Suppr超能文献

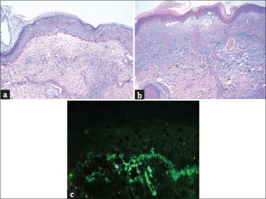
Discoid Lupus Erythematosus along the Lines of Blaschko in an Adult: A Case Report.

作者信息

Muddebihal Aishwarya, Mohanty Sandip, Batrani Meenakshi

机构信息

From the Department of Dermatology, NDMC Medical College and Hindu Rao Hospital, New Delhi, India E-mail:

Consultant Dermatopathologist, Delhi Dermpath Laboratory, Delhi Dermatology Group, New Delhi, India.

出版信息

Indian J Dermatol. 2023 Nov-Dec;68(6):729. doi: 10.4103/ijd.ijd_511_23. Epub 2024 Jan 9.

Abstract
摘要
https://cdn.ncbi.nlm.nih.gov/pmc/blobs/9706/10868985/af33c5703ece/IJD-68-729a-g001.jpg

文献AI研究员

20分钟写一篇综述,助力文献阅读效率提升50倍。

立即体验

用中文搜PubMed

大模型驱动的PubMed中文搜索引擎

马上搜索

文档翻译

学术文献翻译模型,支持多种主流文档格式。

立即体验