Suppr超能文献

接受生物整合螺钉治疗 Lisfranc 损伤患者的短期随访:病例系列

Short-term Follow-up of Patients Receiving Bio-integrative Screws for Lisfranc Injuries: A Case Series.

作者信息

Ebrahimi Alireza, Sohn Sora, Lucaciu Andreea, Ashkani-Esfahani Soheil, Waryasz Gregory

机构信息

Foot and Ankle Research and Innovation Lab, Department of Orthopaedic Surgery, Massachusetts General Hospital, Harvard Medical School, Boston, Massachusetts.

Foot and Ankle Service, Department of Orthopaedic Surgery, Massachusetts General Hospital, Harvard Medical School, Boston, Massachusetts.

出版信息

J Orthop Case Rep. 2023 Dec;13(12):34-39. doi: 10.13107/jocr.2023.v13.i12.4068.

Abstract

INTRODUCTION

Various methods are used for open reduction and internal fixation of Lisfranc injuries, and each shows different post-treatment outcomes. Other than the common post-surgery problems in these patients, including possible non-anatomical reduction, implant loosening, breakage, and arthritis, most of these patients will undergo a second surgery for implant removal which itself might cause further complications. To reduce the need for re-operation, bio-degradable or bio-integrative implants can be promising; however, the short- and long-term outcomes have been scarcely investigated to date.

CASE REPORT

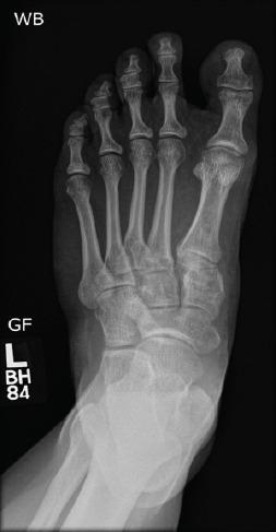
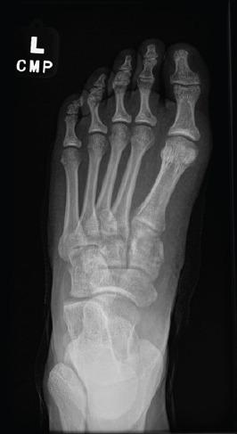
We followed up 10 adult patients who received bio-integrative screws for Lisfranc injuries. The patients were asked to fill out the patient-reported outcome measures (PROMs) surveys during one of the follow-up visits. We gathered variables including the type of injury, pain score, and PROMs including physical function (PF), pain interference, pain intensity, and depression. We evaluated the patients for wound dehiscence, non-union, and hardware failure. The median (interquartile range [IQR]) follow-up time of the patients in this study was 9 (4-11.5) months. Nine out of 10 patients with Lisfranc injuries who received bio-integrative screws showed improvements in their pain scores and started progressive weight-bearing. Among 3 patients who had sport-related Lisfranc injuries, 2 returned to play in <6 months, and one started side-to-side agility work in <3 months. The median (IQR) scores of PROMs representing PF, depression, physical health, mental health, pain interference, and pain intensity were 49.5 (30.1-61.9), 41 (41-49), 50.8 (39.2-57.7), 59 (48.9-63.7), 51.7 (41.6-72.6), and 43.5 (37.8-55.2), respectively.

CONCLUSION

Our results demonstrated promising short-term outcomes of using bio-integrative screws in patients with Lisfranc injuries based on PROMs and the rate of complications. Future studies on larger populations and more comprehensive variables with longer follow-up duration should be the next step in evaluating the pros and cons of these new implants.

摘要

引言

多种方法用于Lisfranc损伤的切开复位内固定,每种方法都显示出不同的治疗后结果。除了这些患者常见的术后问题,包括可能的非解剖复位、植入物松动、断裂和关节炎外,这些患者中的大多数将接受二次手术取出植入物,而这本身可能会导致进一步的并发症。为了减少再次手术的需求,生物可降解或生物整合植入物可能很有前景;然而,迄今为止,对其短期和长期结果的研究很少。

病例报告

我们对10例接受生物整合螺钉治疗Lisfranc损伤的成年患者进行了随访。要求患者在一次随访中填写患者报告的结局指标(PROMs)调查问卷。我们收集了包括损伤类型、疼痛评分以及PROMs(包括身体功能(PF)、疼痛干扰、疼痛强度和抑郁)等变量。我们评估了患者的伤口裂开、骨不连和内固定失败情况。本研究中患者的中位(四分位间距[IQR])随访时间为9(4 - 11.5)个月。10例接受生物整合螺钉治疗的Lisfranc损伤患者中有9例疼痛评分有所改善,并开始逐步负重。在3例与运动相关的Lisfranc损伤患者中,2例在6个月内恢复运动,1例在3个月内开始进行双侧敏捷性训练。代表PF、抑郁、身体健康、心理健康、疼痛干扰和疼痛强度的PROMs中位(IQR)评分分别为49.5(30.1 - 61.9)、41(41 - 49)、50.8(39.2 - 57.7)、59(48.9 - 63.7)、51.7(41.6 - 72.6)和43.5(37.8 - 55.2)。

结论

我们的结果表明,基于PROMs和并发症发生率,使用生物整合螺钉治疗Lisfranc损伤患者具有良好的短期效果。未来对更大样本量、更全面变量以及更长随访时间的研究应是评估这些新型植入物利弊的下一步。

https://cdn.ncbi.nlm.nih.gov/pmc/blobs/eccf/10753658/71696a9f5a0c/JOCR-13-34-g002.jpg

文献AI研究员

20分钟写一篇综述,助力文献阅读效率提升50倍。

立即体验

用中文搜PubMed

大模型驱动的PubMed中文搜索引擎

马上搜索

文档翻译

学术文献翻译模型,支持多种主流文档格式。

立即体验