi

机构信息

Department of Oncology, Chongqing Hospital of Traditional Chinese Medicine, Chongqing, China.

出版信息

Front Oncol. 2023 Dec 5;13:1269735. doi: 10.3389/fonc.2023.1269735. eCollection 2023.

Abstract

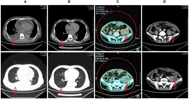
The 2019 novel coronavirus infection has done significant damage to the world. The effectiveness and safety of the vaccine, the most critical measure to control the epidemic, has attracted attention. In this case, we report the diagnosis and treatment of a rare patient with adverse effects of the COVID-19 vaccine who had G6PD deficiency by genetic tests. We discuss the possible impact of G6PD deficiency on COVID-19 infection and potential vaccine adverse effects. Patients with severe G6PD deficiency should be monitored for vaccine safety. This article may complement a rare mechanism of vaccine side effects and chemotherapy-related side effects.

摘要

2019新型冠状病毒感染给世界造成了重大破坏。疫苗作为控制疫情的最关键措施,其有效性和安全性备受关注。在此情况下,我们报告了1例经基因检测确诊为葡萄糖-6-磷酸脱氢酶(G6PD)缺乏症的新型冠状病毒肺炎(COVID-19)疫苗不良反应罕见患者的诊疗情况。我们探讨了G6PD缺乏症对COVID-19感染及潜在疫苗不良反应的可能影响。对于严重G6PD缺乏症患者,应监测疫苗安全性。本文可能补充了一种罕见的疫苗副作用及化疗相关副作用机制。

https://cdn.ncbi.nlm.nih.gov/pmc/blobs/7e77/10728639/60b1586055ca/fonc-13-1269735-g001.jpg

文献AI研究员

20分钟写一篇综述,助力文献阅读效率提升50倍。

立即体验

用中文搜PubMed

大模型驱动的PubMed中文搜索引擎

马上搜索

文档翻译

学术文献翻译模型,支持多种主流文档格式。

立即体验