Suppr超能文献

评估 Algerbrush II 旋转锉作为一种在小鼠模型中诱导眼表面失效的工具。

Evaluation of the Algerbrush II rotating burr as a tool for inducing ocular surface failure in a mouse model.

机构信息

Department of Ophthalmology, Stanford University School of Medicine, Stanford, CA.

McGill University Faculty of Medicine and Health Sciences, Montreal, Quebec, Canada.

出版信息

Mol Vis. 2023 Nov 5;29:256-265. eCollection 2023.

Abstract

PURPOSE

The Algerbrush II has been widely used to induce corneal and limbal injuries in animal models. The extent of injury varies with the duration of exposure, pressure from the placement of the burr, and the size of the burr. However, no study has explored the correlation between the duration of exposure and the severity of injury in mouse model with corneal and limbal stem cell deficiency (LSCD) induced using the Algerbrush II. Therefore, this study aimed to evaluate the variations in the severity of corneal and limbal injury with different durations of the Algerbrush II application.

METHODS

The entire cornea and limbus of C57BL/6 mice were injured for 30-45 s, 60-75 s, 90-120 s, and 3-4 min. Photography and slit-lamp examination was performed on days 0, 2, 4, and 7, followed by hematoxylin & eosin, periodic acid-Schiff, and immunohistochemical staining. Statistical analysis was performed using one way ANOVA analysis.

RESULTS

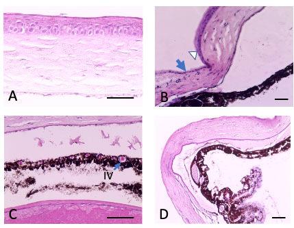
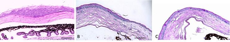
A duration of 30-45 s of injury was found to be sufficient to induce superficial corneal and limbal epithelial debridement and re-epithelialization was completed in all eyes by day 7; however, clinical signs of LSCD were not observed in all mice. Increasing the exposure time to 90-120 s resulted in central 2+ corneal opacity with limbal and paracentral corneal neovascularization. All eyes injured for 3-4 min displayed clinical signs of LSCD, such as persistent epithelial defects on day 7 after the injury, central corneal neovascularization, and 2.2+ diffuse corneal opacity. Histological signs of LSCD, including goblet cell metaplasia and K13 expression on the corneal surface, were observed in all injured eyes.

CONCLUSIONS

Our findings suggest that the duration of injury is an important factor influencing the severity of LSCD in a murine model of injury. A 1-mm rotating burr was found to be more effective for keratectomy and pigment release, whereas a 0.5-mm burr was more suitable for corneal epithelial debridement.

摘要

目的

Algerbrush II 已广泛用于诱导动物模型中的角膜和缘部损伤。损伤的程度取决于暴露时间、放置磨头时的压力以及磨头的大小。然而,尚无研究探讨在使用 Algerbrush II 诱导角膜和缘部干细胞缺乏(LSCD)的小鼠模型中,暴露时间与损伤严重程度之间的相关性。因此,本研究旨在评估不同 Algerbrush II 应用时间对角膜和缘部损伤严重程度的影响。

方法

对 C57BL/6 小鼠的整个角膜和缘部进行 30-45s、60-75s、90-120s 和 3-4min 的损伤。在第 0、2、4 和 7 天进行摄影和裂隙灯检查,随后进行苏木精和伊红、过碘酸希夫和免疫组织化学染色。使用单因素方差分析进行统计分析。

结果

发现 30-45s 的损伤时间足以诱导浅层角膜和缘部上皮脱落,所有眼睛在第 7 天均完成再上皮化;然而,并非所有小鼠都出现 LSCD 的临床症状。将暴露时间延长至 90-120s 会导致中央 2+角膜混浊,伴有缘部和旁中央角膜新生血管化。所有损伤 3-4min 的眼睛在损伤后第 7 天均出现 LSCD 的临床症状,如持续性上皮缺损、中央角膜新生血管化和 2.2+弥漫性角膜混浊。所有受伤眼睛均观察到 LSCD 的组织学迹象,包括角膜表面的杯状细胞化生和 K13 表达。

结论

我们的研究结果表明,损伤时间是影响 LSCD 严重程度的重要因素。1mm 旋转磨头更有利于角膜切除术和色素释放,而 0.5mm 磨头更适合角膜上皮脱落。

https://cdn.ncbi.nlm.nih.gov/pmc/blobs/fbe3/10784216/484213d5524d/mv-v29-256-f1.jpg

文献AI研究员

20分钟写一篇综述,助力文献阅读效率提升50倍。

立即体验

用中文搜PubMed

大模型驱动的PubMed中文搜索引擎

马上搜索

文档翻译

学术文献翻译模型,支持多种主流文档格式。

立即体验