Division of Developmental and Stem Cell Biology, Institute for Quantitative Health Science and Engineering, Michigan State University, East Lansing, MI, USA; Department of Biomedical Engineering, College of Engineering, Michigan State University, East Lansing, MI, USA.
Division of Developmental and Stem Cell Biology, Institute for Quantitative Health Science and Engineering, Michigan State University, East Lansing, MI, USA; Division of Neonatology, Department of Pediatrics and Human Development, College of Human Medicine, Michigan State University, East Lansing, MI, USA.
Stem Cell Reports. 2024 Mar 12;19(3):317-330. doi: 10.1016/j.stemcr.2024.01.003. Epub 2024 Feb 8.
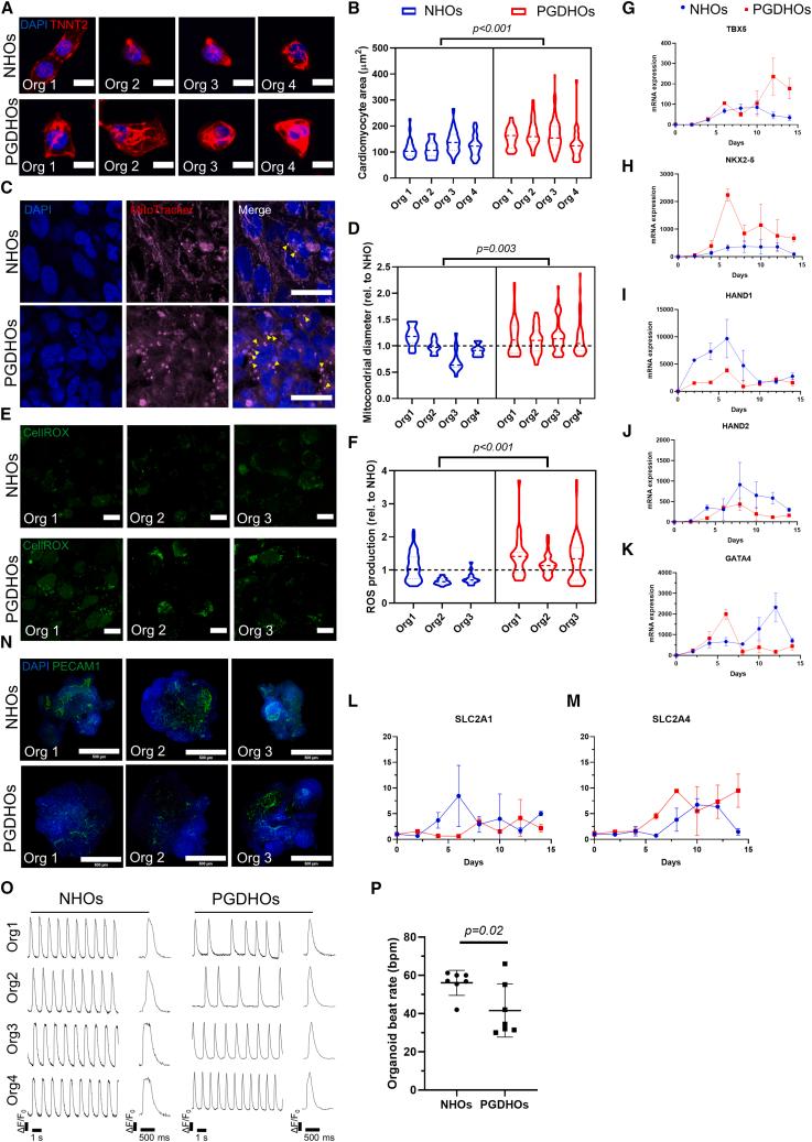
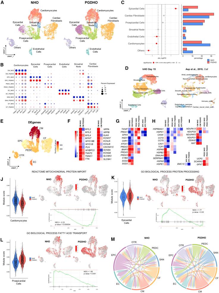
Congenital heart defects are the most prevalent human birth defects, and their incidence is exacerbated by maternal health conditions, such as diabetes during the first trimester (pregestational diabetes). Our understanding of the pathology of these disorders is hindered by a lack of human models and the inaccessibility of embryonic tissue. Using an advanced human heart organoid system, we simulated embryonic heart development under pregestational diabetes-like conditions. These organoids developed pathophysiological features observed in mouse and human studies before, including ROS-mediated stress and cardiomyocyte hypertrophy. scRNA-seq revealed cardiac cell-type-specific dysfunction affecting epicardial and cardiomyocyte populations and alterations in the endoplasmic reticulum and very-long-chain fatty acid lipid metabolism. Imaging and lipidomics confirmed these findings and showed that dyslipidemia was linked to fatty acid desaturase 2 mRNA decay dependent on IRE1-RIDD signaling. Targeting IRE1 or restoring lipid levels partially reversed the effects of pregestational diabetes, offering potential preventive and therapeutic strategies in humans.
先天性心脏缺陷是最常见的人类出生缺陷,其发病率因母体健康状况而加剧,如孕早期(妊娠前糖尿病)的糖尿病。由于缺乏人类模型和胚胎组织无法获取,我们对这些疾病的病理学的理解受到阻碍。我们使用先进的人类心脏类器官系统,模拟了妊娠前糖尿病样条件下的胚胎心脏发育。这些类器官表现出了之前在小鼠和人类研究中观察到的病理生理特征,包括 ROS 介导的应激和心肌细胞肥大。scRNA-seq 揭示了影响心外膜和心肌细胞群体的心脏细胞类型特异性功能障碍,以及内质网和超长链脂肪酸脂质代谢的改变。成像和脂质组学证实了这些发现,并表明血脂异常与依赖 IRE1-RIDD 信号的脂肪酸去饱和酶 2 mRNA 降解有关。靶向 IRE1 或恢复脂质水平部分逆转了妊娠前糖尿病的影响,为人类提供了潜在的预防和治疗策略。