Álvarez Pérez Luis F, Vila Salvador
Department of Medicine, University of Puerto Rico, Medical Sciences Campus, San Juan, PRI.
Cureus. 2023 Nov 25;15(11):e49386. doi: 10.7759/cureus.49386. eCollection 2023 Nov.
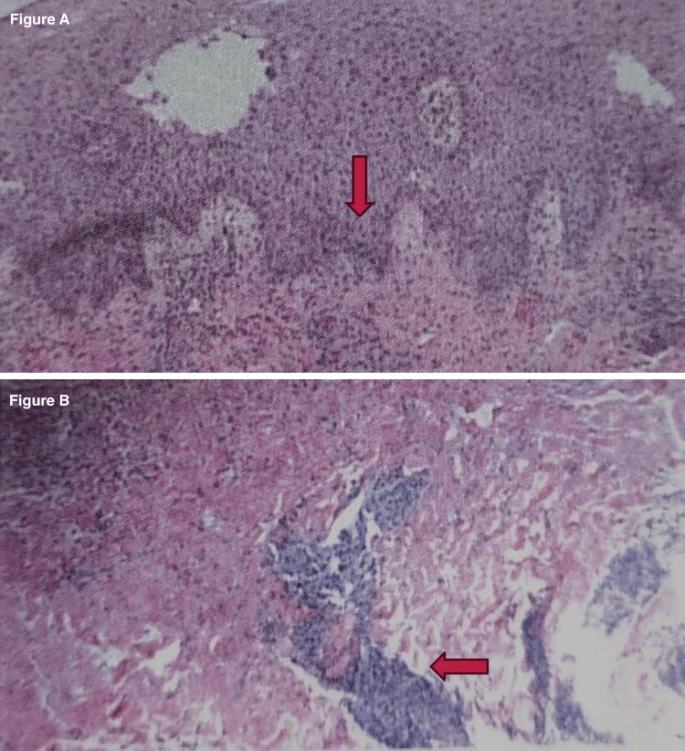
Behcet's disease (BD) and pyoderma gangrenosum (PG) are rare autoimmune inflammatory diseases that have been reported to relapse following COVID-19 infection. BD is a multisystemic syndrome that may involve multiple body organs. PG is a skin disease that can be a part of the skin involvement of BD. We report a 33-year-old woman with BD and PG who developed headaches, arthralgias, and rapidly progressive painful skin ulcers after COVID-19. She had not complained about BD or PG symptoms for two years prior to admission. Treatment at admission comprised infliximab 560 mg every eight weeks, azathioprine 50 mg daily, and low-dose aspirin. Due to the suspicion of neuro BD and the rapid appearance and progression of the ulcers, she was treated with intravenous (IV) methylprednisolone 1000 mg daily three times followed by prednisone at 1 mg/kg/day. Azathioprine was increased to 100 mg bid. Local ulcer care was provided. She was discharged home on the eighth hospital day. The arthralgias were completely gone, and the headaches and skin ulcers had improved. Six months after discharge, she was off prednisone and continued infliximab and azathioprine. She had no headaches or joint pains, and the ulcers had completely healed. One year after admission, BD and PG signs and symptoms had completely disappeared. This case highlights the importance of recognizing that autoimmune diseases may exacerbate COVID-19. Timely management is crucial to prevent complications and morbidity. To our knowledge, this is a rare case report describing BD and PG exacerbation following COVID-19.
白塞病(BD)和坏疽性脓皮病(PG)是罕见的自身免疫性炎症性疾病,据报道在感染新型冠状病毒肺炎(COVID-19)后会复发。白塞病是一种多系统综合征,可能累及多个身体器官。坏疽性脓皮病是一种皮肤病,可能是白塞病皮肤受累的一部分。我们报告一名33岁患有白塞病和坏疽性脓皮病的女性,在感染COVID-19后出现头痛、关节痛和迅速进展的疼痛性皮肤溃疡。入院前两年她没有白塞病或坏疽性脓皮病的症状。入院时的治疗包括每八周注射560毫克英夫利昔单抗、每日服用50毫克硫唑嘌呤和低剂量阿司匹林。由于怀疑神经白塞病以及溃疡迅速出现和进展,她接受了每日三次静脉注射1000毫克甲泼尼龙,随后以1毫克/千克/天的剂量服用泼尼松。硫唑嘌呤增加至每日两次,每次100毫克。提供了局部溃疡护理。她在住院第八天出院回家。关节痛完全消失,头痛和皮肤溃疡有所改善。出院六个月后,她停用了泼尼松,继续使用英夫利昔单抗和硫唑嘌呤。她没有头痛或关节疼痛,溃疡已完全愈合。入院一年后,白塞病和坏疽性脓皮病的体征和症状完全消失。本病例强调了认识到自身免疫性疾病可能会使COVID-19病情加重的重要性。及时管理对于预防并发症和发病至关重要。据我们所知,这是一份罕见的病例报告,描述了COVID-19后白塞病和坏疽性脓皮病的病情加重情况。