• 文献检索
  • 文档翻译
  • 深度研究
  • 学术资讯
  • Suppr Zotero 插件Zotero 插件
  • 邀请有礼
  • 套餐&价格
  • 历史记录
应用&插件
Suppr Zotero 插件Zotero 插件浏览器插件Mac 客户端Windows 客户端微信小程序
定价
高级版会员购买积分包购买API积分包
服务
文献检索文档翻译深度研究API 文档MCP 服务
关于我们
关于 Suppr公司介绍联系我们用户协议隐私条款
关注我们

Suppr 超能文献

核心技术专利:CN118964589B侵权必究
粤ICP备2023148730 号-1Suppr @ 2026

文献检索

告别复杂PubMed语法,用中文像聊天一样搜索,搜遍4000万医学文献。AI智能推荐,让科研检索更轻松。

立即免费搜索

文件翻译

保留排版,准确专业,支持PDF/Word/PPT等文件格式,支持 12+语言互译。

免费翻译文档

深度研究

AI帮你快速写综述,25分钟生成高质量综述,智能提取关键信息,辅助科研写作。

立即免费体验

产生具有类似天然生化和生物物理特性的多二硫键结合的严重急性呼吸综合征冠状病毒2(SARS-CoV-2)奥密克戎BA.5受体结合域(RBD)

production of a multi-disulfide bonded SARS-CoV-2 Omicron BA.5 RBD exhibiting native-like biochemical and biophysical properties.

作者信息

Wongnak Rawiwan, Brindha Subbaian, Yoshizue Takahiro, Onchaiya Sawaros, Mizutani Kenji, Kuroda Yutaka

机构信息

Department of Biotechnology and Life Science, Faculty of Engineering, Tokyo University of Agriculture and Technology, Koganei, Tokyo 184-8588, Japan.

Institute of Global Innovation Research, Tokyo University of Agriculture and Technology, Fuchu, Tokyo 183-8538, Japan.

出版信息

Biophys Physicobiol. 2023 Sep 21;20(4):e200036. doi: 10.2142/biophysico.bppb-v20.0036. eCollection 2023.

DOI:10.2142/biophysico.bppb-v20.0036
PMID:38344033
原文链接:https://pmc.ncbi.nlm.nih.gov/articles/PMC10850476/
Abstract

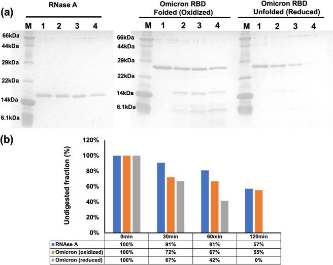
Low-cost bacterial production of the receptor binding domain (RBD) of the SARS-CoV-2 Omicron spike protein holds significant potential in expediting the development of therapeutics against COVID-19. However, RBD contains eight cysteines forming four disulfide bonds, and expression in using standard protocols produces insoluble RBD forming non-native disulfide bonds. Here, we expressed RBD in T7 SHuffle with high aeration, which enhanced disulfide formation in the cytoplasm and reshuffling of non-native disulfide bonds, and at a low temperature of 16°C, which stabilized the native conformation and thus the formation of the native disulfide bonds. The yield of RBD was as high as 3 mg per 200 mL culture. We analyzed the conformational and biophysical properties of our -expressed RBD. First, the RP-HPLC elution profile indicated a single peak, suggesting that RBD was folded with a single disulfide bond pairing pattern. Next, circular dichroism analysis indicated a secondary structure content very close to that computed from the crystal structure. RBD's thermal denaturation monitored by CD was cooperative, strongly indicating a well-folded protein structure. Moreover, limited proteolysis showed that RBD was nearly as stable as RNase A, and the formation of native disulfide bonds was confirmed by LC-MS analysis. Furthermore, BLI analysis indicated a strong binding of RBD with the hACE2 with a dissociation constant of 0.83 nM, confirming the folded nature of RBD. Altogether, these results demonstrate that our -expression system can provide a large amount of highly purified RBD with correct disulfide bonds and native-like biochemical and biophysical properties.

摘要

低成本细菌生产严重急性呼吸综合征冠状病毒2(SARS-CoV-2)奥密克戎刺突蛋白的受体结合域(RBD)在加速抗2019冠状病毒病(COVID-19)治疗药物的开发方面具有巨大潜力。然而,RBD包含八个形成四个二硫键的半胱氨酸,使用标准方案在大肠杆菌中表达会产生形成非天然二硫键的不溶性RBD。在此,我们在大肠杆菌T7 SHuffle中高通气条件下表达RBD,这增强了细胞质中二硫键的形成以及非天然二硫键的重排,并且在16°C的低温下表达,这稳定了天然构象从而促进天然二硫键的形成。RBD的产量高达每200 mL培养物3 mg。我们分析了大肠杆菌表达的RBD的构象和生物物理特性。首先,反相高效液相色谱(RP-HPLC)洗脱图谱显示为单峰,表明RBD以单一二硫键配对模式折叠。其次,圆二色性分析表明二级结构含量与根据晶体结构计算得出的非常接近。通过圆二色性监测的RBD的热变性是协同的,强烈表明蛋白质结构折叠良好。此外,有限蛋白酶解表明RBD几乎与核糖核酸酶A一样稳定,并且通过液相色谱-质谱(LC-MS)分析证实了天然二硫键的形成。此外,生物层干涉(BLI)分析表明RBD与人类血管紧张素转换酶2(hACE2)有很强的结合,解离常数为0.83 nM,证实了RBD的折叠性质。总之,这些结果表明我们的大肠杆菌表达系统可以提供大量具有正确二硫键以及类似天然生化和生物物理特性的高度纯化的RBD。

https://cdn.ncbi.nlm.nih.gov/pmc/blobs/ed85/10850476/2b9478a503bb/20_e200036-g004.jpg
https://cdn.ncbi.nlm.nih.gov/pmc/blobs/ed85/10850476/340bc19e81f0/20_e200036-g001.jpg
https://cdn.ncbi.nlm.nih.gov/pmc/blobs/ed85/10850476/71b14d17e9ff/20_e200036-g002.jpg
https://cdn.ncbi.nlm.nih.gov/pmc/blobs/ed85/10850476/a7e843059378/20_e200036-g003.jpg
https://cdn.ncbi.nlm.nih.gov/pmc/blobs/ed85/10850476/2b9478a503bb/20_e200036-g004.jpg
https://cdn.ncbi.nlm.nih.gov/pmc/blobs/ed85/10850476/340bc19e81f0/20_e200036-g001.jpg
https://cdn.ncbi.nlm.nih.gov/pmc/blobs/ed85/10850476/71b14d17e9ff/20_e200036-g002.jpg
https://cdn.ncbi.nlm.nih.gov/pmc/blobs/ed85/10850476/a7e843059378/20_e200036-g003.jpg
https://cdn.ncbi.nlm.nih.gov/pmc/blobs/ed85/10850476/2b9478a503bb/20_e200036-g004.jpg

相似文献

1
production of a multi-disulfide bonded SARS-CoV-2 Omicron BA.5 RBD exhibiting native-like biochemical and biophysical properties.产生具有类似天然生化和生物物理特性的多二硫键结合的严重急性呼吸综合征冠状病毒2(SARS-CoV-2)奥密克戎BA.5受体结合域(RBD)
Biophys Physicobiol. 2023 Sep 21;20(4):e200036. doi: 10.2142/biophysico.bppb-v20.0036. eCollection 2023.
2
An Expressed Multi-Disulfide Bonded SARS-CoV-2 RBD Shows Native-like Biophysical Properties and Elicits Neutralizing Antisera in a Mouse Model.一种表达的多硫键结合 SARS-CoV-2 RBD 表现出类似天然的生物物理特性,并在小鼠模型中引发中和抗体。
Int J Mol Sci. 2022 Dec 12;23(24):15744. doi: 10.3390/ijms232415744.
3
A Multi-Disulfide Receptor-Binding Domain (RBD) of the SARS-CoV-2 Spike Protein Expressed in Using a SEP-Tag Produces Antisera Interacting with the Mammalian Cell Expressed Spike (S1) Protein.利用 SEP-Tag 在 中表达的 SARS-CoV-2 刺突蛋白的多二硫键受体结合域(RBD)产生与哺乳动物细胞表达的刺突(S1)蛋白相互作用的抗血清。
Int J Mol Sci. 2022 Feb 1;23(3):1703. doi: 10.3390/ijms23031703.
4
Design and Expression of a Natively Folded Multi-Disulfide Bonded Influenza H1N1-PR8 Receptor-Binding Domain (RBD).设计与表达天然折叠的含多个二硫键的流感 H1N1-PR8 受体结合域(RBD)。
Int J Mol Sci. 2024 Apr 1;25(7):3943. doi: 10.3390/ijms25073943.
5
Functional Expression of the Recombinant Spike Receptor Binding Domain of SARS-CoV-2 Omicron in the Periplasm of .严重急性呼吸综合征冠状病毒2奥密克戎重组刺突受体结合域在……周质中的功能表达
Bioengineering (Basel). 2022 Nov 10;9(11):670. doi: 10.3390/bioengineering9110670.
6
Disulfide Bonds Play a Critical Role in the Structure and Function of the Receptor-binding Domain of the SARS-CoV-2 Spike Antigen.二硫键在 SARS-CoV-2 刺突抗原受体结合域的结构和功能中起着关键作用。
J Mol Biol. 2022 Jan 30;434(2):167357. doi: 10.1016/j.jmb.2021.167357. Epub 2021 Nov 12.
7
A Glycosylated RBD Protein Induces Enhanced Neutralizing Antibodies against Omicron and Other Variants with Improved Protection against SARS-CoV-2 Infection.一种糖基化 RBD 蛋白诱导针对奥密克戎和其他变体的增强型中和抗体,提高对 SARS-CoV-2 感染的保护作用。
J Virol. 2022 Sep 14;96(17):e0011822. doi: 10.1128/jvi.00118-22. Epub 2022 Aug 16.
8
Characterization and Utilization of Disulfide-Bonded SARS-CoV-2 Receptor Binding Domain of Spike Protein Synthesized by Wheat Germ Cell-Free Production System.利用小麦胚无细胞生产系统合成的 SARS-CoV-2 刺突蛋白受体结合域中二硫键的特性及其应用。
Viruses. 2022 Jul 1;14(7):1461. doi: 10.3390/v14071461.
9
EGFR extracellular domain III expressed in Escherichia coli with SEP tag shows improved biophysical and functional properties and generate anti-sera inhibiting cancer cell growth.在大肠杆菌中表达带有 SEP 标签的 EGFR 细胞外结构域 III 可改善其生物物理和功能特性,并产生抑制癌细胞生长的抗血清。
Biochem Biophys Res Commun. 2021 May 28;555:121-127. doi: 10.1016/j.bbrc.2021.03.102. Epub 2021 Apr 1.
10
Developing of SARS-CoV-2 fusion protein expressed in E. coli Shuffle T7 for enhanced ELISA detection sensitivity - an integrated experimental and bioinformatic approach.在大肠杆菌Shuffle T7中表达的SARS-CoV-2融合蛋白用于提高ELISA检测灵敏度的研发——一种综合实验和生物信息学的方法
J Biomol Struct Dyn. 2025 Jun;43(9):4440-4455. doi: 10.1080/07391102.2024.2302941. Epub 2024 Jan 17.

引用本文的文献

1
Non-Glycosylated SARS-CoV-2 Omicron BA.5 Receptor Binding Domain (RBD) with a Native-like Conformation Induces a Robust Immune Response with Potent Neutralization in a Mouse Model.具有天然构象的非糖基化 SARS-CoV-2 奥密克戎 BA.5 受体结合域(RBD)在小鼠模型中引发强烈免疫应答并具有强大的中和作用。
Molecules. 2024 Jun 5;29(11):2676. doi: 10.3390/molecules29112676.
2
Design and Expression of a Natively Folded Multi-Disulfide Bonded Influenza H1N1-PR8 Receptor-Binding Domain (RBD).设计与表达天然折叠的含多个二硫键的流感 H1N1-PR8 受体结合域(RBD)。
Int J Mol Sci. 2024 Apr 1;25(7):3943. doi: 10.3390/ijms25073943.

本文引用的文献

1
An Expressed Multi-Disulfide Bonded SARS-CoV-2 RBD Shows Native-like Biophysical Properties and Elicits Neutralizing Antisera in a Mouse Model.一种表达的多硫键结合 SARS-CoV-2 RBD 表现出类似天然的生物物理特性,并在小鼠模型中引发中和抗体。
Int J Mol Sci. 2022 Dec 12;23(24):15744. doi: 10.3390/ijms232415744.
2
Antigenic characterization of the SARS-CoV-2 Omicron subvariant BA.2.75.SARS-CoV-2 奥密克戎变异株 BA.2.75 的抗原特征分析。
Cell Host Microbe. 2022 Nov 9;30(11):1512-1517.e4. doi: 10.1016/j.chom.2022.09.002. Epub 2022 Sep 6.
3
Efficacy of Antibodies and Antiviral Drugs against Omicron BA.2.12.1, BA.4, and BA.5 Subvariants.
抗体和抗病毒药物对奥密克戎BA.2.12.1、BA.4和BA.5亚变体的疗效。
N Engl J Med. 2022 Aug 4;387(5):468-470. doi: 10.1056/NEJMc2207519. Epub 2022 Jul 20.
4
Antibody escape of SARS-CoV-2 Omicron BA.4 and BA.5 from vaccine and BA.1 serum.奥密克戎 BA.4 和 BA.5 对疫苗和 BA.1 血清的抗体逃逸。
Cell. 2022 Jul 7;185(14):2422-2433.e13. doi: 10.1016/j.cell.2022.06.005. Epub 2022 Jun 9.
5
Emergence of SARS-CoV-2 Omicron lineages BA.4 and BA.5 in South Africa.南非出现 SARS-CoV-2 奥密克戎变异株 BA.4 和 BA.5。
Nat Med. 2022 Sep;28(9):1785-1790. doi: 10.1038/s41591-022-01911-2. Epub 2022 Jun 27.
6
Structural Basis for Human Receptor Recognition by SARS-CoV-2 Omicron Variant BA.1.人类受体识别 SARS-CoV-2 奥密克戎变异株 BA.1 的结构基础
J Virol. 2022 Apr 27;96(8):e0024922. doi: 10.1128/jvi.00249-22. Epub 2022 Mar 28.
7
A Multi-Disulfide Receptor-Binding Domain (RBD) of the SARS-CoV-2 Spike Protein Expressed in Using a SEP-Tag Produces Antisera Interacting with the Mammalian Cell Expressed Spike (S1) Protein.利用 SEP-Tag 在 中表达的 SARS-CoV-2 刺突蛋白的多二硫键受体结合域(RBD)产生与哺乳动物细胞表达的刺突(S1)蛋白相互作用的抗血清。
Int J Mol Sci. 2022 Feb 1;23(3):1703. doi: 10.3390/ijms23031703.
8
Enhanced Recombinant Protein Production Under Special Environmental Stress.特殊环境胁迫下增强的重组蛋白生产
Front Microbiol. 2021 Apr 15;12:630814. doi: 10.3389/fmicb.2021.630814. eCollection 2021.
9
Viral targets for vaccines against COVID-19.针对 COVID-19 的疫苗的病毒靶点。
Nat Rev Immunol. 2021 Feb;21(2):73-82. doi: 10.1038/s41577-020-00480-0. Epub 2020 Dec 18.
10
Structural and functional comparison of SARS-CoV-2-spike receptor binding domain produced in Pichia pastoris and mammalian cells.毕赤酵母和哺乳动物细胞中表达的 SARS-CoV-2 刺突受体结合域的结构和功能比较。
Sci Rep. 2020 Dec 11;10(1):21779. doi: 10.1038/s41598-020-78711-6.