• 文献检索
  • 文档翻译
  • 深度研究
  • 学术资讯
  • Suppr Zotero 插件Zotero 插件
  • 邀请有礼
  • 套餐&价格
  • 历史记录
应用&插件
Suppr Zotero 插件Zotero 插件浏览器插件Mac 客户端Windows 客户端微信小程序
定价
高级版会员购买积分包购买API积分包
服务
文献检索文档翻译深度研究API 文档MCP 服务
关于我们
关于 Suppr公司介绍联系我们用户协议隐私条款
关注我们

Suppr 超能文献

核心技术专利:CN118964589B侵权必究
粤ICP备2023148730 号-1Suppr @ 2026

文献检索

告别复杂PubMed语法,用中文像聊天一样搜索,搜遍4000万医学文献。AI智能推荐,让科研检索更轻松。

立即免费搜索

文件翻译

保留排版,准确专业,支持PDF/Word/PPT等文件格式,支持 12+语言互译。

免费翻译文档

深度研究

AI帮你快速写综述,25分钟生成高质量综述,智能提取关键信息,辅助科研写作。

立即免费体验

XIAP介导的IFT88降解破坏肝星状细胞纤毛,以刺激肝星状细胞激活和肝纤维化。

XIAP-mediated degradation of IFT88 disrupts HSC cilia to stimulate HSC activation and liver fibrosis.

作者信息

Hong Renjie, Tan Yanjie, Tian Xiaoyu, Huang Zhenzhou, Wang Jiaying, Ni Hua, Yang Jia, Bu Weiwen, Yang Song, Li Te, Yu Fan, Zhong Weilong, Sun Tao, Wang Xiaohong, Li Dengwen, Liu Min, Yang Yunfan, Zhou Jun

机构信息

Department of Genetics and Cell Biology, State Key Laboratory of Medicinal Chemical Biology, Haihe Laboratory of Cell Ecosystem, Tianjin Key Laboratory of Protein Science, College of Life Sciences, Nankai University, 300071, Tianjin, China.

Center for Cell Structure and Function, Collaborative Innovation Center of Cell Biology in Universities of Shandong, Shandong Provincial Key Laboratory of Animal Resistance Biology, College of Life Sciences, Shandong Normal University, 250014, Jinan, China.

出版信息

EMBO Rep. 2024 Mar;25(3):1055-1074. doi: 10.1038/s44319-024-00092-y. Epub 2024 Feb 13.

DOI:10.1038/s44319-024-00092-y
PMID:38351372
原文链接:https://pmc.ncbi.nlm.nih.gov/articles/PMC10933415/
Abstract

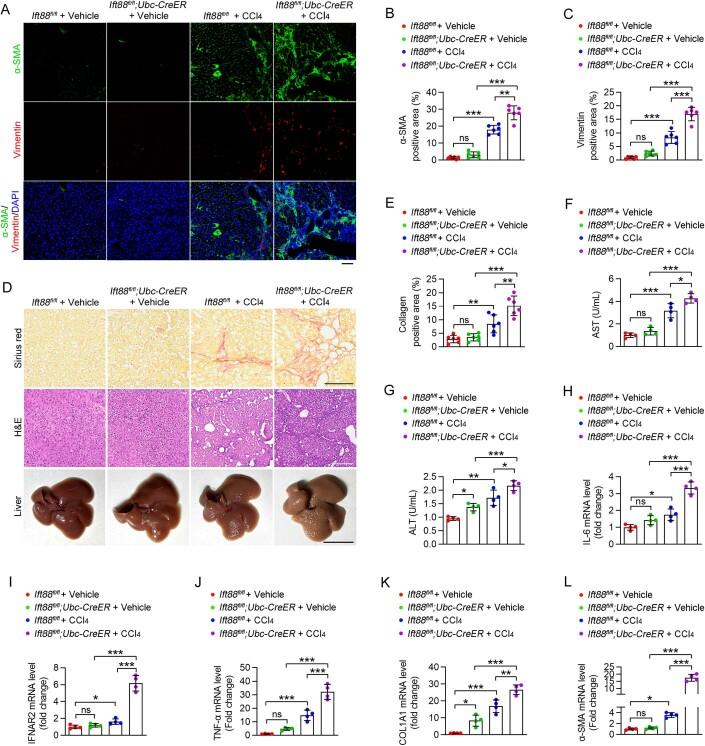
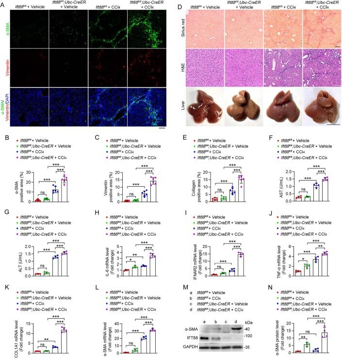
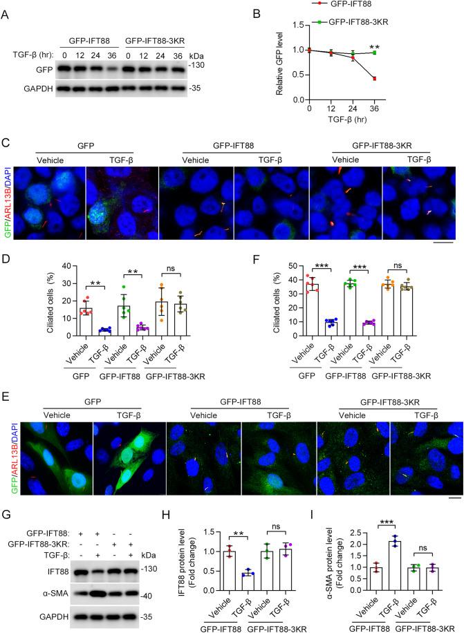
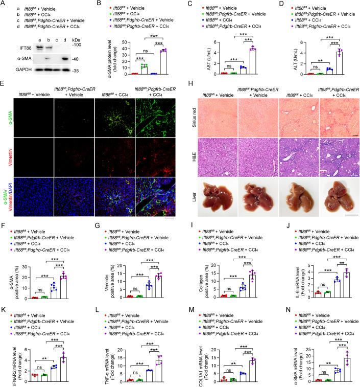
Activation of hepatic stellate cells (HSCs) plays a critical role in liver fibrosis. However, the molecular basis for HSC activation remains poorly understood. Herein, we demonstrate that primary cilia are present on quiescent HSCs but exhibit a significant loss upon HSC activation which correlates with decreased levels of the ciliary protein intraflagellar transport 88 (IFT88). Ift88-knockout mice are more susceptible to chronic carbon tetrachloride-induced liver fibrosis. Mechanistic studies show that the X-linked inhibitor of apoptosis (XIAP) functions as an E3 ubiquitin ligase for IFT88. Transforming growth factor-β (TGF-β), a profibrotic factor, enhances XIAP-mediated ubiquitination of IFT88, promoting its proteasomal degradation. Blocking XIAP-mediated IFT88 degradation ablates TGF-β-induced HSC activation and liver fibrosis. These findings reveal a previously unrecognized role for ciliary homeostasis in regulating HSC activation and identify the XIAP-IFT88 axis as a potential therapeutic target for liver fibrosis.

摘要

肝星状细胞(HSCs)的激活在肝纤维化中起关键作用。然而,HSC激活的分子基础仍知之甚少。在此,我们证明静止的HSCs上存在初级纤毛,但在HSC激活时显著丢失,这与纤毛蛋白鞭毛内运输蛋白88(IFT88)水平降低相关。Ift88基因敲除小鼠更易患慢性四氯化碳诱导的肝纤维化。机制研究表明,X连锁凋亡抑制蛋白(XIAP)作为IFT88的E3泛素连接酶发挥作用。促纤维化因子转化生长因子-β(TGF-β)增强XIAP介导的IFT88泛素化,促进其蛋白酶体降解。阻断XIAP介导的IFT88降解可消除TGF-β诱导的HSC激活和肝纤维化。这些发现揭示了纤毛稳态在调节HSC激活中的一个以前未被认识的作用,并确定XIAP-IFT88轴是肝纤维化的一个潜在治疗靶点。

https://cdn.ncbi.nlm.nih.gov/pmc/blobs/b1ae/10933415/c840ad82381b/44319_2024_92_Fig11_ESM.jpg
https://cdn.ncbi.nlm.nih.gov/pmc/blobs/b1ae/10933415/94ffb63d3054/44319_2024_92_Fig1_HTML.jpg
https://cdn.ncbi.nlm.nih.gov/pmc/blobs/b1ae/10933415/f74e14ab35f6/44319_2024_92_Fig2_HTML.jpg
https://cdn.ncbi.nlm.nih.gov/pmc/blobs/b1ae/10933415/3881d294415a/44319_2024_92_Fig3_HTML.jpg
https://cdn.ncbi.nlm.nih.gov/pmc/blobs/b1ae/10933415/15a6306dad71/44319_2024_92_Fig4_HTML.jpg
https://cdn.ncbi.nlm.nih.gov/pmc/blobs/b1ae/10933415/cb90b7efa1d1/44319_2024_92_Fig5_HTML.jpg
https://cdn.ncbi.nlm.nih.gov/pmc/blobs/b1ae/10933415/c698d0dcb4b3/44319_2024_92_Fig6_HTML.jpg
https://cdn.ncbi.nlm.nih.gov/pmc/blobs/b1ae/10933415/13f90f580ef7/44319_2024_92_Fig7_ESM.jpg
https://cdn.ncbi.nlm.nih.gov/pmc/blobs/b1ae/10933415/48aeb00224ed/44319_2024_92_Fig8_ESM.jpg
https://cdn.ncbi.nlm.nih.gov/pmc/blobs/b1ae/10933415/fb1f58efb5b5/44319_2024_92_Fig9_ESM.jpg
https://cdn.ncbi.nlm.nih.gov/pmc/blobs/b1ae/10933415/5f1bc0d9671d/44319_2024_92_Fig10_ESM.jpg
https://cdn.ncbi.nlm.nih.gov/pmc/blobs/b1ae/10933415/c840ad82381b/44319_2024_92_Fig11_ESM.jpg
https://cdn.ncbi.nlm.nih.gov/pmc/blobs/b1ae/10933415/94ffb63d3054/44319_2024_92_Fig1_HTML.jpg
https://cdn.ncbi.nlm.nih.gov/pmc/blobs/b1ae/10933415/f74e14ab35f6/44319_2024_92_Fig2_HTML.jpg
https://cdn.ncbi.nlm.nih.gov/pmc/blobs/b1ae/10933415/3881d294415a/44319_2024_92_Fig3_HTML.jpg
https://cdn.ncbi.nlm.nih.gov/pmc/blobs/b1ae/10933415/15a6306dad71/44319_2024_92_Fig4_HTML.jpg
https://cdn.ncbi.nlm.nih.gov/pmc/blobs/b1ae/10933415/cb90b7efa1d1/44319_2024_92_Fig5_HTML.jpg
https://cdn.ncbi.nlm.nih.gov/pmc/blobs/b1ae/10933415/c698d0dcb4b3/44319_2024_92_Fig6_HTML.jpg
https://cdn.ncbi.nlm.nih.gov/pmc/blobs/b1ae/10933415/13f90f580ef7/44319_2024_92_Fig7_ESM.jpg
https://cdn.ncbi.nlm.nih.gov/pmc/blobs/b1ae/10933415/48aeb00224ed/44319_2024_92_Fig8_ESM.jpg
https://cdn.ncbi.nlm.nih.gov/pmc/blobs/b1ae/10933415/fb1f58efb5b5/44319_2024_92_Fig9_ESM.jpg
https://cdn.ncbi.nlm.nih.gov/pmc/blobs/b1ae/10933415/5f1bc0d9671d/44319_2024_92_Fig10_ESM.jpg
https://cdn.ncbi.nlm.nih.gov/pmc/blobs/b1ae/10933415/c840ad82381b/44319_2024_92_Fig11_ESM.jpg

相似文献

1
XIAP-mediated degradation of IFT88 disrupts HSC cilia to stimulate HSC activation and liver fibrosis.XIAP介导的IFT88降解破坏肝星状细胞纤毛,以刺激肝星状细胞激活和肝纤维化。
EMBO Rep. 2024 Mar;25(3):1055-1074. doi: 10.1038/s44319-024-00092-y. Epub 2024 Feb 13.
2
Coordinated signaling of activating transcription factor 6α and inositol-requiring enzyme 1α regulates hepatic stellate cell-mediated fibrogenesis in mice.激活转录因子 6α 和肌醇需求酶 1α 的协调信号转导调控小鼠肝星状细胞介导的肝纤维化。
Am J Physiol Gastrointest Liver Physiol. 2021 May 1;320(5):G864-G879. doi: 10.1152/ajpgi.00453.2020. Epub 2021 Mar 17.
3
-regulated activation of hepatic stellate cells and liver fibrosis by TGF-β signaling.TGF-β 信号调控肝星状细胞激活和肝纤维化。
Am J Physiol Gastrointest Liver Physiol. 2021 May 1;320(5):G720-G728. doi: 10.1152/ajpgi.00310.2020. Epub 2021 Mar 17.
4
MicroRNA-30 Protects Against Carbon Tetrachloride-induced Liver Fibrosis by Attenuating Transforming Growth Factor Beta Signaling in Hepatic Stellate Cells.微小RNA-30通过减弱肝星状细胞中的转化生长因子β信号传导来预防四氯化碳诱导的肝纤维化。
Toxicol Sci. 2015 Jul;146(1):157-69. doi: 10.1093/toxsci/kfv081. Epub 2015 Apr 24.
5
Blockade of YAP alleviates hepatic fibrosis through accelerating apoptosis and reversion of activated hepatic stellate cells.阻断 YAP 可通过加速细胞凋亡和活化的肝星状细胞的逆转来减轻肝纤维化。
Mol Immunol. 2019 Mar;107:29-40. doi: 10.1016/j.molimm.2019.01.004. Epub 2019 Jan 11.
6
MicroRNA-503 Targets Mothers Against Decapentaplegic Homolog 7 Enhancing Hepatic Stellate Cell Activation and Hepatic Fibrosis.miRNA-503 靶向抑制 Decapentaplegic 同源物 7 增强肝星状细胞激活和肝纤维化。
Dig Dis Sci. 2021 Jun;66(6):1928-1939. doi: 10.1007/s10620-020-06460-7. Epub 2020 Jul 9.
7
Niemann-Pick Type C2 Protein Mediates Hepatic Stellate Cells Activation by Regulating Free Cholesterol Accumulation.尼曼-皮克C2型蛋白通过调节游离胆固醇蓄积介导肝星状细胞激活。
Int J Mol Sci. 2016 Jul 13;17(7):1122. doi: 10.3390/ijms17071122.
8
Physalin D attenuates hepatic stellate cell activation and liver fibrosis by blocking TGF-β/Smad and YAP signaling.岩白菜素 D 通过阻断 TGF-β/Smad 和 YAP 信号通路抑制肝星状细胞激活和肝纤维化。
Phytomedicine. 2020 Nov;78:153294. doi: 10.1016/j.phymed.2020.153294. Epub 2020 Jul 28.
9
A high-cholesterol diet exacerbates liver fibrosis in mice via accumulation of free cholesterol in hepatic stellate cells.高胆固醇饮食通过在肝星状细胞中积累游离胆固醇加剧了小鼠的肝纤维化。
Gastroenterology. 2012 Jan;142(1):152-164.e10. doi: 10.1053/j.gastro.2011.09.049. Epub 2011 Oct 10.
10
Asiatic acid inhibits liver fibrosis by blocking TGF-beta/Smad signaling in vivo and in vitro.积雪草酸通过阻断 TGF-β/Smad 信号通路在体内和体外抑制肝纤维化。
PLoS One. 2012;7(2):e31350. doi: 10.1371/journal.pone.0031350. Epub 2012 Feb 7.

引用本文的文献

1
DNAH10 mutation cause primary ciliary dyskinesia with defects of IDAf complex assembly and lung fibrosis manifestation.DNAH10突变导致原发性纤毛运动障碍,伴有IDAf复合体组装缺陷和肺纤维化表现。
Orphanet J Rare Dis. 2025 Sep 2;20(1):469. doi: 10.1186/s13023-025-03977-w.
2
Cilia at the crossroad: convergence of regulatory mechanisms to govern cilia dynamics during cell signaling and the cell cycle.纤毛处于十字路口:细胞信号传导和细胞周期中调控纤毛动态的调节机制的汇聚
Cell Biosci. 2025 Jun 7;15(1):81. doi: 10.1186/s13578-025-01403-z.
3
Post-Translational Modifications in Cilia and Ciliopathies.

本文引用的文献

1
Primary cilium-mediated signaling cascade suppresses age-related biliary fibrosis.初级纤毛介导的信号级联反应抑制与年龄相关的胆管纤维化。
J Cell Physiol. 2023 Nov;238(11):2600-2611. doi: 10.1002/jcp.31113. Epub 2023 Sep 8.
2
Combinatorial targeting of G-protein-coupled bile acid receptor 1 and cysteinyl leukotriene receptor 1 reveals a mechanistic role for bile acids and leukotrienes in drug-induced liver injury.联合靶向 G 蛋白偶联胆汁酸受体 1 和半胱氨酰白三烯受体 1 揭示了胆汁酸和白三烯在药物性肝损伤中的作用机制。
Hepatology. 2023 Jul 1;78(1):26-44. doi: 10.1002/hep.32787. Epub 2022 Oct 12.
3
Primary cilia and SHH signaling impairments in human and mouse models of Parkinson's disease.
纤毛及纤毛病中的翻译后修饰
Adv Sci (Weinh). 2025 Aug;12(31):e16562. doi: 10.1002/advs.202416562. Epub 2025 May 28.
4
Liraglutide inhibits the proliferation of rat hepatic stellate cells under high glucose conditions by suppressing the ERK signaling pathway.利拉鲁肽通过抑制ERK信号通路抑制高糖条件下大鼠肝星状细胞的增殖。
Sci Rep. 2025 Apr 17;15(1):13360. doi: 10.1038/s41598-025-97872-w.
5
Coordination of IFT20 With Other IFT Components Is Required for Ciliogenesis.纤毛发生需要IFT20与其他IFT组分的协调。
J Clin Lab Anal. 2025 May;39(9):e70000. doi: 10.1002/jcla.70000. Epub 2025 Apr 7.
6
Ciliary and Non-Ciliary Roles of IFT88 in Development and Diseases.IFT88在发育和疾病中的纤毛及非纤毛作用
Int J Mol Sci. 2025 Feb 27;26(5):2110. doi: 10.3390/ijms26052110.
7
ATG16L1 Depletion-Mediated Activation of the TRAF1 Signaling in Macrophages Aggravates Liver Fibrosis.自噬相关基因16样蛋白1(ATG16L1)缺失介导的巨噬细胞中肿瘤坏死因子受体相关因子1(TRAF1)信号激活加重肝纤维化
Mediators Inflamm. 2024 Nov 26;2024:8831821. doi: 10.1155/mi/8831821. eCollection 2024.
8
CYLD/HDAC6 signaling regulates the interplay between epithelial-mesenchymal transition and ciliary homeostasis during pulmonary fibrosis.CYLD/HDAC6 信号通路调控肺纤维化过程中上皮-间充质转化与纤毛动态平衡的相互作用。
Cell Death Dis. 2024 Aug 9;15(8):581. doi: 10.1038/s41419-024-06972-4.
9
Targeted degradation of membrane and extracellular proteins with LYTACs.利用LYTACs对膜蛋白和细胞外蛋白进行靶向降解。
Acta Pharmacol Sin. 2025 Jan;46(1):1-7. doi: 10.1038/s41401-024-01364-y. Epub 2024 Aug 5.
10
INPP5E Regulates the Distribution of Phospholipids on Cilia in RPE1 Cells.INPP5E调节RPE1细胞中磷脂在纤毛上的分布。
J Clin Lab Anal. 2024 Apr;38(7):e25031. doi: 10.1002/jcla.25031. Epub 2024 Mar 21.
帕金森病的人类和小鼠模型中的原发性纤毛和 SHH 信号转导障碍。
Nat Commun. 2022 Aug 16;13(1):4819. doi: 10.1038/s41467-022-32229-9.
4
Multiscale biomechanics and mechanotransduction from liver fibrosis to cancer.从肝纤维化到癌症的多尺度生物力学和力学转导。
Adv Drug Deliv Rev. 2022 Sep;188:114448. doi: 10.1016/j.addr.2022.114448. Epub 2022 Jul 9.
5
Structural Biology of Cilia and Intraflagellar Transport.纤毛与鞭毛内运输的结构生物学
Annu Rev Cell Dev Biol. 2022 Oct 6;38:103-123. doi: 10.1146/annurev-cellbio-120219-034238. Epub 2022 Jun 29.
6
Primary cilia in satellite cells are the mechanical sensors for muscle hypertrophy.卫星细胞中的初级纤毛是肌肉肥大的机械感受器。
Proc Natl Acad Sci U S A. 2022 Jun 14;119(24):e2103615119. doi: 10.1073/pnas.2103615119. Epub 2022 Jun 7.
7
Modelling ciliopathy phenotypes in human tissues derived from pluripotent stem cells with genetically ablated cilia.利用基因敲除纤毛的多能干细胞衍生的人类组织对纤毛病表型进行建模。
Nat Biomed Eng. 2022 Apr;6(4):463-475. doi: 10.1038/s41551-022-00880-8. Epub 2022 Apr 27.
8
Progressive liver, kidney, and heart degeneration in children and adults affected by TULP3 mutations.TULP3 突变影响的儿童和成人的进行性肝、肾和心脏退化。
Am J Hum Genet. 2022 May 5;109(5):928-943. doi: 10.1016/j.ajhg.2022.03.015. Epub 2022 Apr 8.
9
Quality control of protein complex assembly by the ubiquitin-proteasome system.泛素-蛋白酶体系统对蛋白质复合物组装的质量控制。
Trends Cell Biol. 2022 Aug;32(8):696-706. doi: 10.1016/j.tcb.2022.02.005. Epub 2022 Mar 14.
10
Deletion of kif3a in CK19 positive cells leads to primary cilia loss, biliary cell proliferation and cystic liver lesions in TAA-treated mice.Kif3a 缺失导致 CK19 阳性细胞中的原发性纤毛丢失、胆管细胞增殖和 TAA 处理小鼠的肝囊肿病变。
Biochim Biophys Acta Mol Basis Dis. 2022 Apr 1;1868(4):166335. doi: 10.1016/j.bbadis.2021.166335. Epub 2021 Dec 30.