Department of Radiation Oncology, Nanfang Hospital, Southern Medical University, 510515, Guangzhou, China.
Department of General Surgery, Nanfang Hospital, Southern Medical University, 510515, Guangzhou, China.
Br J Cancer. 2024 Mar;130(5):755-768. doi: 10.1038/s41416-024-02574-1. Epub 2024 Jan 16.
Radiotherapy is a critical treatment modality for nasopharyngeal carcinoma (NPC). However, the mechanisms underlying radiation resistance and tumour recurrence in NPC remain incompletely understood.
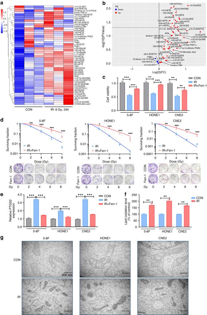
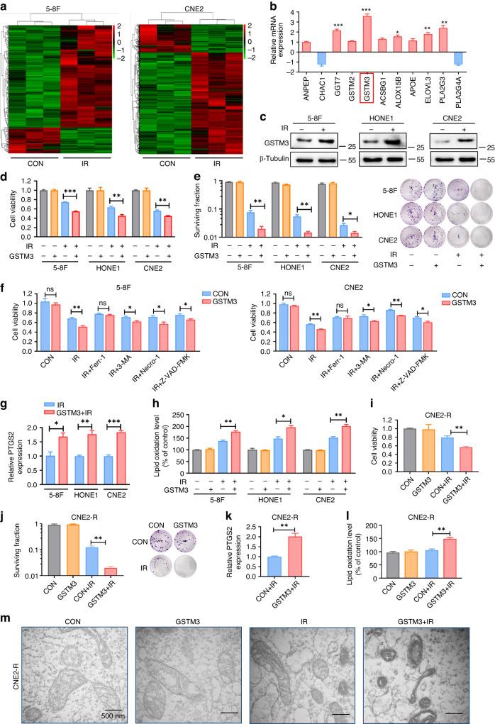
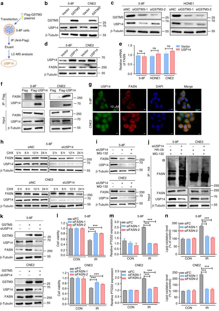
Oxidised lipids were assessed through targeted metabolomics. Ferroptosis levels were evaluated using cell viability, clonogenic survival, lipid peroxidation, and transmission electron microscopy. We investigated the biological functions of glutathione S-transferase mu 3 (GSTM3) in cell lines and xenograft tumours. Co-immunoprecipitation, mass spectrometry, and immunofluorescence were conducted to explore the molecular mechanisms involving GSTM3. Immunohistochemistry was performed to investigate the clinical characteristics of GSTM3.
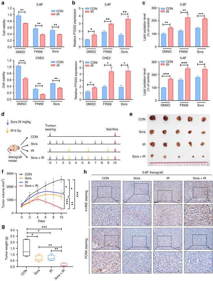
Ionising radiation (IR) promoted lipid peroxidation and induced ferroptosis in NPC cells. GSTM3 was upregulated following IR exposure and correlated with IR-induced ferroptosis, enhancing NPC radiosensitivity in vitro and in vivo. Mechanistically, GSTM3 stabilised ubiquitin-specific peptidase 14 (USP14), thereby inhibiting the ubiquitination and subsequent degradation of fatty acid synthase (FASN). Additionally, GSTM3 interacted with glutathione peroxidase 4 (GPX4) and suppressed GPX4 expression. Combining IR treatment with ferroptosis inducers synergistically improved NPC radiosensitivity and suppressed tumour growth. Notably, a decrease in GSTM3 abundance predicted tumour relapse and poor prognosis.
Our findings elucidate the pivotal role of GSTM3 in IR-induced ferroptosis, offering strategies for the treatment of radiation-resistant or recurrent NPC.
放射疗法是治疗鼻咽癌(NPC)的重要手段。然而,NPC 中放疗抵抗和肿瘤复发的机制仍不完全清楚。
通过靶向代谢组学评估氧化脂质。使用细胞活力、集落形成存活、脂质过氧化和透射电子显微镜评估铁死亡水平。我们研究了谷胱甘肽 S-转移酶 mu3(GSTM3)在细胞系和异种移植肿瘤中的生物学功能。通过共免疫沉淀、质谱和免疫荧光来探索涉及 GSTM3 的分子机制。免疫组织化学用于研究 GSTM3 的临床特征。
电离辐射(IR)促进 NPC 细胞中的脂质过氧化和诱导铁死亡。IR 暴露后 GSTM3 上调,与 IR 诱导的铁死亡相关,增强 NPC 的体外和体内放射敏感性。在机制上,GSTM3 稳定了泛素特异性肽酶 14(USP14),从而抑制了脂肪酸合成酶(FASN)的泛素化和随后的降解。此外,GSTM3 与谷胱甘肽过氧化物酶 4(GPX4)相互作用并抑制 GPX4 的表达。IR 治疗与铁死亡诱导剂联合使用可协同提高 NPC 的放射敏感性并抑制肿瘤生长。值得注意的是,GSTM3 丰度的降低预示着肿瘤复发和预后不良。
我们的研究结果阐明了 GSTM3 在 IR 诱导的铁死亡中的关键作用,为治疗放疗抵抗或复发性 NPC 提供了策略。