Suppr超能文献

整合RNA测序和网络分析以探究外用片仔癀治疗糖尿病伤口的机制。

Integrating RNA-sequencing and network analysis to explore the mechanism of topical Pien Tze Huang treatment on diabetic wounds.

作者信息

Cao Guang-Zhao, Tian Liang-Liang, Hou Jing-Yi, Zhang Yi, Xu He, Yang Hong-Jun, Zhang Jing-Jing

机构信息

Institute of Chinese Materia Medica, China Academy of Chinese Medical Sciences, Beijing, China.

Experimental Research Center, China Academy of Chinese Medical Sciences, Beijing, China.

出版信息

Front Pharmacol. 2024 Jan 16;14:1288406. doi: 10.3389/fphar.2023.1288406. eCollection 2023.

Abstract

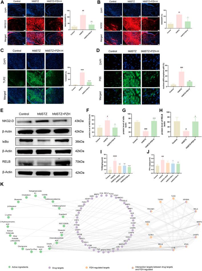
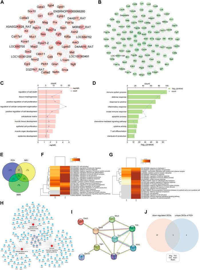
Diabetic ulcers have become one of the major complications of diabetes mellitus (DM) and are a leading cause of death and disabling disease. However, current therapies are not effective enough to meet clinical needs. A traditional Chinese medicine (TCM) formula, Pien Tze Huang (PZH), is known as a medicine that is used to treat diabetic ulcers. In this study, PZH (0.05 g/cm and 0.15 g/cm) and the positive drug-rhEGF were topically administered in a high-fat diet (HFD) and streptozotocin (STZ)-induced diabetic full-thickness incisional wounds, respectively. Wound healing was assessed by wound closure rate, two-photon microscope (SHG), staining with Hematoxylin and eosin (H&E), and Masson's trichrome (MTC). Then, RNA sequencing (RNA-seq) analysis, Enzyme-linked immunosorbent assay (ELISA), western blotting, and immunofluorescence (IF), network analysis, were performed. The results showed that PZH significantly accelerated wound healing, as well as enhanced the expression of collagen. RNA-seq analysis showed that PZH has functions on various biological processes, one of the key biological processes is inflammatory response. Tlr9, Klrk1, Nod2, Tlr2, and Ifng were identified as vital targets and the NF-κB signaling pathway was identified as the vital pathway. Additionally, PZH profoundly reduced the levels of Cleaved caspase-3 and promoted the expression of CD31 and TGF-β1. Mechanically, PZH significantly decreased expression of NKG2-D, NOD2, and TLR2, and further inhibited the activation of downstream NF-κB signaling pathway and inhibited expression of inflammatory factors (IFN-γ and IL-1β). Importantly, we found that several active ingredients may play a significant role in diabetic wound healing, including Notoginsenoside R1, Deoxycorticosterone, Ursolic acid, and 4-Methoxyphenol. In summary, our study sheds light on the complicated mechanisms underlying the promising anti-diabetic wounds of PZH and provides the discovery of agents treating diabetic ulcers.

摘要

糖尿病溃疡已成为糖尿病(DM)的主要并发症之一,是导致死亡和致残性疾病的主要原因。然而,目前的治疗方法在满足临床需求方面效果不够显著。一种中药配方片仔癀(PZH),被认为是一种可用于治疗糖尿病溃疡的药物。在本研究中,分别将PZH(0.05 g/cm和0.15 g/cm)及阳性药物重组人表皮生长因子(rhEGF)局部应用于高脂饮食(HFD)和链脲佐菌素(STZ)诱导的糖尿病全层切口创面。通过伤口闭合率、双光子显微镜(SHG)、苏木精和伊红(H&E)染色以及Masson三色染色(MTC)来评估伤口愈合情况。然后,进行RNA测序(RNA-seq)分析、酶联免疫吸附测定(ELISA)、蛋白质免疫印迹法和免疫荧光(IF)以及网络分析。结果表明,PZH显著加速了伤口愈合,并增强了胶原蛋白的表达。RNA-seq分析表明,PZH在多种生物学过程中发挥作用,其中关键的生物学过程之一是炎症反应。Tlr9、Klrk1、Nod2、Tlr2和Ifng被确定为重要靶点,NF-κB信号通路被确定为重要通路。此外,PZH显著降低了半胱天冬酶-3(Cleaved caspase-3)的水平,并促进了CD31和转化生长因子-β1(TGF-β1)的表达。从机制上讲,PZH显著降低了自然杀伤细胞2D(NKG2-D)、NOD2和Toll样受体2(TLR2)的表达,并进一步抑制了下游NF-κB信号通路的激活,抑制了炎症因子(干扰素-γ(IFN-γ)和白细胞介素-1β(IL-1β))的表达。重要的是,我们发现几种活性成分可能在糖尿病伤口愈合中发挥重要作用,包括三七皂苷R1、脱氧皮质酮、熊果酸和4-甲氧基苯酚。总之,我们的研究揭示了PZH在抗糖尿病伤口方面有前景的复杂机制,并为治疗糖尿病溃疡的药物发现提供了依据。

https://cdn.ncbi.nlm.nih.gov/pmc/blobs/2442/10826880/51cdaf5653a4/fphar-14-1288406-g001.jpg

文献检索

告别复杂PubMed语法,用中文像聊天一样搜索,搜遍4000万医学文献。AI智能推荐,让科研检索更轻松。

立即免费搜索

文件翻译

保留排版,准确专业,支持PDF/Word/PPT等文件格式,支持 12+语言互译。

免费翻译文档

深度研究

AI帮你快速写综述,25分钟生成高质量综述,智能提取关键信息,辅助科研写作。

立即免费体验