Suppr超能文献

L-瓜氨酸对急性离心运动后骨骼肌损伤的剂量反应效应:一项在小鼠中的研究。

Dose-response effect of L-citrulline on skeletal muscle damage after acute eccentric exercise: an study in mice.

机构信息

Department of Anatomy and Embryology, Universitas Sebelas Maret, Surakarta, Central Java, Indonesia.

Doctoral Program of Medical Sciences, Faculty of Medicine, Universitas Sebelas Maret, Surakarta, Central Java, Indonesia.

出版信息

PeerJ. 2023 Dec 18;11:e16684. doi: 10.7717/peerj.16684. eCollection 2023.

Abstract

BACKGROUND

Eccentric exercise may trigger mechanical stress, resulting in muscle damage that may decrease athletic performance. L-citrulline potentially prevents skeletal muscle damage after acute eccentric exercise. This study aimed to assess the dose-response effect of L-citrulline as a preventive therapy for skeletal muscle damage in mice after acute eccentric exercise.

METHODS

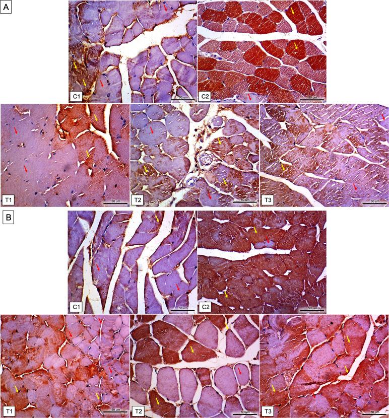
This is a controlled laboratory study with a post-test-only design. Male mice (BALB/c,  = 25) were randomized into the following groups: a normal control (C1) ( = 5); a negative control (C2) with downhill running and placebo intervention ( = 5); treatment groups: T1 ( = 5), T2 ( = 5), and T3 ( = 5), were subjected to downhill running and 250, 500, and 1,000 mg/kg of L-citrulline, respectively, for seven days. Blood plasma was used to determine the levels of TNNI2 and gastrocnemius muscle tissue NOX2, IL-6, and caspase 3 using ELISA. NF-κB and HSP-70 expressions were determined by immunohistochemistry.

RESULTS

Skeletal muscle damage (plasma TNNI2 levels) in mice after eccentric exercise was lower after 250 and 500 mg/kg of L-citrulline. Further, changes in oxidative stress markers, NOX2, were reduced after a 1,000 mg/kg dose. However, a lower level of change has been observed in levels of cellular response markers (NF-κB, HSP-70, IL-6, and caspase 3) after administration of L-citrulline doses of 250, 500, and 1,000 mg/kg.

CONCLUSION

L-citrulline may prevent skeletal muscle damage in mice after acute eccentric exercise through antioxidant effects as well as inflammatory and apoptotic pathways. In relation to dose-related effects, it was found that L-citrulline doses of 250, 500, and 1,000 mg/kg significantly influenced the expression of NF-κB and HSP-70, as well as the levels of IL-6 and caspase 3. Meanwhile, only doses of 250 and 500 mg/kg had an impact on TNNI2 levels, and the 1,000 mg/kg dose affected NOX2 levels.

摘要

背景

离心运动可能会引发机械应激,导致肌肉损伤,从而降低运动表现。L-瓜氨酸可能会预防急性离心运动后骨骼肌损伤。本研究旨在评估 L-瓜氨酸作为急性离心运动后预防小鼠骨骼肌损伤的预防治疗的剂量反应效应。

方法

这是一项具有后测设计的对照实验室研究。雄性小鼠(BALB/c,n=25)被随机分为以下几组:正常对照组(C1)(n=5);下坡跑和安慰剂干预的阴性对照组(C2)(n=5);治疗组:T1(n=5)、T2(n=5)和 T3(n=5)分别接受下坡跑和 250、500 和 1000mg/kg 的 L-瓜氨酸,共七天。使用 ELISA 法测定血浆 TNNI2 水平和腓肠肌组织 NOX2、IL-6 和 caspase 3 水平。通过免疫组织化学法测定 NF-κB 和 HSP-70 的表达。

结果

离心运动后小鼠的骨骼肌损伤(血浆 TNNI2 水平)在 250 和 500mg/kg 的 L-瓜氨酸后较低。进一步的,1000mg/kg 剂量的 NOX2 氧化应激标志物的变化减少。然而,在给予 250、500 和 1000mg/kg 的 L-瓜氨酸剂量后,细胞反应标志物(NF-κB、HSP-70、IL-6 和 caspase 3)的水平变化较低。

结论

L-瓜氨酸可能通过抗氧化作用以及炎症和细胞凋亡途径预防急性离心运动后小鼠的骨骼肌损伤。关于剂量相关效应,发现 250、500 和 1000mg/kg 的 L-瓜氨酸剂量显著影响 NF-κB 和 HSP-70 的表达以及 IL-6 和 caspase 3 的水平。同时,只有 250 和 500mg/kg 的剂量对 TNNI2 水平有影响,而 1000mg/kg 的剂量对 NOX2 水平有影响。

https://cdn.ncbi.nlm.nih.gov/pmc/blobs/c02f/10734431/46be982489ac/peerj-11-16684-g001.jpg

文献AI研究员

20分钟写一篇综述,助力文献阅读效率提升50倍。

立即体验

用中文搜PubMed

大模型驱动的PubMed中文搜索引擎

马上搜索

文档翻译

学术文献翻译模型,支持多种主流文档格式。

立即体验