Department of General Surgery, The First Affiliated Hospital with Nanjing Medical University, Nanjing, Jiangsu, 210029, P. R. China.
The First School of Clinical Medicine, Nanjing Medical University, Nanjing, 210029, China.
Adv Sci (Weinh). 2024 Apr;11(15):e2304222. doi: 10.1002/advs.202304222. Epub 2024 Feb 11.
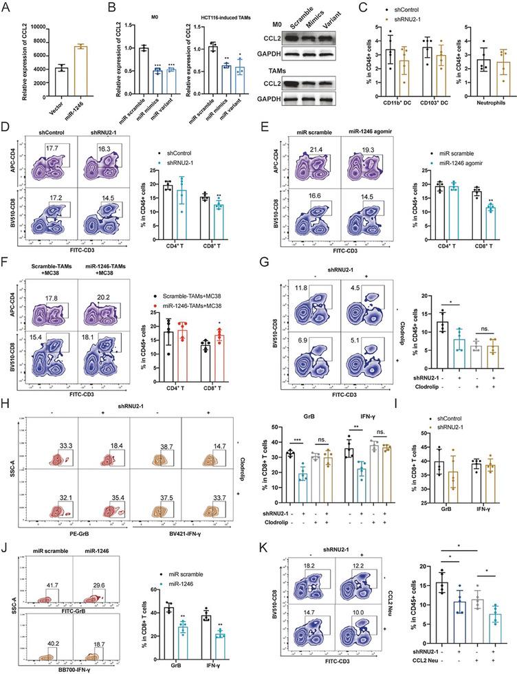
Tumor-associated macrophages (TAMs) play a crucial role in promoting tumor growth and dissemination, motivating a search for key targets to interfere with the activation of TAMs or reprogram TAMs into the tumor-suppressive type. To gain insight into the mechanisms of macrophage polarization, a designed co-culture system is established, allowing for the education of macrophages in a manner that closely mimics the intricacies of TAMs in the tumor immune microenvironment (TIME). Through database mining, exosomal miR-1246 is identified and is then validated. Exosomal miR-1246-driven polarization of TAMs disrupts the infiltration and function of CD8 T cells. Mechanically, the amassment of exosomal miR-1246 stems from TUT7-mediated degradation of small noncoding RNA, a process stabilized by SNRPB, but not the precursor of miR-1246. Moreover, an Exo-motif is present in the exosomal miR-1246 sequence, enabling it to bind with the exosomal sorting protein hnRNPA2B1. RNA-seq analysis reveals that exogenous miR-1246 modulates the polarization of TAMs at a post-transcriptional level, emphasizing the pivotal role of the NLRP3 in macrophage polarization. In conclusion, the findings underscore the importance of exosomal miR-1246 as a trigger of macrophage reprogramming and uncover a novel mechanism for its enhanced presence in the TIME.
肿瘤相关巨噬细胞(TAMs)在促进肿瘤生长和扩散方面发挥着关键作用,这促使人们寻找关键靶点来干扰 TAMs 的激活或将 TAMs 重编程为肿瘤抑制型。为了深入了解巨噬细胞极化的机制,建立了一个设计好的共培养系统,使巨噬细胞能够以一种非常类似于肿瘤免疫微环境(TIME)中 TAMs 复杂性的方式被教育。通过数据库挖掘,鉴定出了外泌体 miR-1246,并对其进行了验证。外泌体 miR-1246 驱动 TAMs 的极化会破坏 CD8 T 细胞的浸润和功能。从机制上讲,外泌体 miR-1246 的大量积累源自 TUT7 介导的小非编码 RNA 的降解,这一过程由 SNRPB 稳定,但不是 miR-1246 的前体。此外,外泌体 miR-1246 序列中存在 Exo-motif,使其能够与外泌体分选蛋白 hnRNPA2B1 结合。RNA-seq 分析表明,外源性 miR-1246 在转录后水平调节 TAMs 的极化,强调了 NLRP3 在巨噬细胞极化中的关键作用。总之,这些发现强调了外泌体 miR-1246 作为巨噬细胞重编程触发因子的重要性,并揭示了其在 TIME 中丰度增加的新机制。