Suppr超能文献

自身免疫性肝炎:从演变到现状——一位病理学家的视角

Autoimmune Hepatitis: From Evolution to Current Status-A Pathologist's Perspective.

作者信息

Sakhuja Puja, Goyal Surbhi

机构信息

Department of Pathology, Govind Ballabh Pant Institute of Postgraduate Medical Education and Research, New Delhi 110002, India.

出版信息

Diagnostics (Basel). 2024 Jan 18;14(2):210. doi: 10.3390/diagnostics14020210.

Abstract

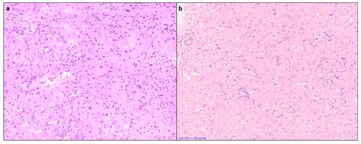
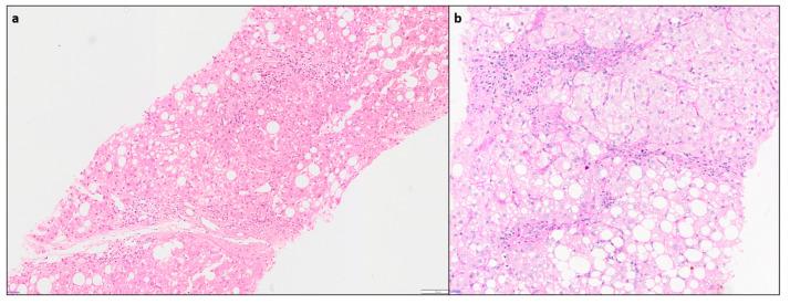
Autoimmune hepatitis (AIH) is a chronic, relapsing and remitting, immune-mediated liver disease that progresses to cirrhosis if left untreated. A significant number of patients may present with acute hepatitis or acute liver failure, which are often misdiagnosed as toxic liver injury. AIH shows a preponderance in young women but may be seen in children and the elderly. Diagnosis requires the integration of clinical, biochemical, and serologic parameters, along with supportive liver histology and exclusion of other causes of liver disease. Liver biopsy is a prerequisite for diagnosis of AIH, to assess severity and stage of disease, exclude other entities, and recognize any concurrent morbidities. No single biomarker or histologic feature is pathognomonic for AIH. The diagnostic and histologic criteria have undergone several modifications since the original scoring system was proposed by the International Autoimmune Hepatitis Group (IAIHG) in 1993. Recently, the IAIHG has proposed consensus recommendations for histologic criteria, relevant for both acute and chronic AIH. This review article will describe the evolving diagnostic criteria for AIH, with their limitations and utility, and with an emphasis on the role of liver histology in the diagnosis and management of AIH.

摘要

自身免疫性肝炎(AIH)是一种慢性、复发缓解型、免疫介导的肝脏疾病,若不治疗会进展为肝硬化。相当一部分患者可能表现为急性肝炎或急性肝衰竭,常被误诊为中毒性肝损伤。AIH在年轻女性中更为常见,但也可见于儿童和老年人。诊断需要综合临床、生化和血清学参数,以及支持性的肝脏组织学检查并排除其他肝病病因。肝活检是诊断AIH的先决条件,用于评估疾病的严重程度和分期、排除其他疾病,并识别任何并发疾病。没有单一的生物标志物或组织学特征对AIH具有诊断特异性。自国际自身免疫性肝炎小组(IAIHG)于1993年提出最初的评分系统以来,诊断和组织学标准已经历了多次修改。最近,IAIHG提出了与急性和慢性AIH均相关的组织学标准的共识建议。这篇综述文章将描述AIH不断演变的诊断标准,及其局限性和实用性,并重点强调肝脏组织学在AIH诊断和管理中的作用。

https://cdn.ncbi.nlm.nih.gov/pmc/blobs/2cdb/10814110/f2ce0d1e78c8/diagnostics-14-00210-g001.jpg

相似文献

1
Autoimmune Hepatitis: From Evolution to Current Status-A Pathologist's Perspective.
Diagnostics (Basel). 2024 Jan 18;14(2):210. doi: 10.3390/diagnostics14020210.
2
Comparison of four histological scoring systems for autoimmune hepatitis to improve diagnostic sensitivity.
Clin Mol Hepatol. 2024 Jan;30(1):37-48. doi: 10.3350/cmh.2023.0325. Epub 2023 Nov 13.
5
External validation of the IAIHG autoimmune hepatitis response criteria in a multicentric real-world cohort.
JHEP Rep. 2024 Jun 23;6(9):101149. doi: 10.1016/j.jhepr.2024.101149. eCollection 2024 Sep.
7
Validation of the simplified criteria for diagnosis of autoimmune hepatitis in Chinese patients.
J Hepatol. 2011 Feb;54(2):340-7. doi: 10.1016/j.jhep.2010.06.032. Epub 2010 Sep 15.
9
Diagnostic value and utility of the simplified International Autoimmune Hepatitis Group criteria in acute-onset autoimmune hepatitis.
Liver Int. 2011 Aug;31(7):1013-20. doi: 10.1111/j.1478-3231.2011.02524.x. Epub 2011 Apr 5.
10
Autoimmune hepatitis-PBC overlap syndrome: a simplified scoring system may assist in the diagnosis.
Am J Gastroenterol. 2010 Feb;105(2):345-53. doi: 10.1038/ajg.2009.616. Epub 2009 Nov 3.

引用本文的文献

1
Assessment of infection in Iranian cirrhotic patients on the waiting list for liver transplantation: A cross-sectional analysis.
New Microbes New Infect. 2024 Oct 2;62:101496. doi: 10.1016/j.nmni.2024.101496. eCollection 2024 Dec.

本文引用的文献

2
Limitation of the simplified scoring system for the diagnosis of autoimmune Hepatitis with acute onset.
Liver Int. 2021 Mar;41(3):529-534. doi: 10.1111/liv.14778. Epub 2021 Jan 10.
4
Post-infantile giant cell hepatitis: A single center's experience over 25 years.
World J Hepatol. 2019 Dec 27;11(12):752-760. doi: 10.4254/wjh.v11.i12.752.
6
Systematic review and meta-analysis on the incidence and prevalence of autoimmune hepatitis in Asian, European, and American population.
J Gastroenterol Hepatol. 2019 Oct;34(10):1676-1684. doi: 10.1111/jgh.14746. Epub 2019 Jul 7.
7
Development and validation of a new simplified diagnostic scoring system for pediatric autoimmune hepatitis.
Dig Liver Dis. 2019 Sep;51(9):1308-1313. doi: 10.1016/j.dld.2019.02.018. Epub 2019 Mar 28.
8
Histologic features of autoimmune hepatitis: a critical appraisal.
Hum Pathol. 2018 Dec;82:51-60. doi: 10.1016/j.humpath.2018.07.014. Epub 2018 Jul 21.
9
Autoantibodies in Autoimmune Liver Disease-Clinical and Diagnostic Relevance.
Front Immunol. 2018 Mar 27;9:609. doi: 10.3389/fimmu.2018.00609. eCollection 2018.
10
Clinical features of autoimmune hepatitis with acute presentation: a Japanese nationwide survey.
J Gastroenterol. 2018 Sep;53(9):1079-1088. doi: 10.1007/s00535-018-1444-4. Epub 2018 Feb 23.

文献AI研究员

20分钟写一篇综述,助力文献阅读效率提升50倍。

立即体验

用中文搜PubMed

大模型驱动的PubMed中文搜索引擎

马上搜索

文档翻译

学术文献翻译模型,支持多种主流文档格式。

立即体验