Campinhos Mariana Luiza Bittencourt, Curioni Otavio Alberto, Soares Aldemir Humberto, Marcucci Marcelo
Faculdade de Odontologia da Universidade de São Paulo (FOUSP), São Paulo, SP, Brazil.
Hospital Heliópolis, São Paulo, SP, Brazil.
Radiol Bras. 2023 Sep-Oct;56(5):275-281. doi: 10.1590/0100-3984.2023.0024-en.
To evaluate alterations in the masticator space due to the dissemination of malignant neoplasms originating from the tonsillar fossa, retromolar trigone, maxillary sinus, or nasopharynx, using computed tomography (CT), as well as to correlate the presence of trismus with the CT findings and the dimensions of the tumor.
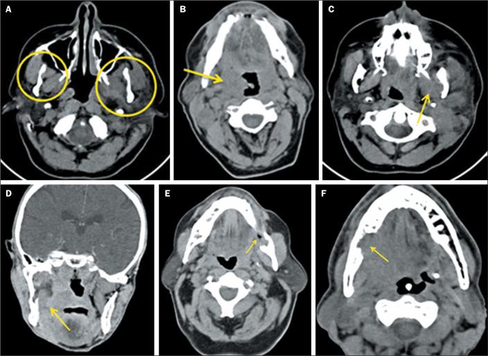
We evaluated the medical records of 65 patients with malignant tumors in the regions described. The images were analyzed by two physician examiners, working independently, who were blinded to the clinical data. In the evaluation of the masticator space, the following parameters were considered: symmetry with the contralateral space; obliteration of the fat plane, retromolar trigone, or pharyngeal space; edema/atrophy of the medial or lateral pterygoid muscles; and destruction of the mandibular ramus.
Obliteration of the fat plane was found in 69.2% of the patients. Asymmetry, edema/atrophy, and bone destruction were detected in 27.7%, 26.2%, and 20.0% of the patients, respectively. Trismus was identified in 15.4% of the patients. Of the patients with trismus, 90.0% had stage T4 tumors, compared with only 43.8% of those without trismus. Trismus was 11.6 times more common among the patients with stage T4 tumors than among those with lower-stage tumors. Neoplasms of the tonsillar fossa and retromolar trigone collectively accounted for 95.0% of the cases. The CT scans showed edema/atrophy of the pterygoid muscles in 60.0% of the patients with trismus and in 21.8% of those without. An association was observed between T4 tumor stage and edema/atrophy of the pterygoid muscles. In addition, the risk of trismus was 5.4 times higher among the patients with stage T4 tumors.
In our patient sample, the most common finding was obliteration of the fat plane, followed by asymmetry and edema/atrophy. Most of the patients with T4 tumors had trismus, together with edema/atrophy of the pterygoid muscles.
使用计算机断层扫描(CT)评估源自扁桃体窝、磨牙后三角、上颌窦或鼻咽部的恶性肿瘤播散导致的咀嚼肌间隙改变,并将牙关紧闭的存在与CT表现及肿瘤大小相关联。
我们评估了65例上述区域恶性肿瘤患者的病历。图像由两名独立工作的医师检查者分析,他们对临床数据不知情。在评估咀嚼肌间隙时,考虑了以下参数:与对侧间隙的对称性;脂肪平面、磨牙后三角或咽间隙的闭塞;翼内肌或翼外肌的水肿/萎缩;以及下颌支的破坏。
69.2%的患者发现脂肪平面闭塞。分别有27.7%、26.2%和20.0%的患者检测到不对称、水肿/萎缩和骨质破坏。15.4%的患者出现牙关紧闭。在牙关紧闭的患者中,90.0%患有T4期肿瘤,而无牙关紧闭的患者中这一比例仅为43.8%。T4期肿瘤患者中牙关紧闭的发生率比低分期肿瘤患者高11.6倍。扁桃体窝和磨牙后三角的肿瘤共同占病例的95.0%。CT扫描显示,牙关紧闭患者中有60.0%出现翼状肌水肿/萎缩,无牙关紧闭患者中这一比例为21.8%。观察到T4期肿瘤与翼状肌水肿/萎缩之间存在关联。此外,T4期肿瘤患者出现牙关紧闭的风险高5.4倍。
在我们的患者样本中,最常见的发现是脂肪平面闭塞,其次是不对称和水肿/萎缩。大多数T4期肿瘤患者伴有牙关紧闭及翼状肌水肿/萎缩。