Tanimura Mai, Ikeda Hiroyuki, Fujiwara Toshio, Uezato Minami, Osuki Takuya, Kinosada Masanori, Kurosaki Yoshitaka, Chin Masaki
Department of Neurosurgery, Kurashiki Central Hospital, Kurashiki, Japan.
Surg Neurol Int. 2024 Jan 12;15:12. doi: 10.25259/SNI_948_2023. eCollection 2024.
There is no established opinion regarding embolization of asymptomatic traumatic vertebral artery injuries that do not require cervical spine repair and fixation.
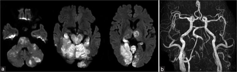
A 78-year-old man fell backward from a height of about 1 m and was rushed to his previous hospital. He had a fracture of the left transverse process of the 6 cervical vertebra. Six hours after the trauma, he became unconscious; magnetic resonance showed occlusion of the left vertebral and basilar arteries, and he was transferred to our hospital. The basilar artery was completely recanalized 430 min after the onset of unconsciousness. Due to the presence of thrombi in the distal vertebral artery at the level of the 6 cervical vertebra and collateral blood flow from the deep cervical artery, the distal vertebral artery was occluded to prevent embolism. Postoperative diffusion-weighted imaging showed extensive infarction in the posterior circulation, and the patient died two days after surgery.
In the case of vertebral artery injury, preparation for early occlusion of the basilar artery is necessary. If a thrombus and collateral blood flow are present distal to the vertebral artery injury, distal vertebral artery embolization may be necessary to prevent embolism.
对于无需颈椎修复和固定的无症状创伤性椎动脉损伤的栓塞治疗,尚无既定观点。
一名78岁男性从约1米高处向后摔倒,被紧急送往其之前就诊的医院。他有第6颈椎左侧横突骨折。创伤后6小时,他失去意识;磁共振成像显示左椎动脉和基底动脉闭塞,随后他被转至我院。意识丧失后430分钟,基底动脉完全再通。由于第6颈椎水平的椎动脉远端存在血栓以及来自颈深动脉的侧支血流,为防止栓塞,对椎动脉远端进行了闭塞处理。术后弥散加权成像显示后循环广泛梗死,患者术后两天死亡。
对于椎动脉损伤病例,有必要做好早期闭塞基底动脉的准备。如果在椎动脉损伤远端存在血栓和侧支血流,可能需要对椎动脉远端进行栓塞以防止栓塞。