Suppr超能文献

1例误诊为湿疹的嗜酸性脓疱性毛囊炎

A Case of Eosinophilic Pustular Folliculitis Misdiagnosed as Eczema.

作者信息

Li Yuan, Yang Xianxu, Lu Jiejie, Chen Kai, Wu Weiwei, Zhang Ming, Li Wanni

机构信息

Department of Cosmetic Dermatology, The Fifth People's Hospital of Hainan Province, Haikou, Hainan, People's Republic of China.

Department of Dermatology, The First Affiliated Hospital of Nanjing Medical University, Nanjing, Jiangsu, People's Republic of China.

出版信息

Clin Cosmet Investig Dermatol. 2024 Jan 24;17:199-204. doi: 10.2147/CCID.S445760. eCollection 2024.

Abstract

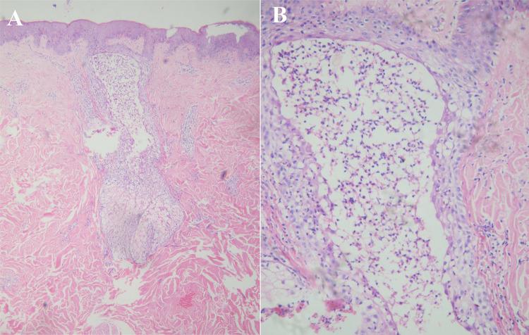
Eosinophilic pustular folliculitis (EPF) is a rare skin disease. The typical skin lesions of classic EPF are localized on the upper limbs' face, trunk, and extensor surfaces. However, when the skin lesions initially appear on the palms and soles, it is not easy to diagnose as EPF. Here, we report a case of a male patient who presented with erythematous plaques, pustules, and crusted erosions on the hands and feet, which were misdiagnosed as eczema ten years ago. Over ten years, the patient experienced recurrent erythematous patches with bumps and itching on the face, trunk, and extremities after improving the hand and foot lesions. A histopathological biopsy was performed to establish a definitive diagnosis, revealing pustules formed by eosinophilic infiltrates within the hair follicles. The diagnosis was confirmed as eosinophilic pustular folliculitis. The patient was treated with oral indomethacin at a dosage of 75mg/day, resulting in the disappearance of the skin lesions. After a 3-month follow-up, no recurrence was observed.

摘要

嗜酸性脓疱性毛囊炎(EPF)是一种罕见的皮肤病。经典EPF的典型皮肤损害局限于上肢、面部、躯干和伸侧表面。然而,当皮肤损害最初出现在手掌和脚底时,很难诊断为EPF。在此,我们报告一例男性患者,其手脚出现红斑、脓疱和结痂糜烂,十年前被误诊为湿疹。十多年来,该患者在手脚皮损改善后,面部、躯干和四肢反复出现伴有丘疹和瘙痒的红斑。进行组织病理学活检以明确诊断,结果显示毛囊内有嗜酸性粒细胞浸润形成的脓疱。确诊为嗜酸性脓疱性毛囊炎。患者接受口服吲哚美辛治疗,剂量为75mg/天,皮肤损害消失。经过3个月的随访,未观察到复发。

https://cdn.ncbi.nlm.nih.gov/pmc/blobs/f905/10822092/d18e8b0165d8/CCID-17-199-g0001.jpg

文献AI研究员

20分钟写一篇综述,助力文献阅读效率提升50倍。

立即体验

用中文搜PubMed

大模型驱动的PubMed中文搜索引擎

马上搜索

文档翻译

学术文献翻译模型,支持多种主流文档格式。

立即体验