• 文献检索
  • 文档翻译
  • 深度研究
  • 学术资讯
  • Suppr Zotero 插件Zotero 插件
  • 邀请有礼
  • 套餐&价格
  • 历史记录
应用&插件
Suppr Zotero 插件Zotero 插件浏览器插件Mac 客户端Windows 客户端微信小程序
定价
高级版会员购买积分包购买API积分包
服务
文献检索文档翻译深度研究API 文档MCP 服务
关于我们
关于 Suppr公司介绍联系我们用户协议隐私条款
关注我们

Suppr 超能文献

核心技术专利:CN118964589B侵权必究
粤ICP备2023148730 号-1Suppr @ 2026

文献检索

告别复杂PubMed语法,用中文像聊天一样搜索,搜遍4000万医学文献。AI智能推荐,让科研检索更轻松。

立即免费搜索

文件翻译

保留排版,准确专业,支持PDF/Word/PPT等文件格式,支持 12+语言互译。

免费翻译文档

深度研究

AI帮你快速写综述,25分钟生成高质量综述,智能提取关键信息,辅助科研写作。

立即免费体验

肝移植患者中快速生长并破裂的大隐静脉动脉瘤。

Rapidly Growing and Ruptured Great Saphenous Vein Aneurysm in a Liver Transplant Patient.

机构信息

Department of Cardiovascular Surgery, University Medical Centre Ljubljana, 1000 Ljubljana, Slovenia.

Faculty of Medicine, University of Ljubljana, 1000 Ljubljana, Slovenia.

出版信息

Medicina (Kaunas). 2024 Feb 8;60(2):290. doi: 10.3390/medicina60020290.

DOI:10.3390/medicina60020290
PMID:38399577
原文链接:https://pmc.ncbi.nlm.nih.gov/articles/PMC10890480/
Abstract

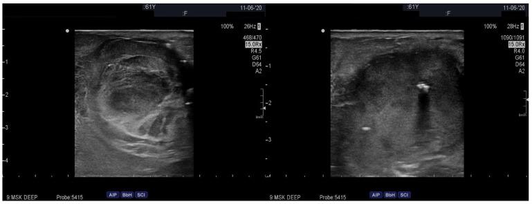
Venous aneurysms are rare vascular malformations that can lead to significant clinical complications, including thrombosis, pulmonary embolism, rupture, and even fatal outcomes when not promptly and adequately managed. This case report presents a liver transplant patient under immunosuppressive therapy who developed a rapidly progressing great saphenous vein aneurysm, ultimately requiring urgent surgical intervention due to acute bleeding from the ruptured aneurysm. Immunosuppression emerges as a potential key factor in the formation and rapid growth of the aneurysm, with the pathophysiological mechanism potentially involving increased expression of specific matrix metalloproteinases. Further research is warranted to gain a better understanding of the role of immunosuppression in the development of venous aneurysms.

摘要

静脉瘤是一种罕见的血管畸形,如果不能及时、充分地治疗,可能会导致严重的临床并发症,包括血栓形成、肺栓塞、破裂,甚至导致致命后果。本病例报告介绍了一位接受免疫抑制治疗的肝移植患者,他出现了迅速进展的大隐静脉瘤,最终由于破裂的动脉瘤急性出血,需要紧急手术干预。免疫抑制被认为是动脉瘤形成和快速生长的一个潜在关键因素,其病理生理学机制可能涉及特定基质金属蛋白酶表达增加。需要进一步的研究来更好地了解免疫抑制在静脉瘤形成中的作用。

https://cdn.ncbi.nlm.nih.gov/pmc/blobs/1be3/10890480/e376ec0df487/medicina-60-00290-g003.jpg
https://cdn.ncbi.nlm.nih.gov/pmc/blobs/1be3/10890480/31d2e1b7cce9/medicina-60-00290-g001.jpg
https://cdn.ncbi.nlm.nih.gov/pmc/blobs/1be3/10890480/fe66704a95c9/medicina-60-00290-g002.jpg
https://cdn.ncbi.nlm.nih.gov/pmc/blobs/1be3/10890480/e376ec0df487/medicina-60-00290-g003.jpg
https://cdn.ncbi.nlm.nih.gov/pmc/blobs/1be3/10890480/31d2e1b7cce9/medicina-60-00290-g001.jpg
https://cdn.ncbi.nlm.nih.gov/pmc/blobs/1be3/10890480/fe66704a95c9/medicina-60-00290-g002.jpg
https://cdn.ncbi.nlm.nih.gov/pmc/blobs/1be3/10890480/e376ec0df487/medicina-60-00290-g003.jpg

相似文献

1
Rapidly Growing and Ruptured Great Saphenous Vein Aneurysm in a Liver Transplant Patient.肝移植患者中快速生长并破裂的大隐静脉动脉瘤。
Medicina (Kaunas). 2024 Feb 8;60(2):290. doi: 10.3390/medicina60020290.
2
Successful aneurysm resection and coronary artery revascularization following saphenous vein graft aneurysm rupture.成功切除破裂的大隐静脉移植物动脉瘤并重建冠状动脉。
Eur J Cardiothorac Surg. 2019 Mar 1;55(3):585-586. doi: 10.1093/ejcts/ezy270.
3
Ruptured brachial artery aneurysm in a patient with type 1 neurofibromatosis.1 型神经纤维瘤病患者肱动脉破裂性动脉瘤。
J Vasc Surg. 2010 Apr;51(4):1010-3. doi: 10.1016/j.jvs.2009.11.040.
4
Pathogenesis and management of superficial venous aneurysms through a case of thrombosed large great saphenous vein aneurysm.通过一例血栓形成的大隐静脉巨大动脉瘤探讨浅表静脉动脉瘤的发病机制与治疗
Vascular. 2021 Apr;29(2):297-300. doi: 10.1177/1708538120949720. Epub 2020 Aug 24.
5
Celiacobihepatic venous bypass for liver revascularization in a patient with intrahepatic contained rupture of a common hepatic artery aneurysm.腹腔干-肝静脉旁路术用于肝内局限性肝总动脉动脉瘤破裂患者的肝脏血管重建。
J Vasc Surg. 2014 Jul;60(1):230-2. doi: 10.1016/j.jvs.2013.06.063. Epub 2013 Jul 30.
6
Ruptured persistent sciatic artery aneurysm managed by endovascular embolization.经血管内栓塞治疗的持续性坐骨动脉瘤破裂
Ann Vasc Surg. 2010 Jan;24(1):115.e5-9. doi: 10.1016/j.avsg.2009.07.003. Epub 2009 Nov 4.
7
Complications resulting from saphenous vein patch graft after carotid endarterectomy.颈动脉内膜切除术后大隐静脉补片移植引起的并发症。
Neurosurgery. 1996 Oct;39(4):670-5; discussion 675-6. doi: 10.1097/00006123-199610000-00003.
8
Non-anastomotic aneurysmal degeneration of great saphenous vein graft A case report and review of the literature.大隐静脉移植血管非吻合口动脉瘤样变性:1例报告并文献复习
Ann Ital Chir. 2019;90:83-87.
9
Ruptured mycotic infrapopliteal aneurysm.感染性跟骨下动脉瘤破裂。
J Vasc Surg. 2013 Jul;58(1):205-7. doi: 10.1016/j.jvs.2012.10.091. Epub 2013 Jan 23.
10
Giant saphenous vein graft pseudoaneurysm rupture presenting with cardiac tamponade.大隐静脉移植血管假性动脉瘤破裂并伴有心脏压塞。
Heart Lung Circ. 2009 Feb;18(1):52-4. doi: 10.1016/j.hlc.2007.10.002. Epub 2008 Jan 31.

本文引用的文献

1
Cardiovascular effects of immunosuppression agents.免疫抑制剂的心血管效应。
Front Cardiovasc Med. 2022 Sep 21;9:981838. doi: 10.3389/fcvm.2022.981838. eCollection 2022.
2
The Effect of Immunosuppressive Drugs on MMPs Activity in The Walls of Blood Vessels - A Systematic Review.免疫抑制剂对血管壁中 MMPs 活性的影响——系统评价。
Int J Med Sci. 2021 Jan 30;18(6):1502-1509. doi: 10.7150/ijms.54423. eCollection 2021.
3
The Roles of Matrix Metalloproteinases and Their Inhibitors in Human Diseases.基质金属蛋白酶及其抑制剂在人类疾病中的作用。
Int J Mol Sci. 2020 Dec 20;21(24):9739. doi: 10.3390/ijms21249739.
4
The 2020 update of the CEAP classification system and reporting standards.CEAP 分类系统和报告标准 2020 年更新版。
J Vasc Surg Venous Lymphat Disord. 2020 May;8(3):342-352. doi: 10.1016/j.jvsv.2019.12.075. Epub 2020 Feb 27.
5
Primary great saphenous vein aneurysm in a child.儿童原发性大隐静脉瘤
J Vasc Surg Venous Lymphat Disord. 2018 Nov;6(6):765. doi: 10.1016/j.jvsv.2018.04.007.
6
Spontaneous Venous Aneurysm: Report of a Non-traumatic Superficial Venous Aneurysm on the Distal Arm.自发性静脉瘤:一例发生于手臂远端的非创伤性浅表静脉瘤报告。
Cureus. 2018 May 17;10(5):e2641. doi: 10.7759/cureus.2641.
7
A systematic review of venous aneurysms by anatomic location.静脉瘤的解剖位置系统评价。
J Vasc Surg Venous Lymphat Disord. 2018 May;6(3):408-413. doi: 10.1016/j.jvsv.2017.11.014.
8
The Role Matrix Metalloproteinases in the Production of Aortic Aneurysm.基质金属蛋白酶在主动脉瘤形成中的作用
Prog Mol Biol Transl Sci. 2017;147:239-265. doi: 10.1016/bs.pmbts.2017.02.002. Epub 2017 Mar 15.
9
Giant Spontaneous Greater Saphenous Vein Aneurysm.巨大自发性大隐静脉动脉瘤
Ann Vasc Surg. 2017 Jul;42:302.e11-302.e14. doi: 10.1016/j.avsg.2016.12.013. Epub 2017 Apr 5.
10
Clinical presentation, diagnosis, and treatment of venous aneurysms.静脉瘤的临床表现、诊断及治疗
J Vasc Surg Venous Lymphat Disord. 2014 Jul;2(3):349-353.e3. doi: 10.1016/j.jvsv.2014.02.007. Epub 2014 Apr 3.