• 文献检索
  • 文档翻译
  • 深度研究
  • 学术资讯
  • Suppr Zotero 插件Zotero 插件
  • 邀请有礼
  • 套餐&价格
  • 历史记录
应用&插件
Suppr Zotero 插件Zotero 插件浏览器插件Mac 客户端Windows 客户端微信小程序
定价
高级版会员购买积分包购买API积分包
服务
文献检索文档翻译深度研究API 文档MCP 服务
关于我们
关于 Suppr公司介绍联系我们用户协议隐私条款
关注我们

Suppr 超能文献

核心技术专利:CN118964589B侵权必究
粤ICP备2023148730 号-1Suppr @ 2026

文献检索

告别复杂PubMed语法,用中文像聊天一样搜索,搜遍4000万医学文献。AI智能推荐,让科研检索更轻松。

立即免费搜索

文件翻译

保留排版,准确专业,支持PDF/Word/PPT等文件格式,支持 12+语言互译。

免费翻译文档

深度研究

AI帮你快速写综述,25分钟生成高质量综述,智能提取关键信息,辅助科研写作。

立即免费体验

一例病因不明的类固醇反应性急性肾小管损伤病例报告

A Case of Steroid-Responsive Acute Tubular Injury of Unknown Trigger: A Case Report.

作者信息

Alqaraishi Ali, Tawhari Mohammed, Alyahya Nawaf M, Alotaibi Alanoud, Ghoulah Alanoud, Aledrees Abdulrahman, Alabdulsalam Abdulrahman

机构信息

Internal Medicine, King Abdulaziz Medical City, Ministry of National Guard Health Affairs, Research Center, King Abdullah International Medical Research Centre, Riyadh, SAU.

Nephrology, King Abdulaziz Medical City, Riyadh, SAU.

出版信息

Cureus. 2024 Jan 15;16(1):e52304. doi: 10.7759/cureus.52304. eCollection 2024 Jan.

DOI:10.7759/cureus.52304
PMID:38357072
原文链接:https://pmc.ncbi.nlm.nih.gov/articles/PMC10866087/
Abstract

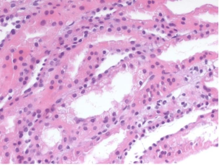
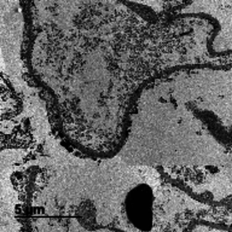
Acute tubular necrosis (ATN) is a serious medical condition characterized by the rapid destruction of renal tubular epithelial cells, resulting in acute kidney injury, given its multifactorial etiologies, which can include nephrotoxic agents, ischemic insults, hypovolemia, and sepsis. We report the case of a young male patient who presented with recurrent worsening kidney function with bland sediment that was confirmed with multiple kidney biopsies as recurrent attacks of ATN of unclear etiology, which did not respond to supportive measures but did respond to steroids.

摘要

急性肾小管坏死(ATN)是一种严重的医学病症,其特征是肾小管上皮细胞迅速破坏,导致急性肾损伤。鉴于其多因素病因,包括肾毒性药物、缺血性损伤、血容量不足和败血症等。我们报告了一例年轻男性患者的病例,该患者反复出现肾功能恶化,尿沉渣正常,经多次肾活检证实为病因不明的复发性ATN发作,对支持性措施无反应,但对类固醇有反应。

https://cdn.ncbi.nlm.nih.gov/pmc/blobs/8bd0/10866087/223d1d0575f2/cureus-0016-00000052304-i03.jpg
https://cdn.ncbi.nlm.nih.gov/pmc/blobs/8bd0/10866087/ad03b5c49103/cureus-0016-00000052304-i01.jpg
https://cdn.ncbi.nlm.nih.gov/pmc/blobs/8bd0/10866087/92209d306f62/cureus-0016-00000052304-i02.jpg
https://cdn.ncbi.nlm.nih.gov/pmc/blobs/8bd0/10866087/223d1d0575f2/cureus-0016-00000052304-i03.jpg
https://cdn.ncbi.nlm.nih.gov/pmc/blobs/8bd0/10866087/ad03b5c49103/cureus-0016-00000052304-i01.jpg
https://cdn.ncbi.nlm.nih.gov/pmc/blobs/8bd0/10866087/92209d306f62/cureus-0016-00000052304-i02.jpg
https://cdn.ncbi.nlm.nih.gov/pmc/blobs/8bd0/10866087/223d1d0575f2/cureus-0016-00000052304-i03.jpg

相似文献

1
A Case of Steroid-Responsive Acute Tubular Injury of Unknown Trigger: A Case Report.一例病因不明的类固醇反应性急性肾小管损伤病例报告
Cureus. 2024 Jan 15;16(1):e52304. doi: 10.7759/cureus.52304. eCollection 2024 Jan.
2
Primary acute renal failure ("acute tubular necrosis") in the transplanted kidney: morphology and pathogenesis.移植肾原发性急性肾衰竭(“急性肾小管坏死”):形态学与发病机制
Medicine (Baltimore). 1989 May;68(3):173-87. doi: 10.1097/00005792-198905000-00005.
3
The morphology of "acute tubular necrosis" in man: analysis of 57 renal biopsies and a comparison with the glycerol model.人类“急性肾小管坏死”的形态学:57例肾活检分析及与甘油模型的比较
Medicine (Baltimore). 1979 Sep;58(5):362-76.
4
Cause of acute tubular necrosis affects its prognosis. The Auriculin Anaritide Acute Renal Failure Study Group.急性肾小管坏死的病因影响其预后。耳肽急性肾衰竭研究小组。
Arch Intern Med. 1997 Sep 8;157(16):1833-8.
5
Long-term Renal Outcome of Biopsy-proven Acute Tubular Necrosis and Acute Interstitial Nephritis.经活检证实的急性肾小管坏死和急性间质性肾炎的长期肾脏结局。
J Korean Med Sci. 2020 Jul 6;35(26):e206. doi: 10.3346/jkms.2020.35.e206.
6
Clinical cause of presumed acute tubular necrosis requiring renal replacement therapy and outcome of critically ill patients: post hoc analysis of a prospective 7-year cohort study.临床疑似急性肾小管坏死需要肾脏替代治疗的原因及危重症患者的预后:一项前瞻性 7 年队列研究的事后分析。
Int Urol Nephrol. 2012 Dec;44(6):1779-89. doi: 10.1007/s11255-011-9994-x. Epub 2011 May 28.
7
A role for extrarenal cells in the regeneration following acute renal failure.肾外细胞在急性肾衰竭后的再生中所起的作用。
Kidney Int. 2002 Oct;62(4):1285-90. doi: 10.1111/j.1523-1755.2002.kid569.x.
8
Serum Lactate Dehydrogenase is Elevated in Ischemic Acute Tubular Necrosis but Not in Acute Rejection in Kidney Transplant Patients.血清乳酸脱氢酶在肾移植患者的缺血性急性肾小管坏死中升高,但在急性排斥反应中不升高。
Prog Transplant. 2017 Mar;27(1):53-57. doi: 10.1177/1526924816664089. Epub 2016 Sep 20.
9
Morphology of ischemic acute renal failure, normal function, and cyclosporine toxicity in cyclosporine-treated renal allograft recipients.环孢素治疗的肾移植受者中缺血性急性肾衰竭、正常功能及环孢素毒性的形态学
Kidney Int. 1993 May;43(5):1058-67. doi: 10.1038/ki.1993.148.
10
Nephronectin expression in nephrotoxic acute tubular necrosis.肾毒性急性肾小管坏死中nephronectin的表达
Nephrol Dial Transplant. 2008 Jan;23(1):101-9. doi: 10.1093/ndt/gfm496. Epub 2007 Nov 5.

本文引用的文献

1
[Therapeutics for acute tubular necrosis in 2020].[2020年急性肾小管坏死的治疗方法]
Nephrol Ther. 2021 Apr;17(2):92-100. doi: 10.1016/j.nephro.2020.11.002. Epub 2021 Jan 19.
2
Management of Acute Kidney Injury: Core Curriculum 2018.急性肾损伤的管理:2018 年核心课程。
Am J Kidney Dis. 2018 Jul;72(1):136-148. doi: 10.1053/j.ajkd.2017.11.021. Epub 2018 Feb 22.
3
Fluid management for the prevention and attenuation of acute kidney injury.液体管理预防和减轻急性肾损伤。
Nat Rev Nephrol. 2014 Jan;10(1):37-47. doi: 10.1038/nrneph.2013.232. Epub 2013 Nov 12.
4
Pathophysiology of acute kidney injury.急性肾损伤的病理生理学。
Compr Physiol. 2012 Apr;2(2):1303-53. doi: 10.1002/cphy.c110041.
5
KDIGO clinical practice guidelines for acute kidney injury.改善全球肾脏病预后组织(KDIGO)急性肾损伤临床实践指南
Nephron Clin Pract. 2012;120(4):c179-84. doi: 10.1159/000339789. Epub 2012 Aug 7.
6
Acute kidney injury.急性肾损伤。
Lancet. 2012 Aug 25;380(9843):756-66. doi: 10.1016/S0140-6736(11)61454-2. Epub 2012 May 21.
7
Fluid balance, diuretic use, and mortality in acute kidney injury.液体平衡、利尿剂使用与急性肾损伤患者的死亡率。
Clin J Am Soc Nephrol. 2011 May;6(5):966-73. doi: 10.2215/CJN.08781010. Epub 2011 Mar 10.
8
Mechanism of steroid action in renal epithelial cells.
Kidney Int. 2004 May;65(5):1577-88. doi: 10.1111/j.1523-1755.2004.00553.x.
9
Diuretics, mortality, and nonrecovery of renal function in acute renal failure.利尿剂、死亡率与急性肾衰竭肾功能未恢复情况
JAMA. 2002 Nov 27;288(20):2547-53. doi: 10.1001/jama.288.20.2547.
10
Diagnosis and treatment of acute tubular necrosis.急性肾小管坏死的诊断与治疗
Ann Intern Med. 2002 Nov 5;137(9):744-52. doi: 10.7326/0003-4819-137-9-200211050-00010.