Suppr超能文献

以心脏压塞和完全性心脏传导阻滞为表现的原发性心脏淋巴瘤:病例报告

Primary cardiac lymphoma presenting with cardiac tamponade and complete heart block: case report.

作者信息

Kelleher Ruth, Bird Brian Healey, Hayes Tríona, O'Sullivan Crochan J

机构信息

Department of Radiation Oncology, Cork University Hospital, Wilton Road, T12 DC4A Cork, Ireland.

Department of Oncology, Bon Secours Hospital Cork, College Road, Cork, Ireland.

出版信息

Eur Heart J Case Rep. 2023 Dec 23;8(1):ytad635. doi: 10.1093/ehjcr/ytad635. eCollection 2024 Jan.

Abstract

BACKGROUND

Primary cardiac lymphoma (PCL) is rare and its presentation can be variable. Thorough workup of suspected PCL or other cardiac tumours typically incorporates a range of imaging techniques and laboratory investigations but ultimately diagnosis is confirmed by histological analysis of myocardial tissue.

CASE SUMMARY

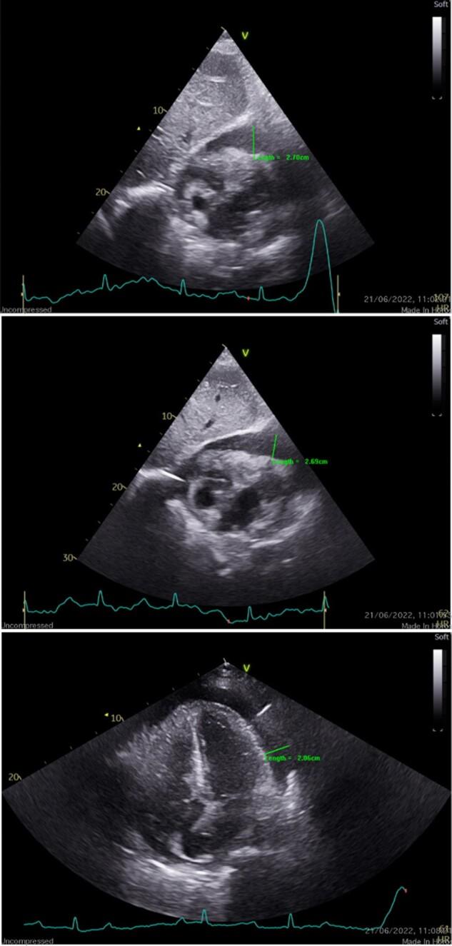
An 80-year-old Caucasian female presented with complete heart block and symptomatic cardiac tamponade. A pericardiocentesis was performed and a dual-chamber permanent pacemaker was implanted for the management of her complete heart block. Subsequently, a right atrial mass was discovered on imaging and the patient underwent endomyocardial biopsy of the mass. Histological analysis of the sample confirmed a primary cardiac lymphoma. The patient opted to forgo treatment with chemotherapy and died from her disease 1 month later.

DISCUSSION

Cardiac arrhythmias can occur in PCL due to infiltration of conduction pathways. Characterization of cardiac masses on various imaging modalities and laboratory tests guides diagnosis. Tissue diagnosis is required to confirm PCL. The location of a cardiac mass may present technical challenges when undertaking a biopsy, so the best approach to tissue sampling should be considered on an individual basis. Without treatment survival is less than one month but with modern chemoimmunotherapy five-year survival may exceed 50%.

摘要

背景

原发性心脏淋巴瘤(PCL)较为罕见,其表现形式多样。对疑似PCL或其他心脏肿瘤进行全面检查通常需要一系列成像技术和实验室检查,但最终诊断需通过心肌组织的组织学分析来确认。

病例摘要

一名80岁的白人女性出现完全性心脏传导阻滞和有症状的心包填塞。进行了心包穿刺,并植入了双腔永久起搏器以治疗其完全性心脏传导阻滞。随后,影像学检查发现右心房有肿块,患者接受了该肿块的心内膜活检。样本的组织学分析证实为原发性心脏淋巴瘤。患者选择放弃化疗,1个月后死于该疾病。

讨论

由于传导通路受浸润,PCL可发生心律失常。通过各种成像方式和实验室检查对心脏肿块进行特征化有助于诊断。确诊PCL需要组织诊断。进行活检时,心脏肿块的位置可能带来技术挑战,因此应根据个体情况考虑最佳的组织采样方法。未经治疗,生存期不足1个月,但采用现代化学免疫疗法,五年生存率可能超过50%。

https://cdn.ncbi.nlm.nih.gov/pmc/blobs/7f3e/10787369/8929a522a062/ytad635_ga1.jpg

相似文献

1
Primary cardiac lymphoma presenting with cardiac tamponade and complete heart block: case report.
Eur Heart J Case Rep. 2023 Dec 23;8(1):ytad635. doi: 10.1093/ehjcr/ytad635. eCollection 2024 Jan.
2
Primary cardiac diffuse large B-cell lymphoma presenting with cardiac tamponade: a case report.
Eur Heart J Case Rep. 2022 Apr 9;6(5):ytac151. doi: 10.1093/ehjcr/ytac151. eCollection 2022 May.
3
From inoperable to back to life: a case report of successfully treated obstructive right ventricular primary cardiac lymphoma.
Eur Heart J Case Rep. 2022 Feb 3;6(2):ytac051. doi: 10.1093/ehjcr/ytac051. eCollection 2022 Feb.
4
Secondary cardiac lymphoma presenting with cardiac tamponade and cardiac mass: a case report.
Cardiooncology. 2024 May 18;10(1):31. doi: 10.1186/s40959-024-00202-8.
7
Diffuse B Cell Lymphoma Leading to Complete Heart Block: Is This Transient or Permanent?
Am J Case Rep. 2020 Oct 23;21:e925760. doi: 10.12659/AJCR.925760.
8
Case Report: Primary Cardiac T-Cell Lymphoma With Complete Atrio-Ventricular Block Diagnosed by Endomyocardial Biopsy.
Front Immunol. 2022 Jun 16;13:890059. doi: 10.3389/fimmu.2022.890059. eCollection 2022.
9
Masquerade of an emergency: cardiac tamponade as a deceptive presentation of primary cardiac diffuse large b-cell lymphoma-a case report.
Eur Heart J Case Rep. 2024 May 29;8(7):ytae266. doi: 10.1093/ehjcr/ytae266. eCollection 2024 Jul.

引用本文的文献

1
Unusual Presentation of Primary Cardiac Lymphoma in a 61-Year-Old Woman: A Case Report.
Clin Case Rep. 2025 Sep 3;13(9):e70856. doi: 10.1002/ccr3.70856. eCollection 2025 Sep.
2
Cardiac Tumors Causing Sudden Cardiac Death: A State-of-the-Art Review in Pathology.
Cancers (Basel). 2025 Feb 17;17(4):669. doi: 10.3390/cancers17040669.

本文引用的文献

1
Pericardial Fluid Analysis in Diagnosis and Prognosis of Patients Who Underwent Pericardiocentesis.
Am J Cardiol. 2023 Jul 1;198:79-87. doi: 10.1016/j.amjcard.2023.04.034. Epub 2023 May 19.
3
Cardiac lymphoma presenting as bradyarrhythmia.
HeartRhythm Case Rep. 2022 Apr 21;8(7):493-496. doi: 10.1016/j.hrcr.2022.04.011. eCollection 2022 Jul.
4
Percutaneous intravenous catheter forceps biopsy in right atrial mass: two case reports and literature review.
BMC Cardiovasc Disord. 2022 Feb 20;22(1):63. doi: 10.1186/s12872-022-02507-x.
5
Cardiac Tumors: State-of-the-Art Review.
JACC CardioOncol. 2020 Jun 16;2(2):293-311. doi: 10.1016/j.jaccao.2020.05.009. eCollection 2020 Jun.
6
Primary Cardiac Lymphoma Manifesting as an Atrioventricular Block in a Renal Transplantation Recipient.
JACC Case Rep. 2020 Apr 15;2(4):600-603. doi: 10.1016/j.jaccas.2020.01.028. eCollection 2020 Apr.
7
Complete heart block as a herald sign for cardiac lymphoma.
BMJ Case Rep. 2021 Jan 11;14(1):e239356. doi: 10.1136/bcr-2020-239356.
8
Long-Term Outcomes of Primary Cardiac Lymphoma.
Circulation. 2020 Dec;142(22):2194-2195. doi: 10.1161/CIRCULATIONAHA.120.047215. Epub 2020 Nov 30.
9
Primary cardiac lymphoma.
J Thorac Cardiovasc Surg. 2022 Aug;164(2):573-580.e1. doi: 10.1016/j.jtcvs.2020.09.102. Epub 2020 Oct 7.
10
Cardiac Tumors: Clinical Presentation, Diagnosis, and Management.
Curr Treat Options Oncol. 2019 Jun 27;20(8):66. doi: 10.1007/s11864-019-0662-1.

文献AI研究员

20分钟写一篇综述,助力文献阅读效率提升50倍。

立即体验

用中文搜PubMed

大模型驱动的PubMed中文搜索引擎

马上搜索

文档翻译

学术文献翻译模型,支持多种主流文档格式。

立即体验