Suppr超能文献

利多卡因脂质体——经皮疼痛管理的一个有前景的前沿领域。

Lidocaine-Liposomes-A Promising Frontier for Transdermal Pain Management.

作者信息

Leon Maria Magdalena, Maștaleru Alexandra, Oancea Andra, Alexa-Stratulat Teodora, Peptu Cătălina Anișoara, Tamba Bogdan-Ionel, Harabagiu Valeria, Grosu Cristina, Alexa Anisia Iuliana, Cojocaru Elena

机构信息

Department of Medical Specialties I, "Grigore T. Popa" University of Medicine and Pharmacy, 700115 Iaşi, Romania.

Department of Medical Oncology-Radiotherapy, Faculty of Medicine, "Grigore T. Popa" University of Medicine and Pharmacy, 700115 Iaşi, Romania.

出版信息

J Clin Med. 2024 Jan 3;13(1):271. doi: 10.3390/jcm13010271.

Abstract

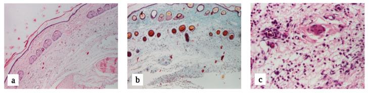
(1) Background: We aim to develop novel gel formulations for transdermal drug delivery systems in acute and inflammatory pain therapy. (2) Methods: We induced inflammation by the injection of λ-carrageenan on the hind paw of 80 Wistar male rats. The animals were randomized into eight groups of 10 rats each: C (placebo gel), E (EMLA), L (lidocaine 2%), L-CD (lidocaine + cyclodextrin 2.5%), L-LP (lidocaine + liposomes 1.7%), L-CS (lidocaine + chitosan 4%), L-CSh (lidocaine + chitosan hydrochloride), and L-CS-LP (lidocaine + chitosan + liposomes). The behavior response was determined with a hot plate, cold plate, and algesimeter, each being performed at 30, 60, 120, 180, and 240 min after pain induction. At the end of the experiment, tissue samples were collected for histological assessment. (3) Results: L-LP had the greatest anesthetic effects, which was proven on the cold plate test compared to placebo and EMLA (all ≤ 0.001). L-CS-LP had a significant effect on cold plate evaluation compared to placebo ( ≤ 0.001) and on hot plate evaluation compared to EMLA ( = 0.018). (4) Conclusions: L-LP is a new substance with a substantial analgesic effect demonstrated by the cold plate in the first 120 min. Further studies with more animals are needed to determine the maximum doses that can be applied for a better analgesia with minimum side effects.

摘要

(1) 背景:我们旨在开发用于急性和炎性疼痛治疗的经皮给药系统的新型凝胶制剂。(2) 方法:通过在80只雄性Wistar大鼠的后爪注射λ-角叉菜胶诱导炎症。将动物随机分为八组,每组10只大鼠:C组(安慰剂凝胶)、E组(EMLA)、L组(2%利多卡因)、L-CD组(2.5%利多卡因+环糊精)、L-LP组(1.7%利多卡因+脂质体)、L-CS组(4%利多卡因+壳聚糖)、L-CSh组(利多卡因+盐酸壳聚糖)和L-CS-LP组(利多卡因+壳聚糖+脂质体)。在疼痛诱导后30、60、120、180和240分钟,分别使用热板、冷板和痛觉计测定行为反应。实验结束时,收集组织样本进行组织学评估。(3) 结果:L-LP具有最大的麻醉效果,与安慰剂和EMLA相比,在冷板试验中得到证实(均≤0.001)。与安慰剂相比,L-CS-LP在冷板评估中有显著效果(≤0.001),与EMLA相比,在热板评估中有显著效果(=0.018)。(4) 结论:L-LP是一种新物质,在前120分钟的冷板试验中显示出显著的镇痛效果。需要用更多动物进行进一步研究,以确定可用于更好镇痛且副作用最小的最大剂量。

https://cdn.ncbi.nlm.nih.gov/pmc/blobs/5de0/10779996/10f66c08d34e/jcm-13-00271-g001.jpg

文献AI研究员

20分钟写一篇综述,助力文献阅读效率提升50倍。

立即体验

用中文搜PubMed

大模型驱动的PubMed中文搜索引擎

马上搜索

文档翻译

学术文献翻译模型,支持多种主流文档格式。

立即体验