• 文献检索
  • 文档翻译
  • 深度研究
  • 学术资讯
  • Suppr Zotero 插件Zotero 插件
  • 邀请有礼
  • 套餐&价格
  • 历史记录
应用&插件
Suppr Zotero 插件Zotero 插件浏览器插件Mac 客户端Windows 客户端微信小程序
定价
高级版会员购买积分包购买API积分包
服务
文献检索文档翻译深度研究API 文档MCP 服务
关于我们
关于 Suppr公司介绍联系我们用户协议隐私条款
关注我们

Suppr 超能文献

核心技术专利:CN118964589B侵权必究
粤ICP备2023148730 号-1Suppr @ 2026

文献检索

告别复杂PubMed语法,用中文像聊天一样搜索,搜遍4000万医学文献。AI智能推荐,让科研检索更轻松。

立即免费搜索

文件翻译

保留排版,准确专业,支持PDF/Word/PPT等文件格式,支持 12+语言互译。

免费翻译文档

深度研究

AI帮你快速写综述,25分钟生成高质量综述,智能提取关键信息,辅助科研写作。

立即免费体验

一例伴有肾发育不全的戴克-戴维多夫-马森综合征:一种罕见的关联。

A Case of Dyke-Davidoff-Masson Syndrome with Hypoplasia of the Kidney: An Unusual Association.

作者信息

Patel Prem Shankar, Krishna Amresh, Kumar Om

机构信息

Department of Nephrology, Indira Gandhi Institute of Medical Science, Patna, Bihar, India.

Department of Microbiology, All India Institute of Medical Sciences, Patna, Bihar, India.

出版信息

Int J Appl Basic Med Res. 2023 Oct-Dec;13(4):259-262. doi: 10.4103/ijabmr.ijabmr_189_23. Epub 2023 Dec 8.

DOI:10.4103/ijabmr.ijabmr_189_23
PMID:38229724
原文链接:https://pmc.ncbi.nlm.nih.gov/articles/PMC10789462/
Abstract

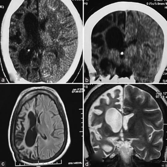
Dyke-Davidoff-Masson syndrome (DDMS) is a rare neuro-osteal syndrome of childhood and a constellation of cerebral hemiatrophy, facial asymmetry, seizures, osseous changes, and hemiplegia. It commonly presents with seizures and hemiplegia. The involvement of the kidney in DDMS is not known in the available literature, except in a case report that described ectopic kidney in DDMS. We present the case of a 15-year-old boy who presented with recurrent seizures, right facial palsy, left hemiparesis, and advanced renal failure. The neuroimaging revealed diffuse right cerebral atrophy, dilatation of the ipsilateral lateral ventricle, and ipsilateral thickening of the calvaria. The nephrological evaluation suggested the diagnosis of chronic kidney disease stage VD, probably secondary to congenital hypoplasia of the kidney.

摘要

戴克-戴维多夫-马森综合征(DDMS)是一种罕见的儿童神经骨综合征,表现为一系列症状,包括大脑半球萎缩、面部不对称、癫痫发作、骨质改变和偏瘫。它通常表现为癫痫发作和偏瘫。在现有文献中,除了一篇描述DDMS患者异位肾的病例报告外,肾脏在DDMS中的受累情况尚不清楚。我们报告一例15岁男孩,他出现反复发作的癫痫、右侧面神经麻痹、左侧偏瘫和晚期肾衰竭。神经影像学检查显示右侧大脑弥漫性萎缩、同侧侧脑室扩张和同侧颅骨增厚。肾脏科评估提示诊断为慢性肾脏病ⅤD期,可能继发于先天性肾发育不全。

https://cdn.ncbi.nlm.nih.gov/pmc/blobs/70dd/10789462/82aba7bae804/IJABMR-13-259-g002.jpg
https://cdn.ncbi.nlm.nih.gov/pmc/blobs/70dd/10789462/c53e8491a0b7/IJABMR-13-259-g001.jpg
https://cdn.ncbi.nlm.nih.gov/pmc/blobs/70dd/10789462/82aba7bae804/IJABMR-13-259-g002.jpg
https://cdn.ncbi.nlm.nih.gov/pmc/blobs/70dd/10789462/c53e8491a0b7/IJABMR-13-259-g001.jpg
https://cdn.ncbi.nlm.nih.gov/pmc/blobs/70dd/10789462/82aba7bae804/IJABMR-13-259-g002.jpg

相似文献

1
A Case of Dyke-Davidoff-Masson Syndrome with Hypoplasia of the Kidney: An Unusual Association.一例伴有肾发育不全的戴克-戴维多夫-马森综合征:一种罕见的关联。
Int J Appl Basic Med Res. 2023 Oct-Dec;13(4):259-262. doi: 10.4103/ijabmr.ijabmr_189_23. Epub 2023 Dec 8.
2
Dyke-Davidoff-Masson syndrome: A case report of an 11-year-old child managed for Erb's Palsy.戴克-戴维多夫-马森综合征:一例11岁儿童因臂丛神经麻痹接受治疗的病例报告。
Radiol Case Rep. 2024 Mar 17;19(6):2214-2217. doi: 10.1016/j.radcr.2024.02.025. eCollection 2024 Jun.
3
Dyke-Davidoff-Masson syndrome presenting as recurrent chronic headache in the late adult life.戴克-戴维多夫-马森综合征在成年后期表现为复发性慢性头痛。
Brain Circ. 2020 Jun 26;6(2):123-125. doi: 10.4103/bc.bc_45_19. eCollection 2020 Apr-Jun.
4
Dyke-Davidoff-Masson syndrome: A case report with a literature review.戴克-戴维多夫-马森综合征:一例病例报告并文献复习
Radiol Case Rep. 2022 May 28;17(8):2616-2618. doi: 10.1016/j.radcr.2022.04.047. eCollection 2022 Aug.
5
Dyke-Davidoff-Masson syndrome: A rare cause of cerebral hemiatrophy in children.戴克-戴维多夫-马森综合征:儿童大脑半球萎缩的罕见病因。
J Pediatr Neurosci. 2016 Jul-Sep;11(3):252-254. doi: 10.4103/1817-1745.193365.
6
Dyke-davidoff-masson syndrome: A case report of an adolescent boy at a tertiary hospital in Adamawa, North-Eastern Nigeria.戴克-达维多夫-马森综合征:尼日利亚东北部阿达马瓦州一家三级医院收治的一名青少年男性病例报告。
Niger J Clin Pract. 2022 Sep;25(9):1604-1607. doi: 10.4103/njcp.njcp_1955_21.
7
DYKE-DAVIDOFF-MASSON SYNDROME-A Rare Cause of Cerebral Hemiatrophy in a 17-Years-Old Ethiopian Patient: A Case Report.戴克-大卫多夫-马森综合征——一名17岁埃塞俄比亚患者脑半球萎缩的罕见病因:病例报告
Ethiop J Health Sci. 2019 Mar;29(2):287-290. doi: 10.4314/ejhs.v29i2.16.
8
Dyke-Davidoff-Masson Syndrome as a Rare Cause of Cerebral Hemiatrophy: Insights From a Case Series.戴克-戴维多夫-马森综合征作为脑半球萎缩的罕见病因:一组病例的见解
Cureus. 2024 Feb 19;16(2):e54494. doi: 10.7759/cureus.54494. eCollection 2024 Feb.
9
Refractory Seizure in Childhood: Dyke-Davidoff-Masson Syndrome Revisited.儿童难治性癫痫:再探戴克 - 戴维多夫 - 马森综合征
Oman Med J. 2016 Jul;31(4):304-8. doi: 10.5001/omj.2016.58.
10
Adult Presentation of Dyke-Davidoff-Masson Syndrome: A Case Report.成人戴克-戴维多夫-马森综合征病例报告
Case Rep Neurol. 2016 Jan 16;8(1):20-6. doi: 10.1159/000443521. eCollection 2016 Jan-Apr.

本文引用的文献

1
A Case Report on Dyke-Davidoff-Masson Syndrome: A Rare Cause of Hemiparesis.戴克-戴维多夫-马森综合征病例报告:偏瘫的罕见病因
Cureus. 2023 Feb 4;15(2):e34637. doi: 10.7759/cureus.34637. eCollection 2023 Feb.
2
Dyke-Davidoff-Masson syndrome: A case report with a literature review.戴克-戴维多夫-马森综合征:一例病例报告并文献复习
Radiol Case Rep. 2022 May 28;17(8):2616-2618. doi: 10.1016/j.radcr.2022.04.047. eCollection 2022 Aug.
3
An Adult With Dyke-Davidoff-Masson Syndrome: A Case Report.一名患有戴克-戴维多夫-马森综合征的成年人:病例报告。
Cureus. 2022 Mar 19;14(3):e23315. doi: 10.7759/cureus.23315. eCollection 2022 Mar.
4
Dyke-Davidoff-Masson Syndrome: A Case Report and Review of Literature.戴克-戴维多夫-马森综合征:一例报告及文献综述
Cureus. 2020 Dec 5;12(12):e11919. doi: 10.7759/cureus.11919.
5
Adult Presentation of Dyke-Davidoff-Masson Syndrome: A Case Report.成人戴克-戴维多夫-马森综合征病例报告
Case Rep Neurol. 2016 Jan 16;8(1):20-6. doi: 10.1159/000443521. eCollection 2016 Jan-Apr.
6
Dyke-Davidoff-Masson syndrome (DDMS).戴克-戴维多夫-马森综合征(DDMS)。
Indian J Pediatr. 2004 Oct;71(10):943. doi: 10.1007/BF02830843.
7
Left hemisphere and male sex dominance of cerebral hemiatrophy (Dyke-Davidoff-Masson Syndrome).大脑半球萎缩(戴克-戴维多夫-马森综合征)的左半球及男性优势
Clin Imaging. 2004 May-Jun;28(3):163-5. doi: 10.1016/S0899-7071(03)00158-X.