Suppr超能文献

建立肩峰解剖结构的正常参考值:一项基于MRI对996名健康参与者的综合研究

Establishing Normative Values for Acromion Anatomy: A Comprehensive MRI-Based Study in a Healthy Population of 996 Participants.

作者信息

Prietzel Anne, Languth Theo, Bülow Robin, Ittermann Till, Laqua René, Haralambiev Lyubomir, Wassilew Georgi Iwan, Ekkernkamp Axel, Bakir Mustafa Sinan

机构信息

Center for Orthopaedics, Trauma Surgery and Rehabilitation Medicine, University Medicine Greifswald, Ferdinand-Sauerbruch-Straße, 17475 Greifswald, Germany.

Institute of Diagnostic Radiology and Neuroradiology, University Medicine Greifswald, Ferdinand-Sauerbruch-Straße, 17475 Greifswald, Germany.

出版信息

Diagnostics (Basel). 2024 Jan 3;14(1):107. doi: 10.3390/diagnostics14010107.

Abstract

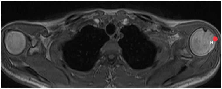
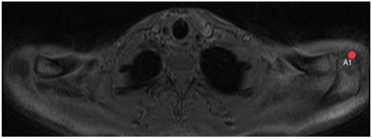
Shoulder pain is a common issue often linked to conditions such as subacromial impingement or rotator cuff lesions. The role of the acromion in these symptoms remains a subject of debate. This study aims to establish standardized values for commonly used acromion dimensions based on whole-body MRI scans of a large and healthy population and to investigate potential correlations between acromion shape and influencing factors such as sex, age, BMI, dominant hand, and shoulder pain. The study used whole-body MRI scans from the Study of Health in Pomerania, a German population-based study. Acromion index, acromion tilt, and acromion slope were measured. Interrater variability was tested with two independent, trained viewers on 100 MRI sequences before actual measurements started. Descriptive statistics and logistic regression were used to evaluate the results. We could define reference values based on a shoulder-healthy population for each acromion parameter within the 2.5 to 97.5 percentile. No significant differences were found in acromion slope, tilt, and index between male and female participants. No significant correlations were observed between acromion morphology and anthropometric parameters such as height, weight, or BMI. No significant differences were observed in acromion parameters between dominant and non-dominant hands or stated pain intensity. This study provides valuable reference values for acromion-related parameters, offering insight into the anatomy of a healthy shoulder. The findings indicate no significant differences in acromion morphology based on sex, weight, BMI, or dominant hand. Further research is necessary to ascertain the clinical implications of these reference values. The establishment of standardized reference values opens new possibilities for enhancing clinical decision making regarding surgical interventions, such as acromioplasty.

摘要

肩部疼痛是一个常见问题,通常与肩峰下撞击或肩袖损伤等病症有关。肩峰在这些症状中所起的作用仍是一个有争议的话题。本研究旨在基于对大量健康人群的全身MRI扫描,建立常用肩峰尺寸的标准化值,并研究肩峰形状与性别、年龄、体重指数、优势手和肩部疼痛等影响因素之间的潜在相关性。该研究使用了来自德国基于人群的波美拉尼亚健康研究的全身MRI扫描数据。测量了肩峰指数、肩峰倾斜度和肩峰斜率。在实际测量开始前,由两名独立的、经过培训的观察者对100个MRI序列进行了观察者间变异性测试。使用描述性统计和逻辑回归来评估结果。我们可以根据肩部健康人群为每个肩峰参数在第2.5至97.5百分位数内定义参考值。在男性和女性参与者之间,肩峰斜率、倾斜度和指数没有发现显著差异。在肩峰形态与身高、体重或体重指数等人体测量参数之间未观察到显著相关性。在优势手和非优势手之间或所述疼痛强度方面,肩峰参数没有观察到显著差异。本研究为与肩峰相关的参数提供了有价值的参考值,有助于深入了解健康肩部的解剖结构。研究结果表明,基于性别、体重、体重指数或优势手,肩峰形态没有显著差异。有必要进行进一步研究以确定这些参考值的临床意义。标准化参考值的建立为加强关于手术干预(如肩峰成形术)的临床决策开辟了新的可能性。

https://cdn.ncbi.nlm.nih.gov/pmc/blobs/fcbe/10795676/0d3195df6eed/diagnostics-14-00107-g001.jpg

文献AI研究员

20分钟写一篇综述,助力文献阅读效率提升50倍。

立即体验

用中文搜PubMed

大模型驱动的PubMed中文搜索引擎

马上搜索

文档翻译

学术文献翻译模型,支持多种主流文档格式。

立即体验