Suppr超能文献

大麻相关性气胸:一例报告

Cannabis-Associated Pneumothorax: A Case Report.

作者信息

Mensah Dennis N, Livingston Jonathan, Maddukuri Vasudha

机构信息

Internal Medicine, New York Medical College at St. Mary's General Hospital and St. Clare's Health, Denville, USA.

Pulmonary and Critical Care Medicine, Johns Hopkins University School of Medicine, Baltimore, USA.

出版信息

Cureus. 2023 Dec 20;15(12):e50825. doi: 10.7759/cureus.50825. eCollection 2023 Dec.

Abstract

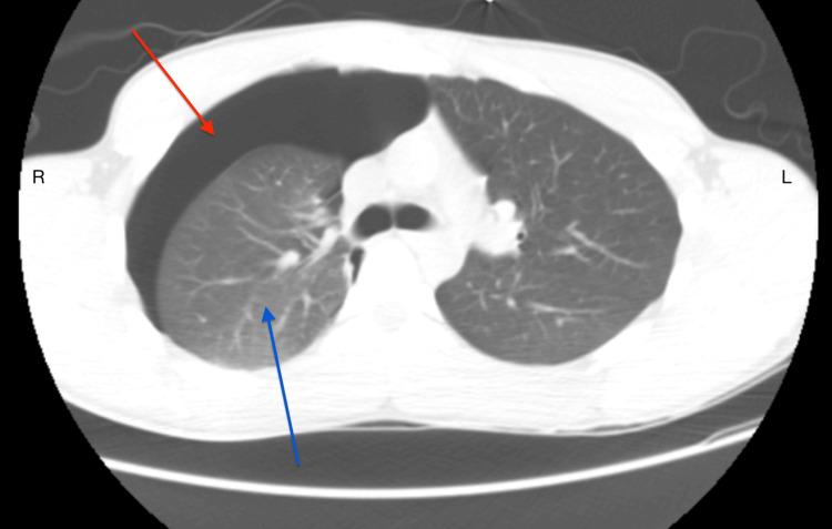
The use of cannabis for therapeutic and recreational purposes has been on the rise in recent years. This has increased the prevalence of cannabis use disorder across various demographic subgroups. A recent medical literature review describes a few cases demonstrating the association of spontaneous pneumothorax and bullous lung disease in cannabis users without concomitant tobacco use. We herein present a case report of a young male with chronic cannabis use who presented with right-sided spontaneous pneumothorax and bilateral apical blebs.

摘要

近年来,大麻用于治疗和娱乐目的的情况呈上升趋势。这导致大麻使用障碍在不同人口亚组中的患病率有所增加。最近一篇医学文献综述描述了一些案例,这些案例表明在不伴有烟草使用的大麻使用者中,存在自发性气胸与肺大疱疾病的关联。我们在此报告一例长期使用大麻的年轻男性病例,该患者出现右侧自发性气胸和双侧肺尖部肺大疱。

https://cdn.ncbi.nlm.nih.gov/pmc/blobs/3c46/10797579/be17f50e87b5/cureus-0015-00000050825-i01.jpg

文献AI研究员

20分钟写一篇综述,助力文献阅读效率提升50倍。

立即体验

用中文搜PubMed

大模型驱动的PubMed中文搜索引擎

马上搜索

文档翻译

学术文献翻译模型,支持多种主流文档格式。

立即体验