Suppr超能文献

胃脂肪瘤:病例系列及文献综述

Gastric Lipomas: A Case Series and Review of the Literature.

作者信息

Jarrett Simone A, Tito Sahana, Chan Matthew, Jarrett Dominic E, Lo Kevin B, DePalma Richard

机构信息

Department of Internal Medicine, Albert Einstein Medical Center, Philadelphia, PA, USA.

Sidney Kimmel College of Thomas Jefferson University, Philadelphia, PA, USA.

出版信息

Case Rep Gastroenterol. 2024 Jan 9;18(1):14-20. doi: 10.1159/000534973. eCollection 2024 Jan-Dec.

Abstract

INTRODUCTION

The purpose of this case series was to review a rare subset of tumors known as gastric lipomas, which are typically found incidentally. The motivation for this study arose from the identification of 2 cases within our institution in a short period.

CASE PRESENTATION

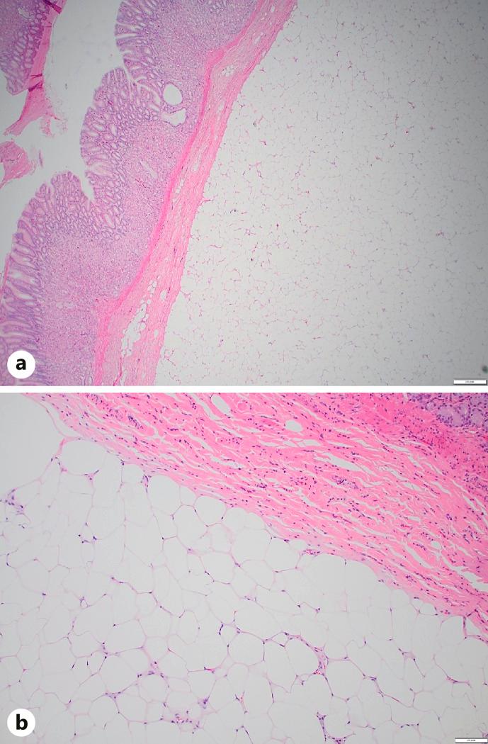
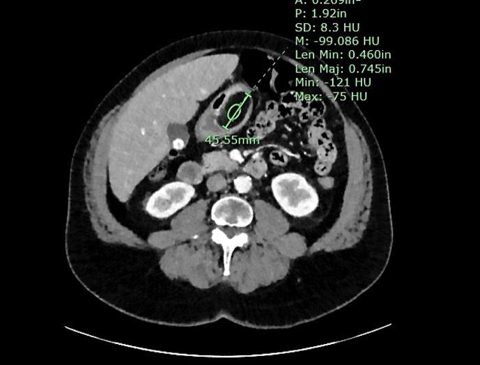
The study involved a review of the diagnosis and management of 2 patients presenting with gastric lipomas at our institution after symptoms of gastrointestinal bleeding. With the advent of new radiologic investigations such as computed tomography and magnetic resonance imaging and advances in endoscopy, there are new approaches to identifying and managing these tumors. On further evaluation of the literature, we found that despite the availability of minimally invasive endoscopic techniques such as mucosal resection and submucosal dissection in the setting of large tumors, most patients tend to have to resort to surgical management.

CONCLUSION

This case series underscores the rarity of gastric lipomas and their often-incidental discovery. Further investigation into endoscopic approaches for managing these tumors is needed, and additionally, there is a need to explore a potential association between gastric lipomas and malignancy, as chronic inflammation of the overlying mucosa may play a significant role.

摘要

引言

本病例系列的目的是回顾一类罕见的肿瘤,即胃脂肪瘤,这类肿瘤通常是偶然发现的。本研究的动机源于我们机构在短时间内确诊的2例病例。

病例介绍

本研究回顾了我院2例出现胃肠道出血症状后被诊断为胃脂肪瘤的患者的诊断和治疗情况。随着计算机断层扫描和磁共振成像等新的放射学检查方法的出现以及内镜技术的进步,出现了识别和处理这些肿瘤的新方法。在进一步查阅文献时,我们发现,尽管对于较大的肿瘤可以采用黏膜切除和黏膜下剥离等微创内镜技术,但大多数患者往往仍需采取手术治疗。

结论

本病例系列强调了胃脂肪瘤的罕见性及其常常偶然被发现的特点。需要进一步研究内镜治疗这些肿瘤的方法,此外,还需要探讨胃脂肪瘤与恶性肿瘤之间的潜在关联,因为覆盖其上的黏膜的慢性炎症可能起重要作用。

https://cdn.ncbi.nlm.nih.gov/pmc/blobs/a267/10776135/b3a218f1b23f/crg-2024-0018-0001-534973_F01.jpg

相似文献

1
Gastric Lipomas: A Case Series and Review of the Literature.
Case Rep Gastroenterol. 2024 Jan 9;18(1):14-20. doi: 10.1159/000534973. eCollection 2024 Jan-Dec.
3
Giant gastric lipoma successfully removed by endoscopic submucosal dissection: case report and systematic review.
Scand J Gastroenterol. 2018 Aug;53(8):1018-1024. doi: 10.1080/00365521.2018.1495259. Epub 2018 Aug 23.
4
Gastric lipoma: An unusual cause of the upper gastrointestinal bleeding.
Int J Surg Case Rep. 2024 Jun;119:109684. doi: 10.1016/j.ijscr.2024.109684. Epub 2024 Apr 29.
5
A Benign Ulcerating Gastric Mass Presenting as Acute Gastrointestinal Hemorrhage.
Cureus. 2021 Jun 27;13(6):e15954. doi: 10.7759/cureus.15954. eCollection 2021 Jun.
6
Laparoscopic resection of a gastric lipoma following massive upper gastrointestinal bleeding: A case report.
Int J Surg Case Rep. 2024 Jul;120:109876. doi: 10.1016/j.ijscr.2024.109876. Epub 2024 Jun 6.
7
Large ileocecal submucosal lipoma presenting as hematochezia, a case report and review of literature.
Int J Surg Case Rep. 2015;10:1-4. doi: 10.1016/j.ijscr.2015.03.007. Epub 2015 Mar 7.
9
Incidental giant obstructed pedunculated gastric lipoma during gastrostomy: A case report.
Int J Surg Case Rep. 2018;53:433-435. doi: 10.1016/j.ijscr.2018.11.052. Epub 2018 Nov 24.
10
Giant Colonic Lipoma Remains a Surgeon's Domain: A Report of Two Cases.
Cureus. 2023 Aug 14;15(8):e43488. doi: 10.7759/cureus.43488. eCollection 2023 Aug.

引用本文的文献

2
A Case Report on Gastric Lipoma: An Unusual Etiology of Gastrointestinal Bleeding.
Cureus. 2024 Dec 31;16(12):e76699. doi: 10.7759/cureus.76699. eCollection 2024 Dec.

本文引用的文献

1
Gastric lipoma of the pylorus - case report of an incidental finding.
Radiol Case Rep. 2021 May 25;16(7):1882-1884. doi: 10.1016/j.radcr.2021.04.054. eCollection 2021 Jul.
2
Gastric lipoma: a rare cause of massive haematemesis.
Ann R Coll Surg Engl. 2021 Jun;103(6):e196-e198. doi: 10.1308/rcsann.2020.7094. Epub 2021 Apr 14.
3
Bleeding Gastric Lipoma Resected by Endoscopic Submucosal Dissection.
Cureus. 2020 Jun 29;12(6):e8909. doi: 10.7759/cureus.8909.
4
Gastric lipomas: a case series and review of a rare tumor.
BJR Case Rep. 2019 Jan 16;5(2):20180109. doi: 10.1259/bjrcr.20180109. eCollection 2019 Jun.
5
Giant gastric lipoma successfully removed by endoscopic submucosal dissection: case report and systematic review.
Scand J Gastroenterol. 2018 Aug;53(8):1018-1024. doi: 10.1080/00365521.2018.1495259. Epub 2018 Aug 23.
7
Stepwise endoscopic resection of a large gastric lipoma causing gastric outlet obstruction and GI bleeding.
Gastrointest Endosc. 2016 Jul;84(1):180. doi: 10.1016/j.gie.2016.02.036. Epub 2016 Mar 6.
8
Giant Gastric Liposarcoma: A Fatal Exceptional Location.
J Gastrointest Cancer. 2016 Dec;47(4):482-485. doi: 10.1007/s12029-015-9779-z.
9
Endoscopic submucosal dissection.
Gastrointest Endosc. 2015;81(6):1311-25. doi: 10.1016/j.gie.2014.12.010. Epub 2015 Mar 18.
10
Endoscopic resection of gastrointestinal lipomas: a single-center experience.
Surg Endosc. 2014 Jan;28(1):185-92. doi: 10.1007/s00464-013-3151-9. Epub 2013 Aug 31.

文献AI研究员

20分钟写一篇综述,助力文献阅读效率提升50倍。

立即体验

用中文搜PubMed

大模型驱动的PubMed中文搜索引擎

马上搜索

文档翻译

学术文献翻译模型,支持多种主流文档格式。

立即体验