Qi Cong, Feng Fang, Guo JianNing, Liu Yu, Guo XiaoYao, Meng YuJiao, Di TingTing, Hu XueQing, Wang Yazhuo, Zhao Ning, Zhang XiaWei, Wang Yan, Zhao Jingxia, Li Ping
Capital Medical University, Beijing, 100069, China.
Beijing Key Laboratory of Clinic and Basic Research with TCM on Psoriasis, Beijing Institute of Traditional Chinese Medicine, Beijing Hospital of Traditional Chinese Medicine, Capital Medical University, Beijing, 100010, PR China.
J Tradit Complement Med. 2023 Jul 20;14(1):91-100. doi: 10.1016/j.jtcme.2023.07.005. eCollection 2024 Jan.
At present, acupuncture-related practices have been widely used to treat psoriasis. In our study, we investigated the effect and explored the mechanism of electroacupuncture (EA) on acupoints Baihui (DU20) and Xuehai (SP10) for the treatment of psoriasis.
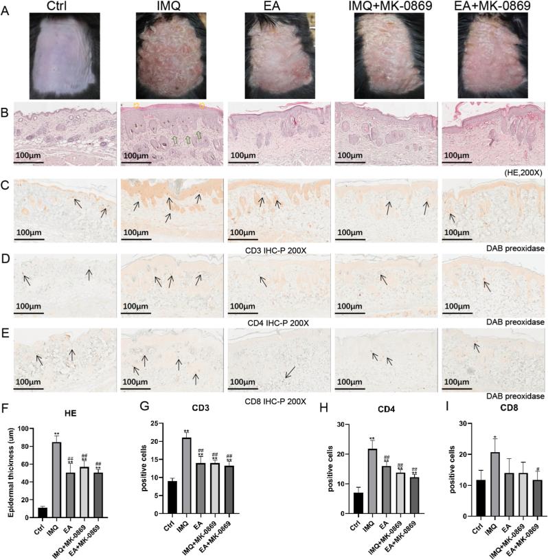
Imiquimod-induced psoriasis-like mouse model was used in this study. Mice were treated with electroacupuncture at DU20 and SP10 (depth of 2-3 mm, frequency of 2/15 Hz, intensity of 0.5-1.0 mA, 10 min/day). The severity of psoriasis-like lesions for each group was assessed. In addition, histological analysis of the lesions were performed. The levels of inflammatory cytokines were determined using Elisa. The expression levels of Substance P (SP) and NK1R were measured using Western blotting. In addition, NK1R inhibitor was administrated to evaluate the target of electroacupuncture in our mouse model.
Electroacupuncture significantly alleviated IMQ-induced skin lesions and epidermal thickness, accompanied with reduced keratinocyte proliferation, CD3, CD4, and CD8 T cells infiltration. The reduced levels of inflammatory cytokines was observed after electroacupuncture treatment. In addition, electroacupuncture inhibited the expression levels of SP and NK1R. NK1R inhibitor could ameliorate lesional symptoms and suppress epidermal thickening and CD3, CD4, and CD8 + T cell infiltration.
Electroacupuncture relieved psoriasis-like inflammation and T cell infiltration. This therapeutic action was likely mediated by the modulation of Substance P and its receptor NK1R.
目前,与针灸相关的疗法已被广泛用于治疗银屑病。在我们的研究中,我们研究了电针百会穴(督脉20)和血海穴(足太阴脾经10)治疗银屑病的效果并探索其机制。
本研究使用咪喹莫特诱导的银屑病样小鼠模型。小鼠接受电针刺激督脉20和足太阴脾经10(深度2 - 3毫米,频率2/15赫兹,强度0.5 - 1.0毫安,每天10分钟)。评估每组银屑病样病变的严重程度。此外,对病变进行组织学分析。使用酶联免疫吸附测定法测定炎性细胞因子水平。使用蛋白质印迹法测量P物质(SP)和神经激肽1受体(NK1R)的表达水平。此外,给予NK1R抑制剂以评估我们小鼠模型中电针的作用靶点。
电针显著减轻了咪喹莫特诱导的皮肤病变和表皮厚度,同时减少了角质形成细胞增殖、CD3、CD4和CD8 T细胞浸润。电针治疗后观察到炎性细胞因子水平降低。此外,电针抑制了SP和NK1R的表达水平。NK1R抑制剂可改善病变症状并抑制表皮增厚以及CD3、CD4和CD8 + T细胞浸润。
电针减轻了银屑病样炎症和T细胞浸润。这种治疗作用可能是通过调节P物质及其受体NK1R介导的。