• 文献检索
  • 文档翻译
  • 深度研究
  • 学术资讯
  • Suppr Zotero 插件Zotero 插件
  • 邀请有礼
  • 套餐&价格
  • 历史记录
应用&插件
Suppr Zotero 插件Zotero 插件浏览器插件Mac 客户端Windows 客户端微信小程序
定价
高级版会员购买积分包购买API积分包
服务
文献检索文档翻译深度研究API 文档MCP 服务
关于我们
关于 Suppr公司介绍联系我们用户协议隐私条款
关注我们

Suppr 超能文献

核心技术专利:CN118964589B侵权必究
粤ICP备2023148730 号-1Suppr @ 2026

文献检索

告别复杂PubMed语法,用中文像聊天一样搜索,搜遍4000万医学文献。AI智能推荐,让科研检索更轻松。

立即免费搜索

文件翻译

保留排版,准确专业,支持PDF/Word/PPT等文件格式,支持 12+语言互译。

免费翻译文档

深度研究

AI帮你快速写综述,25分钟生成高质量综述,智能提取关键信息,辅助科研写作。

立即免费体验

基于磁共振成像的胸锁关节和锁骨解剖结构的规范值:对1591名健康参与者的综合分析

Normative Values for Sternoclavicular Joint and Clavicle Anatomy Based on MR Imaging: A Comprehensive Analysis of 1591 Healthy Participants.

作者信息

Languth Theo Morgan, Prietzel Anne, Bülow Robin, Ittermann Till, Laqua René, Haralambiev Lyubomir, Ekkernkamp Axel, Bakir Mustafa Sinan

机构信息

Center for Orthopaedics, Trauma Surgery and Rehabilitation Medicine, University Medicine Greifswald, Ferdinand-Sauerbruch-Straße, 17475 Greifswald, Germany.

Department of Anesthesiology, University Medical Center of the Johannes Gutenberg University Mainz, Langenbeckstr. 1, 55131 Mainz, Germany.

出版信息

J Clin Med. 2024 Jun 19;13(12):3598. doi: 10.3390/jcm13123598.

DOI:10.3390/jcm13123598
PMID:38930127
原文链接:https://pmc.ncbi.nlm.nih.gov/articles/PMC11205057/
Abstract

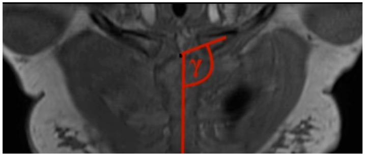
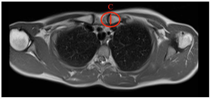
The clavicle remains one of the most fractured bones in the human body, despite the fact that little is known about the MR imaging of it and the adjacent sternoclavicular joint. This study aims to establish standardized values for the diameters of the clavicle as well as the angles of the sternoclavicular joint using whole-body MRI scans of a large and healthy population and to examine further possible correlations between diameters and angles and influencing factors like BMI, weight, height, sex, and age. This study reviewed whole-body MRI scans from the Study of Health in Pomerania (SHIP), a German population-based cross-sectional study in Mecklenburg-Western Pomerania. Descriptive statistics, as well as median-based regression models, were used to evaluate the results. We could establish reference values based on a shoulder-healthy population for each clavicle parameter. Substantial differences were found for sex. Small impacts were found for height, weight, and BMI. Less to no impact was found for age. This study provides valuable reference values for clavicle and sternoclavicular joint-related parameters and shows the effects of epidemiological features, laying the groundwork for future studies. Further research is mandatory to determine the clinical implications of these findings.

摘要

尽管人们对锁骨及其相邻胸锁关节的磁共振成像了解甚少,但锁骨仍是人体中最易骨折的骨头之一。本研究旨在通过对大量健康人群进行全身MRI扫描,建立锁骨直径和胸锁关节角度的标准化值,并进一步研究直径、角度与BMI、体重、身高、性别和年龄等影响因素之间可能存在的相关性。本研究回顾了德国梅克伦堡-前波美拉尼亚州基于人群的横断面研究——波美拉尼亚健康研究(SHIP)的全身MRI扫描数据。采用描述性统计以及基于中位数的回归模型来评估结果。我们能够为每个锁骨参数建立基于肩部健康人群的参考值。研究发现性别之间存在显著差异。身高、体重和BMI的影响较小。年龄的影响较小或几乎没有影响。本研究为锁骨和胸锁关节相关参数提供了有价值的参考值,并显示了流行病学特征的影响,为未来的研究奠定了基础。必须进行进一步的研究以确定这些发现的临床意义。

https://cdn.ncbi.nlm.nih.gov/pmc/blobs/0ad8/11205057/a9cfa78dfdf6/jcm-13-03598-g011.jpg
https://cdn.ncbi.nlm.nih.gov/pmc/blobs/0ad8/11205057/a4466884c0f6/jcm-13-03598-g001.jpg
https://cdn.ncbi.nlm.nih.gov/pmc/blobs/0ad8/11205057/2a0c881e1aff/jcm-13-03598-g002.jpg
https://cdn.ncbi.nlm.nih.gov/pmc/blobs/0ad8/11205057/6e2a34394cee/jcm-13-03598-g003.jpg
https://cdn.ncbi.nlm.nih.gov/pmc/blobs/0ad8/11205057/c340cb2a6f76/jcm-13-03598-g004.jpg
https://cdn.ncbi.nlm.nih.gov/pmc/blobs/0ad8/11205057/8b2a72c37e5b/jcm-13-03598-g005.jpg
https://cdn.ncbi.nlm.nih.gov/pmc/blobs/0ad8/11205057/93e1c0f32407/jcm-13-03598-g006.jpg
https://cdn.ncbi.nlm.nih.gov/pmc/blobs/0ad8/11205057/5982f4cb78b6/jcm-13-03598-g007.jpg
https://cdn.ncbi.nlm.nih.gov/pmc/blobs/0ad8/11205057/a8029a768372/jcm-13-03598-g008a.jpg
https://cdn.ncbi.nlm.nih.gov/pmc/blobs/0ad8/11205057/176111b5419b/jcm-13-03598-g009.jpg
https://cdn.ncbi.nlm.nih.gov/pmc/blobs/0ad8/11205057/e5795323c8d5/jcm-13-03598-g010.jpg
https://cdn.ncbi.nlm.nih.gov/pmc/blobs/0ad8/11205057/a9cfa78dfdf6/jcm-13-03598-g011.jpg
https://cdn.ncbi.nlm.nih.gov/pmc/blobs/0ad8/11205057/a4466884c0f6/jcm-13-03598-g001.jpg
https://cdn.ncbi.nlm.nih.gov/pmc/blobs/0ad8/11205057/2a0c881e1aff/jcm-13-03598-g002.jpg
https://cdn.ncbi.nlm.nih.gov/pmc/blobs/0ad8/11205057/6e2a34394cee/jcm-13-03598-g003.jpg
https://cdn.ncbi.nlm.nih.gov/pmc/blobs/0ad8/11205057/c340cb2a6f76/jcm-13-03598-g004.jpg
https://cdn.ncbi.nlm.nih.gov/pmc/blobs/0ad8/11205057/8b2a72c37e5b/jcm-13-03598-g005.jpg
https://cdn.ncbi.nlm.nih.gov/pmc/blobs/0ad8/11205057/93e1c0f32407/jcm-13-03598-g006.jpg
https://cdn.ncbi.nlm.nih.gov/pmc/blobs/0ad8/11205057/5982f4cb78b6/jcm-13-03598-g007.jpg
https://cdn.ncbi.nlm.nih.gov/pmc/blobs/0ad8/11205057/a8029a768372/jcm-13-03598-g008a.jpg
https://cdn.ncbi.nlm.nih.gov/pmc/blobs/0ad8/11205057/176111b5419b/jcm-13-03598-g009.jpg
https://cdn.ncbi.nlm.nih.gov/pmc/blobs/0ad8/11205057/e5795323c8d5/jcm-13-03598-g010.jpg
https://cdn.ncbi.nlm.nih.gov/pmc/blobs/0ad8/11205057/a9cfa78dfdf6/jcm-13-03598-g011.jpg

相似文献

1
Normative Values for Sternoclavicular Joint and Clavicle Anatomy Based on MR Imaging: A Comprehensive Analysis of 1591 Healthy Participants.基于磁共振成像的胸锁关节和锁骨解剖结构的规范值:对1591名健康参与者的综合分析
J Clin Med. 2024 Jun 19;13(12):3598. doi: 10.3390/jcm13123598.
2
Establishing Normative Values for Acromion Anatomy: A Comprehensive MRI-Based Study in a Healthy Population of 996 Participants.建立肩峰解剖结构的正常参考值:一项基于MRI对996名健康参与者的综合研究
Diagnostics (Basel). 2024 Jan 3;14(1):107. doi: 10.3390/diagnostics14010107.
3
Surgical anatomy of the sternoclavicular joint: a qualitative and quantitative anatomical study.胸锁关节的手术解剖:一项定性与定量解剖学研究。
J Bone Joint Surg Am. 2014 Oct 1;96(19):e166. doi: 10.2106/JBJS.M.01451.
4
Physeal injuries of the clavicle: pediatric counterparts to adult acromioclavicular and sternoclavicular joint separations.锁骨骨骺损伤:成人肩锁关节和胸锁关节分离的小儿对应损伤。
Pediatr Radiol. 2023 Jul;53(8):1513-1525. doi: 10.1007/s00247-023-05617-6. Epub 2023 Mar 20.
5
Dynamic evaluation of the sternoclavicular and acromioclavicular joints using an upright four-dimensional computed tomography.采用直立式四维 CT 对胸锁关节和肩锁关节进行动态评估。
J Biomech. 2023 Aug;157:111697. doi: 10.1016/j.jbiomech.2023.111697. Epub 2023 Jun 24.
6
Relationship of the Medial Clavicular Head to the Manubrium in Normal and Symptomatic Degenerated Sternoclavicular Joints.正常及有症状的退变胸锁关节中锁骨内侧头与胸骨柄的关系
J Bone Joint Surg Am. 2014 Jul 2;96(13):e109. doi: 10.2106/JBJS.M.00623.
7
What Are the Reference Values and Associated Factors for Center-edge Angle and Alpha Angle? A Population-based Study.中心边缘角和α角的参考值及其相关因素是什么?一项基于人群的研究。
Clin Orthop Relat Res. 2018 Nov;476(11):2249-2259. doi: 10.1097/CORR.0000000000000410.
8
Posterior sternoclavicular Salter-Harris fracture-dislocation in a patient with unossified medial clavicle epiphysis.一名内侧锁骨骨骺未骨化患者的后胸锁关节Salter-Harris骨折脱位。
Skeletal Radiol. 2016 Aug;45(8):1123-7. doi: 10.1007/s00256-016-2399-2. Epub 2016 Apr 23.
9
[Novel sternoclavicular hook-plate for treatment of proximal clavicle fracture with dislocation of sternoclavicular joint].新型胸锁钩钢板治疗合并胸锁关节脱位的近端锁骨骨折
Zhongguo Gu Shang. 2021 Jun 25;34(6):563-7. doi: 10.12200/j.issn.1003-0034.2021.06.017.
10
The sternoclavicular joint: can imaging differentiate infection from degenerative change?胸锁关节:影像学检查能鉴别感染与退行性改变吗?
Skeletal Radiol. 2010 Jun;39(6):551-8. doi: 10.1007/s00256-009-0802-y. Epub 2009 Oct 1.

本文引用的文献

1
Establishing Normative Values for Acromion Anatomy: A Comprehensive MRI-Based Study in a Healthy Population of 996 Participants.建立肩峰解剖结构的正常参考值:一项基于MRI对996名健康参与者的综合研究
Diagnostics (Basel). 2024 Jan 3;14(1):107. doi: 10.3390/diagnostics14010107.
2
Evidence on treatment of clavicle fractures.锁骨骨折治疗的相关证据。
Injury. 2023 Oct;54 Suppl 5:110818. doi: 10.1016/j.injury.2023.05.049. Epub 2023 May 15.
3
Accuracy of X-Ray and Magnetic Resonance Imaging in Defining the Tumor Margin in Primary Bone Sarcoma.
X 射线和磁共振成像在原发性骨肉瘤肿瘤边界界定中的准确性。
Iowa Orthop J. 2021 Dec;41(2):27-33.
4
Plate osteosynthesis for mid-shaft clavicle fractures: An update.锁骨中段骨折的钢板内固定术:最新进展
Injury. 2023 Mar;54 Suppl 1:S53-S57. doi: 10.1016/j.injury.2020.10.085. Epub 2020 Oct 31.
5
Single-center experience in the treatment of extremely medial clavicle fractures with vertical fixation of double-plate: A retrospective study.双钢板垂直固定治疗极内侧锁骨骨折的单中心经验:一项回顾性研究。
Medicine (Baltimore). 2020 Apr;99(14):e19605. doi: 10.1097/MD.0000000000019605.
6
What Is the Best Evidence for Management of Displaced Midshaft Clavicle Fractures? A Systematic Review and Network Meta-analysis of 22 Randomized Controlled Trials.什么是治疗移位锁骨中段骨折的最佳证据?22 项随机对照试验的系统评价和网络荟萃分析。
Clin Orthop Relat Res. 2020 Feb;478(2):392-402. doi: 10.1097/CORR.0000000000000986.
7
Advances in MRI Methodology.磁共振成像方法学的进展。
Int Rev Neurobiol. 2018;141:31-76. doi: 10.1016/bs.irn.2018.08.008. Epub 2018 Sep 14.
8
Sternoclavicular joint.胸锁关节。
Shoulder Elbow. 2018 Oct;10(4):296-305. doi: 10.1177/1758573218756880. Epub 2018 Apr 2.
9
User's guide to correlation coefficients.相关系数用户指南。
Turk J Emerg Med. 2018 Aug 7;18(3):91-93. doi: 10.1016/j.tjem.2018.08.001. eCollection 2018 Sep.
10
MRI findings for unilateral sternoclavicular arthritis: differentiation between infectious arthritis and spondyloarthritis.单侧胸锁关节炎的MRI表现:感染性关节炎与脊柱关节炎的鉴别
Skeletal Radiol. 2019 Feb;48(2):259-266. doi: 10.1007/s00256-018-3023-4. Epub 2018 Jul 5.