Suppr超能文献

多韧带损伤膝关节中外侧半月板类似斯滕纳(Stener)病变:一例报告

Stener-like lesion of the lateral meniscus in the setting of a multiligamentous knee injury: A case report.

作者信息

Durkin William, Vohra Arjun, Galal Youssef, Paul Ben, Lynch Austin, Lederman Evan, Shah Anup

机构信息

Banner University Medical Center-Phoenix, University of Arizona College of Medicine-Phoenix, Phoenix, AZ.

出版信息

Radiol Case Rep. 2024 Feb 17;19(5):1791-1796. doi: 10.1016/j.radcr.2024.01.055. eCollection 2024 May.

Abstract

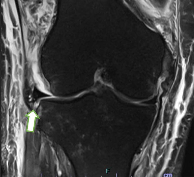
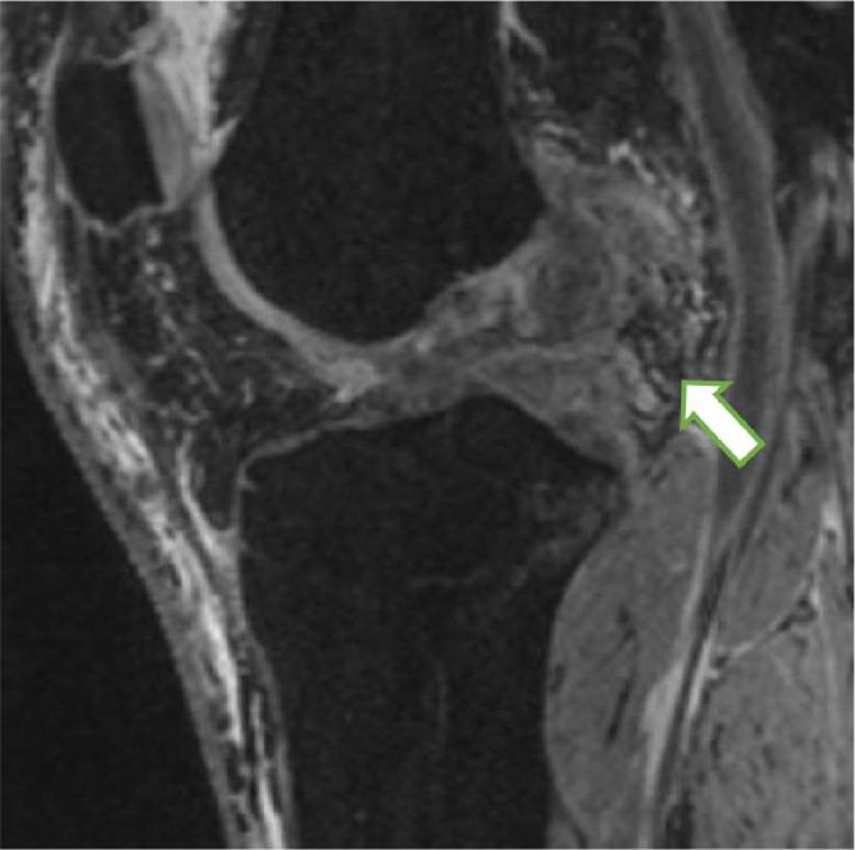
Traumatic dislocations of the knee can result in significant soft tissue damage including multiligamentous and meniscal knee injury. When a meniscal tear involves the posterior horn, the meniscus loses one of its attachments to the tibia and can become extruded from the joint. Stener-like lesions of the knee have been reported throughout the literature; however, they have been exclusively described as a distal tear of the medial collateral ligament (MCL) lying superficial to the pes anserine tendon which prevents anatomic healing. The purpose of this report is to present a previously unreported unique variant of a lateral meniscus tear in the setting of a MLKI. In this case presentation, the lateral meniscus became extruded superficial to the intact lateral collateral ligament (LCL) resulting in a Stener-like lesion. Corrective recognition of lesions like these and timely surgical intervention is recommended to restore native anatomy and prevent chronic pain, instability, and premature degenerative disease. Level IV, Case report.

摘要

膝关节创伤性脱位可导致严重的软组织损伤,包括膝关节多韧带和半月板损伤。当半月板撕裂累及后角时,半月板失去其与胫骨的一个附着点,可能会从关节中挤出。膝关节类似斯滕纳(Stener)病变在文献中已有报道;然而,它们仅被描述为位于鹅足肌腱浅面的内侧副韧带(MCL)远端撕裂,这会妨碍解剖学愈合。本报告的目的是介绍一种在多韧带膝关节损伤(MLKI)情况下外侧半月板撕裂的先前未报道的独特变异。在本病例报告中,外侧半月板在完整的外侧副韧带(LCL)浅面挤出,导致类似斯滕纳病变。建议正确识别此类病变并及时进行手术干预,以恢复正常解剖结构,预防慢性疼痛、不稳定和过早的退行性疾病。四级,病例报告。

https://cdn.ncbi.nlm.nih.gov/pmc/blobs/ee31/10883784/76cabae9e82d/gr1.jpg

相似文献

1
Stener-like lesion of the lateral meniscus in the setting of a multiligamentous knee injury: A case report.
Radiol Case Rep. 2024 Feb 17;19(5):1791-1796. doi: 10.1016/j.radcr.2024.01.055. eCollection 2024 May.
2
Stener-Like Lesions of the Superficial Medial Collateral Ligament of the Knee: MRI Features.
AJR Am J Roentgenol. 2019 Dec;213(6):W272-W276. doi: 10.2214/AJR.19.21535. Epub 2019 Aug 28.
3
MRI findings of Stener-like lesion of the knee: A case series with surgical correlation.
Eur J Radiol. 2019 Dec;121:108709. doi: 10.1016/j.ejrad.2019.108709. Epub 2019 Oct 17.
4
Stener-like lesion of the medial collateral ligament of the knee.
Radiol Case Rep. 2022 Dec 23;18(3):913-916. doi: 10.1016/j.radcr.2022.11.038. eCollection 2023 Mar.
6
Concomitant Medial Meniscal Root Repair with Extrusion Repair (Centralization Technique).
JBJS Essent Surg Tech. 2023 Aug 10;13(3). doi: 10.2106/JBJS.ST.22.00008. eCollection 2023 Jul-Sep.
7
Surgical Repair of Stener-like Injuries of the Medial Collateral Ligament of the Knee in Professional Athletes.
Am J Sports Med. 2022 Jun;50(7):1815-1822. doi: 10.1177/03635465221093807. Epub 2022 May 20.
9
Incidence and type of meniscal tears in multilligament injured knees.
Knee Surg Sports Traumatol Arthrosc. 2023 Feb;31(2):465-474. doi: 10.1007/s00167-022-07064-6. Epub 2022 Jul 19.

本文引用的文献

1
Stener-like lesion of the medial collateral ligament of the knee.
Radiol Case Rep. 2022 Dec 23;18(3):913-916. doi: 10.1016/j.radcr.2022.11.038. eCollection 2023 Mar.
2
Incidence of Associated Lesions of Multiligament Knee Injuries: A Systematic Review and Meta-analysis.
Orthop J Sports Med. 2021 Jun 23;9(6):23259671211010409. doi: 10.1177/23259671211010409. eCollection 2021 Jun.
3
Epidemiology of complete knee dislocations: an updated classification system.
Arch Orthop Trauma Surg. 2022 Oct;142(10):2711-2718. doi: 10.1007/s00402-021-04079-5. Epub 2021 Jul 22.
4
Stener-Like Lesions of the Superficial Medial Collateral Ligament of the Knee: MRI Features.
AJR Am J Roentgenol. 2019 Dec;213(6):W272-W276. doi: 10.2214/AJR.19.21535. Epub 2019 Aug 28.
5
Repair of radial tears and posterior horn detachments of the lateral meniscus: minimum 2-year follow-up.
Arthroscopy. 2010 Dec;26(12):1625-32. doi: 10.1016/j.arthro.2010.07.020. Epub 2010 Oct 27.
6
A lateral meniscus tear incarcerated behind the popliteus tendon: a case report.
Knee. 2010 Oct;17(5):359-61. doi: 10.1016/j.knee.2009.10.002. Epub 2009 Nov 7.
7
Case reports: a Stener-like lesion of the medial collateral ligament of the knee.
Clin Orthop Relat Res. 2010 Jan;468(1):289-93. doi: 10.1007/s11999-009-0992-6. Epub 2009 Jul 24.
8
Outcome after knee dislocation.
Knee Surg Sports Traumatol Arthrosc. 2009 Sep;17(9):1011-2. doi: 10.1007/s00167-009-0867-0.
9
Palsy of the common peroneal nerve after traumatic dislocation of the knee.
J Bone Joint Surg Br. 2005 May;87(5):664-7. doi: 10.1302/0301-620X.87B5.15607.
10

文献AI研究员

20分钟写一篇综述,助力文献阅读效率提升50倍。

立即体验

用中文搜PubMed

大模型驱动的PubMed中文搜索引擎

马上搜索

文档翻译

学术文献翻译模型,支持多种主流文档格式。

立即体验