Suppr超能文献

一名慢性血液透析患者的肾上腺脓肿:病例报告

Adrenal Abscess in a Chronic Hemodialysis Patient: A Case Report.

作者信息

Khouchoua Selma, Imrani Kaoutar, Iraqi Houssaini Zaynab, Moatassim Billah Nabil, Nassar Ittimade

机构信息

Radiology Department, Ibn Sina University Hospital, Mohamed V University, Rabat, MAR.

Radiology Department, Ibn Sina University Hospital, Mohammed V University, Rabat, MAR.

出版信息

Cureus. 2023 Nov 27;15(11):e49497. doi: 10.7759/cureus.49497. eCollection 2023 Nov.

Abstract

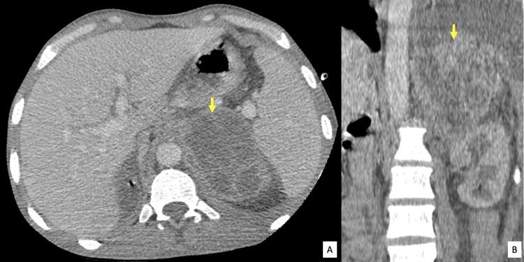
Adrenal gland abscesses are rare lesions usually reported to be caused by fungal pathogens and typically through hematogenous spread from other primary sources of infection. Imaging has always been known to play a major role in the characterization of focal adrenal lesions. However, given the rare occurrence of abscesses in this location, making the right diagnosis remains challenging. We report the case of a 39-year-old man with chronic renal disease on hemodialysis presenting with signs of sepsis and left upper quadrant pain revealing a left adrenal gland abscess.

摘要

肾上腺脓肿是罕见的病变,通常据报道是由真菌病原体引起的,并且通常是通过血行播散来自其他原发性感染源。影像学一直被认为在局灶性肾上腺病变的特征性诊断中起主要作用。然而,鉴于该部位脓肿的罕见性,做出正确诊断仍然具有挑战性。我们报告了一例39岁接受血液透析的慢性肾病男性患者,其出现败血症体征和左上腹疼痛,检查发现左侧肾上腺脓肿。

https://cdn.ncbi.nlm.nih.gov/pmc/blobs/59fd/10752341/380c961f980d/cureus-0015-00000049497-i01.jpg

文献AI研究员

20分钟写一篇综述,助力文献阅读效率提升50倍。

立即体验

用中文搜PubMed

大模型驱动的PubMed中文搜索引擎

马上搜索

文档翻译

学术文献翻译模型,支持多种主流文档格式。

立即体验