Suppr超能文献

双侧人工耳蜗植入术后发现一例蜗面神经裂。

A case of cochlear-facial dehiscence revealed after bilateral cochlear implants.

作者信息

Perazzini Chiara, Compagnone Luce, Chabrot Pascal, Boyer Luis, Puechmaille Mathilde, Mom Thierry

机构信息

Department of Radiology, University Hospital Center, Hospital Gabriel Montpied, 58, Rue Montalembert, 63000 Clermont-Ferrand, France.

Department of Otolaryngology Head Neck Surgery, University Hospital Center, Hospital Gabriel Montpied, 58, Rue Montalembert, 63000 Clermont-Ferrand, France.

出版信息

Radiol Case Rep. 2023 Dec 29;19(3):1110-1117. doi: 10.1016/j.radcr.2023.11.083. eCollection 2024 Mar.

Abstract

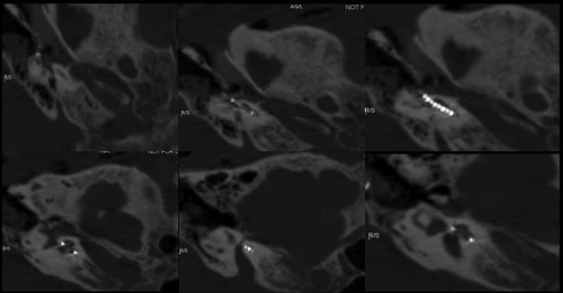
The cochlear implant is an implanted auditory prosthesis that can restore severe and profound hearing loss. About 20% of patients with congenital sensorineural hearing loss have a malformation of the inner ear. These abnormalities must be investigated before a cochlear implant because they can lead to intra and postoperative complications and/or anomalies. Most labyrinthine malformations are well known; some are less frequent and can be underdiagnosed at the preoperative computed tomography. This report presents the case of bilateral cochlear-facial dehiscence, bony dehiscence between the facial nerve labyrinthine segment, and cochlear basal turn. In our 56-year-old patient, this malformation was misdiagnosed before the cochlear implant and revealed afterward because of abnormal facial nerve stimulation during intraoperative electrophysiological checking.

摘要

人工耳蜗是一种可植入的听觉假体,能够恢复重度和极重度听力损失。约20%的先天性感音神经性听力损失患者存在内耳畸形。在植入人工耳蜗之前必须对这些异常情况进行检查,因为它们可能导致术中及术后并发症和/或异常。大多数内耳畸形是众所周知的;有些则较少见,在术前计算机断层扫描时可能漏诊。本报告介绍了一例双侧耳蜗-面神经裂缺的病例,即面神经迷路段与耳蜗底转之间的骨质裂缺。在我们这位56岁的患者中,这种畸形在人工耳蜗植入前被误诊,后来由于术中电生理检查时面神经刺激异常而被发现。

https://cdn.ncbi.nlm.nih.gov/pmc/blobs/f34b/10789939/9ffdf1cd2b10/gr1a.jpg

文献AI研究员

20分钟写一篇综述,助力文献阅读效率提升50倍。

立即体验

用中文搜PubMed

大模型驱动的PubMed中文搜索引擎

马上搜索

文档翻译

学术文献翻译模型,支持多种主流文档格式。

立即体验