• 文献检索
  • 文档翻译
  • 深度研究
  • 学术资讯
  • Suppr Zotero 插件Zotero 插件
  • 邀请有礼
  • 套餐&价格
  • 历史记录
应用&插件
Suppr Zotero 插件Zotero 插件浏览器插件Mac 客户端Windows 客户端微信小程序
定价
高级版会员购买积分包购买API积分包
服务
文献检索文档翻译深度研究API 文档MCP 服务
关于我们
关于 Suppr公司介绍联系我们用户协议隐私条款
关注我们

Suppr 超能文献

核心技术专利:CN118964589B侵权必究
粤ICP备2023148730 号-1Suppr @ 2026

文献检索

告别复杂PubMed语法,用中文像聊天一样搜索,搜遍4000万医学文献。AI智能推荐,让科研检索更轻松。

立即免费搜索

文件翻译

保留排版,准确专业,支持PDF/Word/PPT等文件格式,支持 12+语言互译。

免费翻译文档

深度研究

AI帮你快速写综述,25分钟生成高质量综述,智能提取关键信息,辅助科研写作。

立即免费体验

F-FDG PET/CT对弥漫性大B细胞淋巴瘤(DLBCL)患者不同治疗节点的治疗效果及预后价值评估

Evaluation of therapeutic effect and prognostic value of F-FDG PET/CT in different treatment nodes of DLBCL patients.

作者信息

Zhao Wenyu, Wu Xiaodong, Huang Shuo, Wang Hui, Fu Hongliang

机构信息

Department of Nuclear Medicine, Xinhua Hospital, Shanghai Jiao Tong University School of Medicine, Shanghai, 200092, China.

Department of Radiology, Shandong Cancer Hospital and Institute, Shandong First Medical University & Shandong Academy of Medical Sciences, Jinan, 250117, Shandong, China.

出版信息

EJNMMI Res. 2024 Feb 19;14(1):20. doi: 10.1186/s13550-024-01074-w.

DOI:10.1186/s13550-024-01074-w
PMID:38372908
原文链接:https://pmc.ncbi.nlm.nih.gov/articles/PMC10876506/
Abstract

BACKGROUND

In the present study, we aimed to investigate the role of baseline (B), interim (I) and end-of-treatment (Eot) F-FDG PET/CT in assessing the prognosis of diffuse large B cell lymphoma (DLBCL), so as to identify patients who need intensive treatment at an early stage.

METHODS

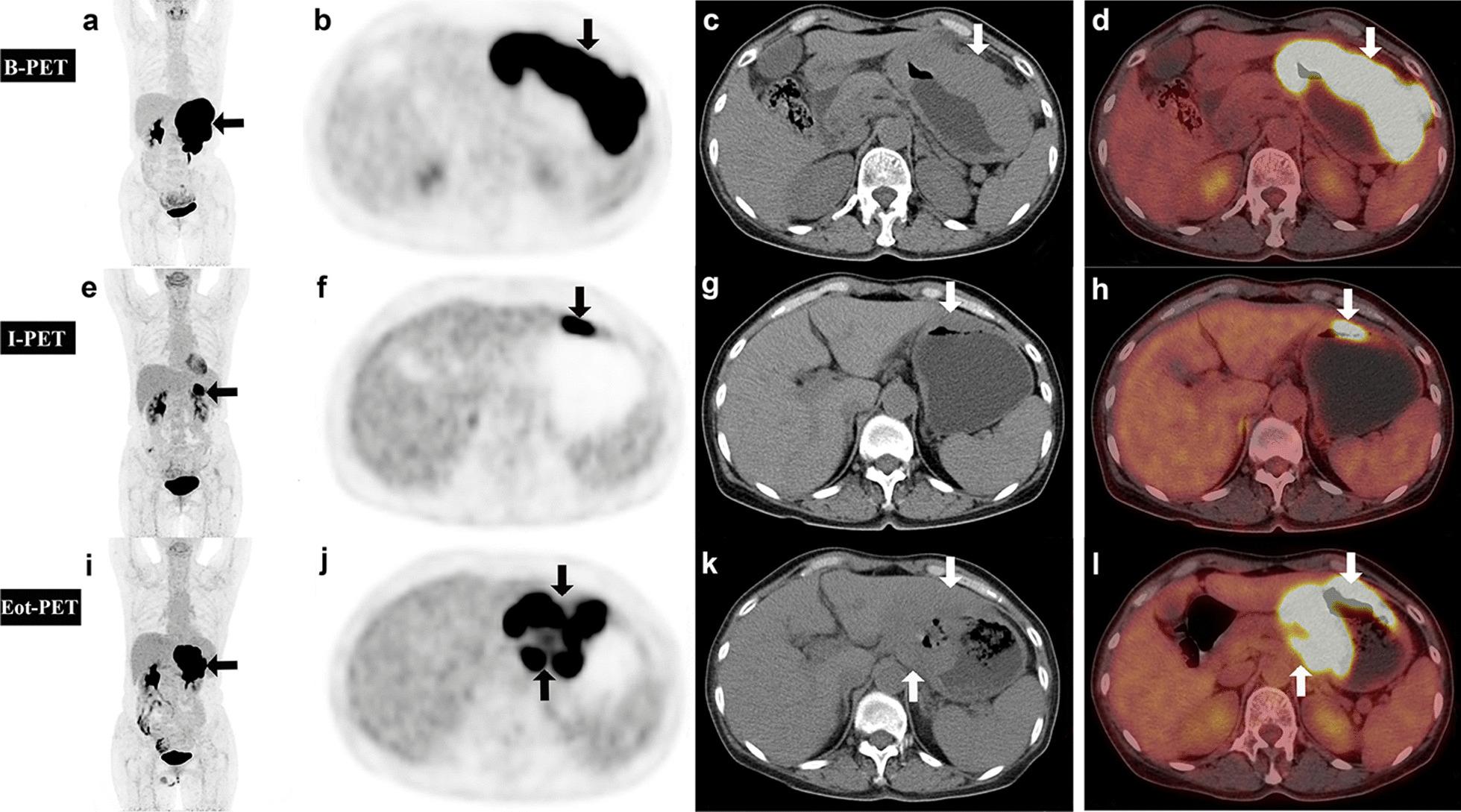
A total of 127 DLBCL patients (62 men; 65 women; median age 62 years) were retrospectively analyzed in this study. Baseline (n = 127), interim (n = 127, after 3-4 cycles) and end-of-treatment (n = 53, after 6-8 cycles) PET/CT images were re-evaluated; semi-quantitative parameters such as maximum standardized uptake value of lesion-to-liver ratio (SUVmax) and lesion-to-mediastinum ratio (SUVmax), total metabolic tumor volume (TMTV) and total metabolic tumor volume (TLG) were recorded. ΔTLG was the change of interim relative to baseline TLG (I to B), ΔTLG (Eot to B). ΔSUVmax and ΔTMTV were the same algorithm. The visual Deauville 5-point scale (D-5PS) has been adopted as the major criterion for PET evaluation. Visual analysis (VA) and semi-quantitative parameters were assessed for the ability to predict progression-free survival (PFS) and overall survival (OS) by using Kaplan-Meier method, cox regression and logistic regression analysis. When visual and semi-quantitative analysis are combined, the result is only positive if both are positive.

RESULTS

At a median follow-up of 34 months, the median PFS and OS were 20 and 32 months. The survival curve analysis showed that advanced stage and IPI score with poor prognosis, ΔSUVmax < 89.2%, ΔTMTV < 91.8% and ΔTLG < 98.8%, ΔSUVmax < 86.4% were significantly related to the shortening of PFS in patient (p < 0.05). ΔSUVmax < 83.2% and ΔTLG < 97.6% were significantly correlated with the shortening of OS in patients (p < 0.05). Visual analysis showed that incomplete metabolic remission at I-PET and Eot-PET increased the risk of progress and death. In terms of predicting recurrence by I-PET, the combination of visual and semi-quantitative parameters showed higher positive predictive value (PPV) and specificity than a single index.

CONCLUSION

Three to four cycles of R-CHOP treatment may be a time point for early prediction of early recurrence/refractory (R/R) patients and active preemptive treatment. Combined visual analysis with semi-quantitative parameters of F-FDG PET/CT at interim can improve prognostic accuracy and may allow for more precise screening of patients requiring early intensive therapy.

摘要

背景

在本研究中,我们旨在探讨基线(B)、中期(I)和治疗结束时(Eot)的F-FDG PET/CT在评估弥漫性大B细胞淋巴瘤(DLBCL)预后中的作用,以便识别需要早期强化治疗的患者。

方法

本研究回顾性分析了127例DLBCL患者(62例男性;65例女性;中位年龄62岁)。重新评估了基线(n = 127)、中期(n = 127,3 - 4个周期后)和治疗结束时(n = 53,6 - 8个周期后)的PET/CT图像;记录了半定量参数,如病变与肝脏比值的最大标准化摄取值(SUVmax)、病变与纵隔比值(SUVmax)、总代谢肿瘤体积(TMTV)和总代谢肿瘤负荷(TLG)。ΔTLG是中期相对于基线TLG(I相对于B)、ΔTLG(Eot相对于B)的变化。ΔSUVmax和ΔTMTV采用相同算法。视觉Deauville 5分法(D-5PS)已被用作PET评估的主要标准。采用Kaplan-Meier法、cox回归和逻辑回归分析评估视觉分析(VA)和半定量参数预测无进展生存期(PFS)和总生存期(OS)的能力。当视觉分析和半定量分析相结合时,只有两者均为阳性结果才为阳性。

结果

中位随访34个月时,中位PFS和OS分别为20个月和32个月。生存曲线分析表明,晚期和预后不良的国际预后指数(IPI)评分、ΔSUVmax < 89.2%、ΔTMTV < 91.8%和ΔTLG < 98.8%、ΔSUVmax < 86.4%与患者PFS缩短显著相关(p < 0.05)。ΔSUVmax < 83.2%和ΔTLG < 97.6%与患者OS缩短显著相关(p < 0.05)。视觉分析显示,I-PET和Eot-PET时代谢未完全缓解增加了进展和死亡风险。在通过I-PET预测复发方面,视觉和半定量参数相结合显示出比单一指标更高的阳性预测值(PPV)和特异性。

结论

三到四个周期的R-CHOP治疗可能是早期预测早期复发/难治(R/R)患者并进行积极抢先治疗的时间点。中期将视觉分析与F-FDG PET/CT的半定量参数相结合可提高预后准确性,并可能允许更精确地筛选需要早期强化治疗的患者。

https://cdn.ncbi.nlm.nih.gov/pmc/blobs/f82c/10876506/d4aba3357bc5/13550_2024_1074_Fig6_HTML.jpg
https://cdn.ncbi.nlm.nih.gov/pmc/blobs/f82c/10876506/3b394bddf384/13550_2024_1074_Fig1_HTML.jpg
https://cdn.ncbi.nlm.nih.gov/pmc/blobs/f82c/10876506/fe4e6c098666/13550_2024_1074_Fig2_HTML.jpg
https://cdn.ncbi.nlm.nih.gov/pmc/blobs/f82c/10876506/266678614370/13550_2024_1074_Fig3_HTML.jpg
https://cdn.ncbi.nlm.nih.gov/pmc/blobs/f82c/10876506/351ed7a8df19/13550_2024_1074_Fig4_HTML.jpg
https://cdn.ncbi.nlm.nih.gov/pmc/blobs/f82c/10876506/33be55efaa3e/13550_2024_1074_Fig5_HTML.jpg
https://cdn.ncbi.nlm.nih.gov/pmc/blobs/f82c/10876506/d4aba3357bc5/13550_2024_1074_Fig6_HTML.jpg
https://cdn.ncbi.nlm.nih.gov/pmc/blobs/f82c/10876506/3b394bddf384/13550_2024_1074_Fig1_HTML.jpg
https://cdn.ncbi.nlm.nih.gov/pmc/blobs/f82c/10876506/fe4e6c098666/13550_2024_1074_Fig2_HTML.jpg
https://cdn.ncbi.nlm.nih.gov/pmc/blobs/f82c/10876506/266678614370/13550_2024_1074_Fig3_HTML.jpg
https://cdn.ncbi.nlm.nih.gov/pmc/blobs/f82c/10876506/351ed7a8df19/13550_2024_1074_Fig4_HTML.jpg
https://cdn.ncbi.nlm.nih.gov/pmc/blobs/f82c/10876506/33be55efaa3e/13550_2024_1074_Fig5_HTML.jpg
https://cdn.ncbi.nlm.nih.gov/pmc/blobs/f82c/10876506/d4aba3357bc5/13550_2024_1074_Fig6_HTML.jpg

相似文献

1
Evaluation of therapeutic effect and prognostic value of F-FDG PET/CT in different treatment nodes of DLBCL patients.F-FDG PET/CT对弥漫性大B细胞淋巴瘤(DLBCL)患者不同治疗节点的治疗效果及预后价值评估
EJNMMI Res. 2024 Feb 19;14(1):20. doi: 10.1186/s13550-024-01074-w.
2
The prognostic value of end-of-treatment FDG-PET/CT in diffuse large B cell lymphoma: comparison of visual Deauville criteria and a lesion-to-liver SUV ratio-based evaluation system.治疗结束时FDG-PET/CT在弥漫性大B细胞淋巴瘤中的预后价值:视觉Deauville标准与基于病变-肝脏SUV比值的评估系统的比较
Eur J Nucl Med Mol Imaging. 2022 Mar;49(4):1311-1321. doi: 10.1007/s00259-021-05581-z. Epub 2021 Oct 15.
3
Prognostic Value of F-FDG PET/CT in Diffuse Large B-Cell Lymphoma Treated with a Risk-Adapted Immunochemotherapy Regimen.风险适应性免疫化疗方案治疗弥漫性大 B 细胞淋巴瘤中 F-FDG PET/CT 的预后价值。
J Nucl Med. 2023 Apr;64(4):536-541. doi: 10.2967/jnumed.122.264740. Epub 2022 Dec 22.
4
Predictive value of Dmax and %ΔSUVmax of F-FDG PET/CT for the prognosis of patients with diffuse large B-cell lymphoma.F-FDG PET/CT 中 Dmax 和 %ΔSUVmax 对弥漫性大 B 细胞淋巴瘤患者预后的预测价值。
BMC Med Imaging. 2023 Oct 31;23(1):173. doi: 10.1186/s12880-023-01138-8.
5
Prognostic analysis of interim F-FDG PET/CT in patients with diffuse large B cell lymphoma after one cycle versus two cycles of chemotherapy.一周期与两周期化疗后氟代脱氧葡萄糖正电子发射断层扫描/计算机断层扫描中期预测弥漫性大 B 细胞淋巴瘤患者的预后分析。
Eur J Nucl Med Mol Imaging. 2019 Feb;46(2):478-488. doi: 10.1007/s00259-018-4198-6. Epub 2018 Oct 31.
6
Predictive value of baseline F-FDG PET/CT and interim treatment response for the prognosis of patients with diffuse large B-cell lymphoma receiving R-CHOP chemotherapy.基线F-FDG PET/CT及中期治疗反应对接受R-CHOP化疗的弥漫性大B细胞淋巴瘤患者预后的预测价值
Oncol Lett. 2021 Feb;21(2):132. doi: 10.3892/ol.2020.12393. Epub 2020 Dec 18.
7
Predicting diffuse large B-cell lymphoma outcomes with lesion-to-liver maximum standardized uptake value for interim-treatment and end-of-treatment positron emission tomography-computed tomography.利用治疗中期和治疗结束时正电子发射断层扫描-计算机断层扫描的病灶与肝脏最大标准化摄取值预测弥漫性大B细胞淋巴瘤的预后
Quant Imaging Med Surg. 2023 Oct 1;13(10):6789-6800. doi: 10.21037/qims-23-251. Epub 2023 Sep 22.
8
A better prediction of progression-free survival in diffuse large B-cell lymphoma by a prognostic model consisting of baseline TLG and %ΔSUV.由基线 TLG 和 %ΔSUV 组成的预后模型可更好地预测弥漫性大 B 细胞淋巴瘤的无进展生存期。
Cancer Med. 2019 Sep;8(11):5137-5147. doi: 10.1002/cam4.2284. Epub 2019 Jul 25.
9
[Values of Different Evaluation Criteria of Interim F-FDG PET/CT Scan for Prediction of Prognosis in Patients with DLBCL].[中期F-FDG PET/CT扫描不同评估标准对弥漫性大B细胞淋巴瘤患者预后预测的价值]
Zhongguo Shi Yan Xue Ye Xue Za Zhi. 2017 Apr;25(2):431-437. doi: 10.7534/j.issn.1009-2137.2017.02.022.
10
Prognostic Impact of Pretreatment 2-[F]-FDG PET/CT Parameters in Primary Gastric DLBCL.原发胃弥漫性大 B 细胞淋巴瘤治疗前 2-[F]-FDG PET/CT 参数的预后影响。
Medicina (Kaunas). 2021 May 14;57(5):498. doi: 10.3390/medicina57050498.

引用本文的文献

1
Prognostic Value of Metabolic Tumor Volume and Heterogeneity Index in Diffuse Large B-Cell Lymphoma.代谢肿瘤体积和异质性指数在弥漫性大B细胞淋巴瘤中的预后价值
Medicina (Kaunas). 2025 Jul 29;61(8):1370. doi: 10.3390/medicina61081370.
2
Prognostic role of interim PET-CT demonstrating partial metabolic response in diffuse large B-Cell lymphoma: a retrospective study.interim PET-CT显示部分代谢反应在弥漫性大B细胞淋巴瘤中的预后作用:一项回顾性研究
Ann Hematol. 2025 Apr 17. doi: 10.1007/s00277-025-06368-0.
3
Prognostic value of interim PET/CT in GCB and non-GCB DLBCL: comparison of the Deauville five-point scale and the ΔSUVmax method.

本文引用的文献

1
Interim FDG-PET SUV Variation Adds Prognostic Value to Deauville 5-Point Scale in the Identification of Patients with Ultra-High-Risk Diffuse Large B Cell Lymphoma.中期氟代脱氧葡萄糖正电子发射断层扫描标准化摄取值变化为Deauville 5分法在识别超高风险弥漫性大B细胞淋巴瘤患者中增加了预后价值。
Clin Lymphoma Myeloma Leuk. 2023 Feb;23(2):e107-e116. doi: 10.1016/j.clml.2022.11.009. Epub 2022 Nov 25.
2
F-FDG PET-Based Combined Baseline and End-Of-Treatment Radiomics Model Improves the Prognosis Prediction in Diffuse Large B Cell Lymphoma After First-Line Therapy.基于 F-FDG PET 的联合基线和治疗末放射组学模型可改善一线治疗后弥漫性大 B 细胞淋巴瘤的预后预测。
Acad Radiol. 2023 Jul;30(7):1408-1418. doi: 10.1016/j.acra.2022.10.011. Epub 2022 Nov 25.
3
中期PET/CT在生发中心B细胞样和非生发中心B细胞样弥漫性大B细胞淋巴瘤中的预后价值:Deauville五分法与ΔSUVmax法的比较
BMC Cancer. 2024 Dec 27;24(1):1583. doi: 10.1186/s12885-024-13360-w.
The 5th edition of the World Health Organization Classification of Haematolymphoid Tumours: Lymphoid Neoplasms.《世界卫生组织造血与淋巴组织肿瘤分类》第五版:淋巴肿瘤。
Leukemia. 2022 Jul;36(7):1720-1748. doi: 10.1038/s41375-022-01620-2. Epub 2022 Jun 22.
4
The Prognostic Utility of F-Fluorodeoxyglucose Positron Emission Tomography-Computed Tomography-Based Analyses of Metabolic Response Rates in Newly Diagnosed Diffuse Large B Cell Lymphoma Patients.基于氟代脱氧葡萄糖正电子发射断层扫描-计算机断层扫描对新诊断弥漫性大B细胞淋巴瘤患者代谢反应率的分析的预后效用
Front Oncol. 2022 May 23;12:772773. doi: 10.3389/fonc.2022.772773. eCollection 2022.
5
The International Consensus Classification of Mature Lymphoid Neoplasms: a report from the Clinical Advisory Committee.成熟淋巴细胞肿瘤国际共识分类:临床咨询委员会报告。
Blood. 2022 Sep 15;140(11):1229-1253. doi: 10.1182/blood.2022015851.
6
All roads lead to targeted diffuse large B-cell lymphoma approaches.所有的路都通向靶向弥漫性大 B 细胞淋巴瘤的方法。
Cancer Cell. 2022 Feb 14;40(2):131-133. doi: 10.1016/j.ccell.2022.01.013.
7
Optimal PET-based radiomic signature construction based on the cross-combination method for predicting the survival of patients with diffuse large B-cell lymphoma.基于交叉组合方法的最优 PET 放射组学特征构建,用于预测弥漫性大 B 细胞淋巴瘤患者的生存情况。
Eur J Nucl Med Mol Imaging. 2022 Jul;49(8):2902-2916. doi: 10.1007/s00259-022-05717-9. Epub 2022 Feb 11.
8
NCCN Guidelines® Insights: B-Cell Lymphomas, Version 5.2021.美国国立综合癌症网络(NCCN)指南见解:B细胞淋巴瘤,2021年第5版
J Natl Compr Canc Netw. 2021 Nov;19(11):1218-1230. doi: 10.6004/jnccn.2021.0054.
9
The prognostic value of end-of-treatment FDG-PET/CT in diffuse large B cell lymphoma: comparison of visual Deauville criteria and a lesion-to-liver SUV ratio-based evaluation system.治疗结束时FDG-PET/CT在弥漫性大B细胞淋巴瘤中的预后价值:视觉Deauville标准与基于病变-肝脏SUV比值的评估系统的比较
Eur J Nucl Med Mol Imaging. 2022 Mar;49(4):1311-1321. doi: 10.1007/s00259-021-05581-z. Epub 2021 Oct 15.
10
Optimal timing and criteria of interim PET in DLBCL: a comparative study of 1692 patients.弥漫性大 B 细胞淋巴瘤中 PET 中期评估的最佳时机和标准:一项 1692 例患者的对比研究。
Blood Adv. 2021 May 11;5(9):2375-2384. doi: 10.1182/bloodadvances.2021004467.