Xia Linze, Kano Fumiya, Hashimoto Noboru, Liu Yao, Khurel-Ochir Tsendsuren, Ogasawara Naoko, Ding Cheng, Xu Yang, Hibi Hideharu, Iwasaki Tomonori, Tanaka Eiji, Yamamoto Akihito
Department of Tissue Regeneration, Institute of Biomedical Sciences, Tokushima University Graduate School, Tokushima, Japan.
Department of Orthodontics and Dentofacial Orthopedics, Institute of Biomedical Sciences, Tokushima University Graduate School, Tokushima, Japan.
Stem Cells Transl Med. 2024 Apr 15;13(4):399-413. doi: 10.1093/stcltm/szae006.
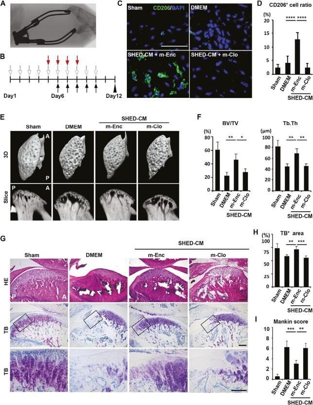
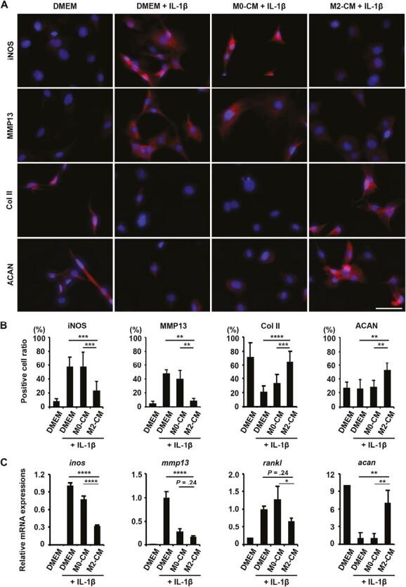
Intravenous administration of conditioned medium from stem cells of human exfoliated deciduous teeth (SHED-CM) regenerates mechanically injured osteochondral tissues in mouse temporomandibular joint osteoarthritis (TMJOA). However, the underlying therapeutic mechanisms remain unclear. Here, we showed that SHED-CM alleviated injured TMJ by inducing anti-inflammatory M2 macrophages in the synovium. Depletion of M2 by Mannosylated Clodrosome abolished the osteochondral repair activities of SHED-CM. Administration of CM from M2-induced by SHED-CM (M2-CM) effectively ameliorated mouse TMJOA by inhibiting chondrocyte inflammation and matrix degradation while enhancing chondrocyte proliferation and matrix formation. Notably, in vitro, M2-CM directly suppressed the catabolic activities while enhancing the anabolic activities of interleukin-1β-stimulated mouse primary chondrocytes. M2-CM also inhibited receptor activator of nuclear factor NF-κB ligand-induced osteoclastogenesis in RAW264.7 cells. Secretome analysis of M2-CM and M0-CM revealed that 5 proteins related to anti-inflammation and/or osteochondrogenesis were enriched in M2-CM. Of these proteins, the Wnt signal antagonist, secreted frizzled-related protein 1 (sFRP1), was the most abundant and played an essential role in the shift to anabolic chondrocytes, suggesting that M2 ameliorated TMJOA partly through sFRP1. This study suggests that secretome from SHED exerted remarkable osteochondral regeneration activities in TMJOA through the induction of sFRP1-expressing tissue-repair M2 macrophages.
静脉注射人乳牙干细胞条件培养基(SHED-CM)可使小鼠颞下颌关节骨关节炎(TMJOA)中机械损伤的骨软骨组织再生。然而,其潜在的治疗机制仍不清楚。在此,我们表明SHED-CM通过诱导滑膜中的抗炎M2巨噬细胞来减轻受损的颞下颌关节。甘露糖化氯喹脂质体清除M2巨噬细胞消除了SHED-CM的骨软骨修复活性。给予由SHED-CM诱导的M2巨噬细胞产生的条件培养基(M2-CM)可有效改善小鼠TMJOA,通过抑制软骨细胞炎症和基质降解,同时增强软骨细胞增殖和基质形成。值得注意的是,在体外,M2-CM直接抑制白细胞介素-1β刺激的小鼠原代软骨细胞的分解代谢活性,同时增强其合成代谢活性。M2-CM还抑制核因子κB受体激活剂配体诱导的RAW264.7细胞中的破骨细胞生成。对M2-CM和M0-CM的分泌蛋白质组分析表明,M2-CM中富含5种与抗炎和/或骨软骨生成相关的蛋白质。在这些蛋白质中,Wnt信号拮抗剂分泌型卷曲相关蛋白1(sFRP1)含量最高,并且在向合成代谢软骨细胞的转变中起重要作用,这表明M2巨噬细胞部分通过sFRP1改善TMJOA。这项研究表明,SHED的分泌蛋白质组通过诱导表达sFRP1的组织修复M2巨噬细胞在TMJOA中发挥显著的骨软骨再生活性。