Gonzalez Jeffrey, Batlle Juan C, Maroules Christopher, Cury Ricardo C, Peña Constantino S, Ma Charles, Menes Manuel, Sayegh Karl
Herbert Wertheim College of Medicine, Florida International University, 11200 SW 8th St, Miami, FL 33199 Miami, FL, USA.
Baptist Health of South Florida, 8900 N Kendall Dr, Miami, FL, 33176 USA.
Radiol Case Rep. 2023 Dec 22;19(3):1035-1039. doi: 10.1016/j.radcr.2023.11.072. eCollection 2024 Mar.
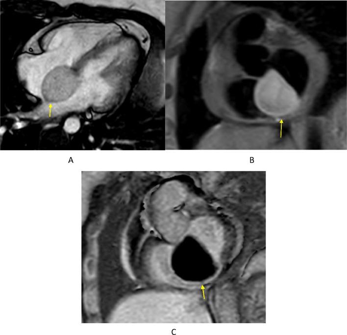
The authors report a case of pathologically proven intracardiac bronchogenic cyst embedded within the interatrial septum of a 30-year-old woman presenting with chest pain and first-degree AV block. Multimodality imaging played an essential role in the discovery, investigation, and diagnosis of this extremely rare entity.
作者报告了一例经病理证实的心脏内支气管源性囊肿病例,该囊肿位于一名30岁女性的房间隔内,患者表现为胸痛和一度房室传导阻滞。多模态成像在这一极其罕见疾病的发现、检查和诊断中发挥了重要作用。