Suppr超能文献

定制和预制愈合基台对即刻种植部位种植体周围软组织和骨组织的影响:一项随机对照试验。

Effect of Customized and Prefabricated Healing Abutments on Peri-Implant Soft Tissue and Bone in Immediate Implant Sites: A Randomized Controlled Trial.

作者信息

Chokaree Parima, Poovarodom Pongsakorn, Chaijareenont Pisaisit, Rungsiyakull Pimduen

机构信息

Department of Prosthodontics, Faculty of Dentistry, Chiang Mai University, Chiang Mai 50200, Thailand.

出版信息

J Clin Med. 2024 Feb 2;13(3):886. doi: 10.3390/jcm13030886.

Abstract

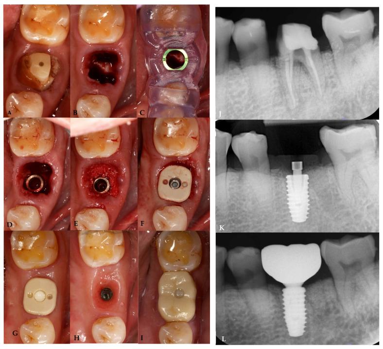
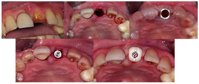
This study aimed to evaluate the effect of customized healing abutments compared to prefabricated healing abutments in immediate implant sites. Twelve patients requiring single immediate implant placement were divided into two groups: a prefabricated group received prefabricated titanium healing abutments, and a customized group received a polyetheretherketone (PEEK) customized healing abutments fabricated based on the individuals' digital impressions. Outcomes, including peri-implant horizontal and vertical soft tissue alteration, bone level change, volume change, pain score, and pink esthetic score (PES) change, were evaluated at the 1-, 4-, and 6-month follow-ups compared to pre-extraction teeth. At the 1- and 4-month follow-ups, the customized group had a significantly lower buccal volume variation (BVv). At the 6-month follow-up, neither group showed any significant difference in the marginal bone change; however, the customized group had a significantly lower PES change and a lower pain score. In the anterior and premolar regions, the customized group showed the preservation of peri-implant buccal horizontal soft tissue and buccal volume, while in the molar regions, the preservation of papilla height and midfacial height was observed. The morphology of the customized healing abutment demonstrated a better trend in preservation of peri-implant soft tissue, esthetic outcomes, and lower patient discomfort in immediate implant sites.

摘要

本研究旨在评估在即刻种植位点使用定制愈合基台与预制愈合基台相比的效果。12例需要进行单颗即刻种植的患者被分为两组:预制组接受预制钛愈合基台,定制组接受基于个体数字化印模制作的聚醚醚酮(PEEK)定制愈合基台。与拔牙前的牙齿相比,在1个月、4个月和6个月的随访中评估各项结果,包括种植体周围水平和垂直软组织变化、骨水平变化、体积变化、疼痛评分和粉色美学评分(PES)变化。在1个月和4个月的随访中,定制组的颊侧体积变化(BVv)显著更低。在6个月的随访中,两组在边缘骨变化方面均未显示出任何显著差异;然而,定制组的PES变化显著更低且疼痛评分更低。在前牙区和前磨牙区,定制组显示出种植体周围颊侧水平软组织和颊侧体积得以保留,而在磨牙区,则观察到龈乳头高度和面部中部高度得以保留。定制愈合基台的形态在即刻种植位点的种植体周围软组织保留、美学效果以及降低患者不适感方面呈现出更好的趋势。

https://cdn.ncbi.nlm.nih.gov/pmc/blobs/ab9a/10856257/fda45f3d2dbf/jcm-13-00886-g001.jpg

文献检索

告别复杂PubMed语法,用中文像聊天一样搜索,搜遍4000万医学文献。AI智能推荐,让科研检索更轻松。

立即免费搜索

文件翻译

保留排版,准确专业,支持PDF/Word/PPT等文件格式,支持 12+语言互译。

免费翻译文档

深度研究

AI帮你快速写综述,25分钟生成高质量综述,智能提取关键信息,辅助科研写作。

立即免费体验