Department of Molecular and Cellular Physiology, Albany Medical College, Albany, NY, 12208, USA.
Department of Medicine, Division of Hematology and Oncology, Tisch Cancer Institute, Icahn School of Medicine at Mount Sinai, New York, NY, 10029, USA.
Oncogene. 2024 Feb;43(9):650-667. doi: 10.1038/s41388-023-02933-x. Epub 2024 Jan 6.
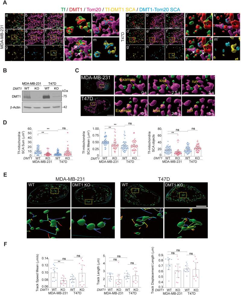
Transient early endosome (EE)-mitochondria interactions can mediate mitochondrial iron translocation, but the associated mechanisms are still elusive. We showed that Divalent Metal Transporter 1 (DMT1) sustains mitochondrial iron translocation via EE-mitochondria interactions in triple-negative MDA-MB-231, but not in luminal A T47D breast cancer cells. DMT1 silencing increases labile iron pool (LIP) levels and activates PINK1/Parkin-dependent mitophagy in MDA-MB-231 cells. Mitochondrial bioenergetics and the iron-associated protein profile were altered by DMT1 silencing and rescued by DMT1 re-expression. Transcriptomic profiles upon DMT1 silencing are strikingly different between 2D and 3D culture conditions, suggesting that the environment context is crucial for the DMT1 knockout phenotype observed in MDA-MB-231 cells. Lastly, in vivo lung metastasis assay revealed that DMT1 silencing promoted the outgrowth of lung metastatic nodules in both human and murine models of triple-negative breast cancer cells. These findings reveal a DMT1-dependent pathway connecting EE-mitochondria interactions to mitochondrial iron translocation and metastatic fitness of breast cancer cells.
瞬时早期内体(EE)-线粒体相互作用可以介导线粒体铁转运,但相关机制仍不清楚。我们表明,二价金属转运蛋白 1(DMT1)通过三重阴性 MDA-MB-231 中的 EE-线粒体相互作用维持线粒体铁转运,但在腔 A T47D 乳腺癌细胞中则不然。DMT1 沉默会增加不稳定铁池(LIP)水平,并激活 MDA-MB-231 细胞中 PINK1/Parkin 依赖性线粒体自噬。DMT1 沉默会改变线粒体生物能和铁相关蛋白谱,而 DMT1 的重新表达则可以挽救这种改变。DMT1 沉默后的转录组谱在 2D 和 3D 培养条件下差异显著,这表明环境背景对于 MDA-MB-231 细胞中观察到的 DMT1 敲除表型至关重要。最后,体内肺转移实验表明,DMT1 沉默促进了三阴性乳腺癌细胞在人和鼠模型中的肺转移结节的生长。这些发现揭示了一种依赖于 DMT1 的途径,将 EE-线粒体相互作用与线粒体铁转运以及乳腺癌细胞的转移适应性联系起来。